症例詳細
Case detail
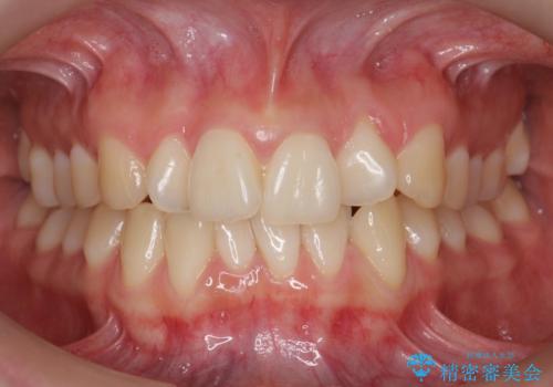
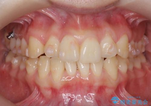
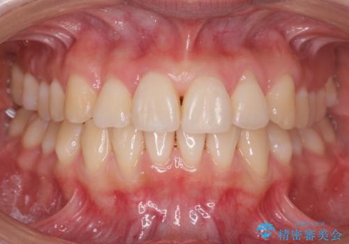
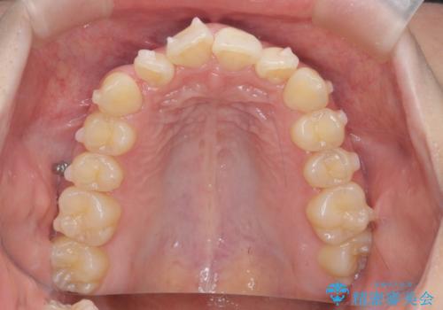
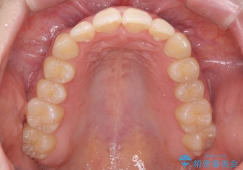
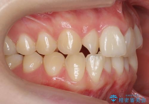
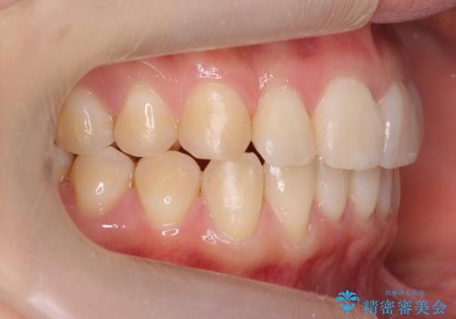
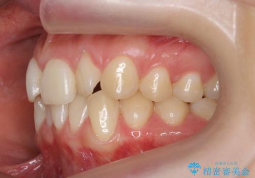
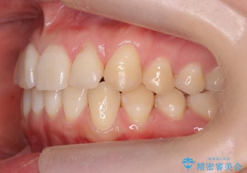
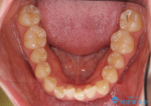
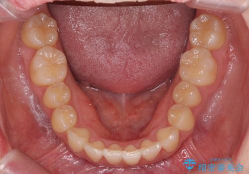
前歯がねじれている 奥歯を後ろに下げて歯を抜かずに並べました
治療症例の内容
- 患者様
 - 20代女性
 
- 矯正装置
 - インビザライン
 
- 治療期間
 - 1年8ヶ月
 
- 治療回数
 - 10-30回
 
- 治療計画
 - 前歯のねじれを主訴に来院。
前から2番目の歯がねじれて下の歯の内側に入っていました。
また、奥歯のかみ合わせが上の奥歯が若干前に並んでおり、それで前歯が入りきらずにねじれていました。
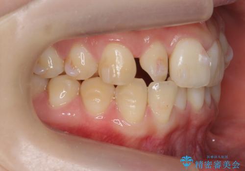
歯を抜かずに奥歯を後ろに下げてマウスピースで矯正しています。 
- 費用(概算)
 - 95万円費用は治療当時の料金となります
 
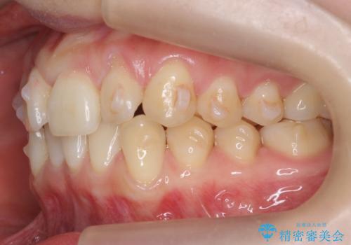
治療について
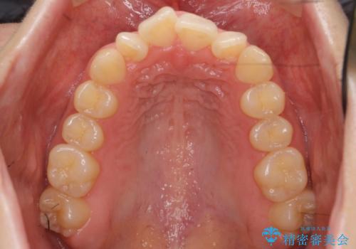
上の奥歯を後ろに下げて前歯のねじれを治すスペースを確保しました。
奥歯を後ろに下げるために、矯正用インプラントを使用しています。
マウスピース矯正の注意事項(リスク・副作用など)
- 口腔内・歯並びの状態によっては対応できない場合があります
 - マウスピース型矯正装置の長時間装着(1日20時間以上)が必須です
 - 治療計画通りに進めるためには、患者様の意志が重要になります
 - 矯正治療後の保定が不十分だと後戻り(元の位置に戻ろうとする動き)をします
 - 薬機法対象外の矯正歯科装置のため医薬品副作用被害救済制度の対象外となる場合があります
 - 自費診療(保険適用外)となります
 
当サイトの内容、テキスト、画像等の無断転載、複製、複写、盗用を固く禁じます。

                      
                                                          

















