症例詳細
Case detail
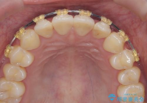
ワイヤー部分矯正治療を併用したマウスピース矯正治療
治療症例の内容
- 患者様
- 20代女性
- 矯正装置
- インビザライン
- 治療期間
- 2年
- 治療回数
- 10-30回
- 治療計画
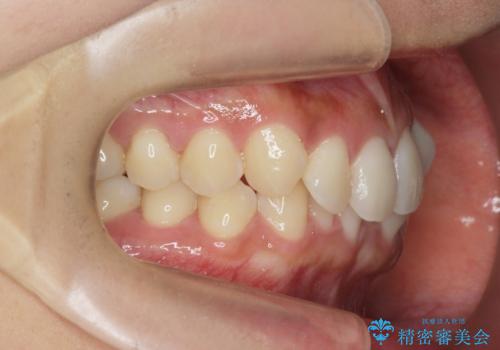
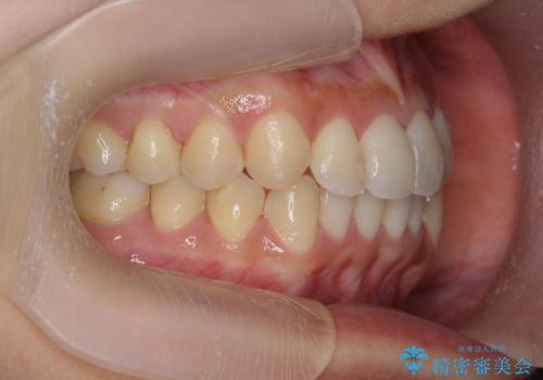
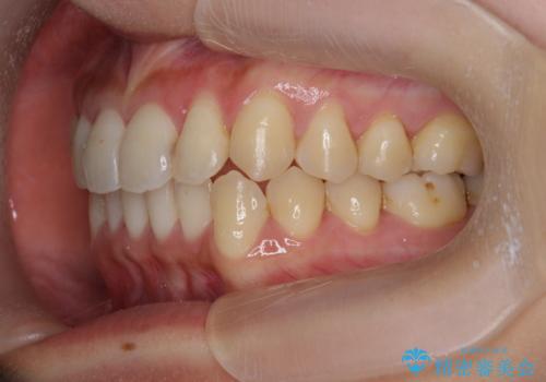
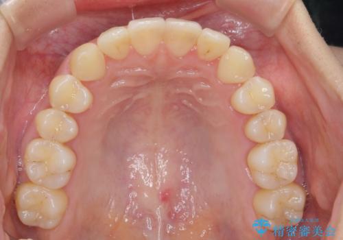
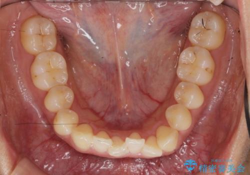
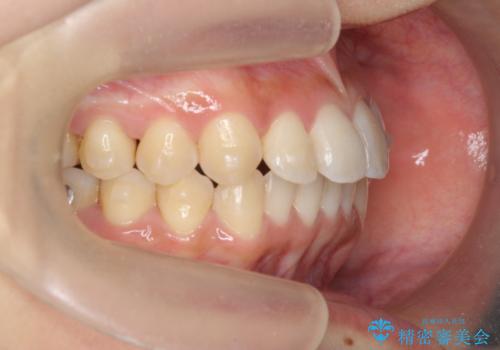
- 前歯のねじれ、深い噛み合わせ(ディープバイト)の改善を求めて来院されました。
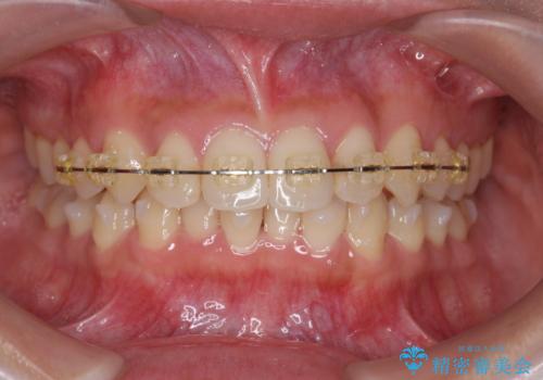
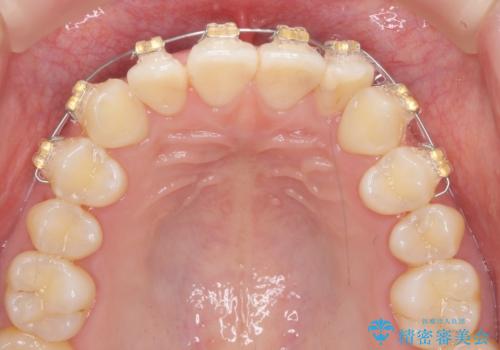
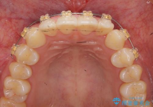
マウスピースでは改善の難しい、歯のねじれ・ディープバイトを部分ワイヤー矯正で改善したのち、マウスピース矯正で全体の歯並びを整えていきます。
- 費用(概算)
- 110万円費用は治療当時の料金となります
治療について
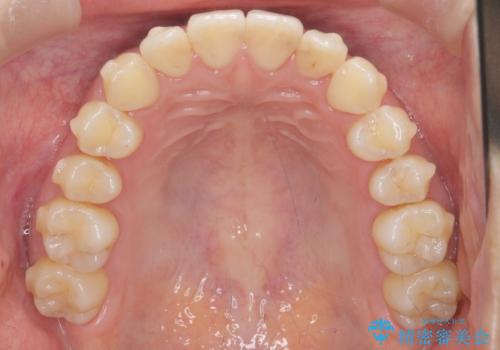
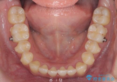
部分ワイヤー矯正を行ったことで前歯をしっかりと綺麗な歯並びへと導くことができました。
マウスピース矯正の注意事項(リスク・副作用など)
- 口腔内・歯並びの状態によっては対応できない場合があります
- マウスピース型矯正装置の長時間装着(1日20時間以上)が必須です
- 治療計画通りに進めるためには、患者様の意志が重要になります
- 矯正治療後の保定が不十分だと後戻り(元の位置に戻ろうとする動き)をします
- 薬機法対象外の矯正歯科装置のため医薬品副作用被害救済制度の対象外となる場合があります
- 自費診療(保険適用外)となります
当サイトの内容、テキスト、画像等の無断転載、複製、複写、盗用を固く禁じます。






















