症例詳細
Case detail
ラミネートベニヤの破折 ジルコニアクラウンによるやり替え
治療症例の内容
- 診療科目
- 治療カテゴリ
- 担当医
- 大元洋佑(ドクタープロフィール)
- 患者様
- 30代女性
- 治療期間
- 1ヶ月
- 治療回数
- 2-5回
- 治療計画
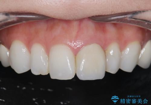
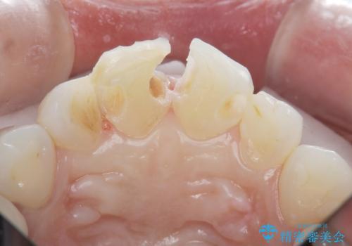
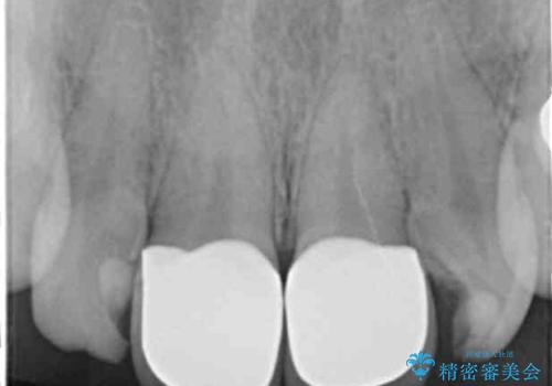
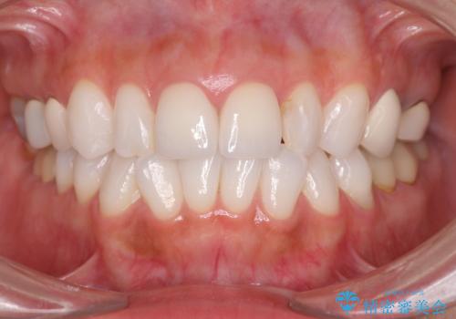
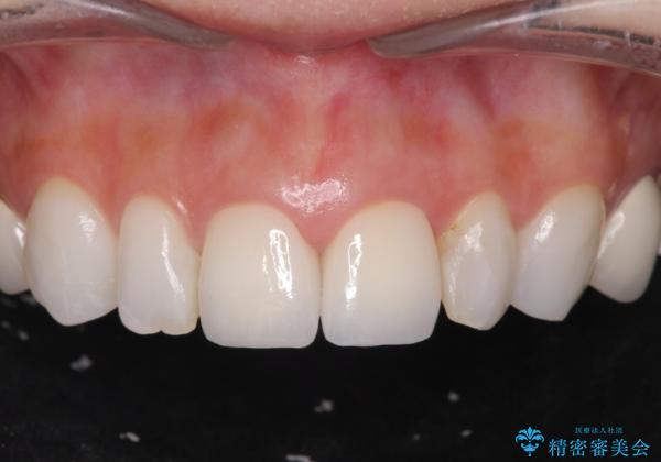
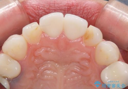
- 欠けてしまった前歯のラミネートベニヤと見た目の改善を求めて来院されました。
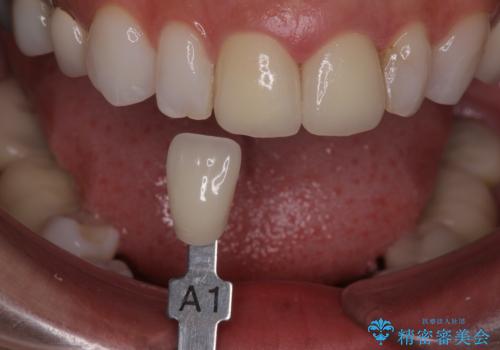
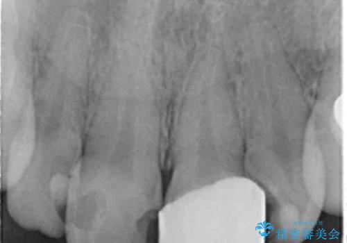
歯の大きさの不揃いと、虫歯の再発を認めたためラミネートのやりかえではなく一挙に問題の解決のできるジルコニアクラウンでの治療を計画します。
- 費用(概算)
- 26.4万円(ジルコニアクラウン×2・仮歯×2)費用は治療当時の料金となります
治療について
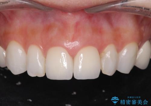
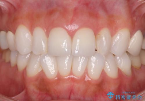
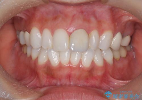
歯の大きさの不揃いが改善されただけでなく、色調もよくなり審美性をしっかりと改善することができました。
セラミック治療の注意事項(リスク・副作用など)
- 天然歯を削ります
- 硬い素材は天然歯を傷つけてしまう場合があります
- かみ合わせや歯ぎしりが強すぎる方はセラミックが割れてしまう可能性があります
- 自費診療(保険適用外治療)となります
当サイトの内容、テキスト、画像等の無断転載、複製、複写、盗用を固く禁じます。















