症例詳細
Case detail
不自然すぎて笑えない オールセラミックで自然な口元に
治療症例の内容
- 診療科目
- 治療カテゴリ
- 担当医
- 藤巻太一朗(ドクタープロフィール)
- 患者様
- 40代女性
- 治療期間
- 1ヶ月
- 治療回数
- 2-5回
- 治療計画
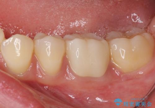
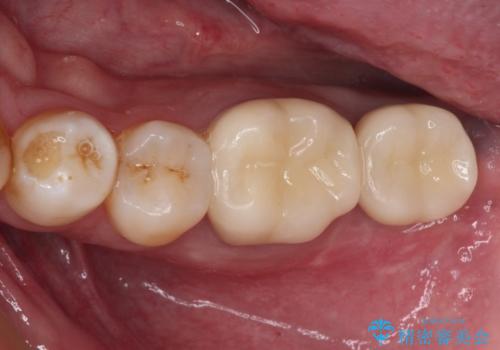
- 透明感がなく、歯肉ラインに歯根の色や金属が見えていることを気にして来院された患者様です。
装着されているメタルセラミックはなぜか連結されていましたが、1本ずつのオールセラミッククラウンへ変更することとしました。
- 費用(概算)
- 治療費の目安: 50万円費用は治療当時の料金となります
治療を終えて
仮歯の時点で、それまでの連結クラウンから単独クラウンに変更したため、清掃性が格段に良くなりました。
オールセラミッククラウンであるため色合いはとても自然であり、また舌の感触も大変良くなり、患者様には大変満足していただきました。
リスクについて
セラミックは破折などにより修復や再製作が必要となることがあります。
セラミック治療の注意事項(リスク・副作用など)
- 天然歯を削ります
- 硬い素材は天然歯を傷つけてしまう場合があります
- かみ合わせや歯ぎしりが強すぎる方はセラミックが割れてしまう可能性があります
- 自費診療(保険適用外治療)となります
当サイトの内容、テキスト、画像等の無断転載、複製、複写、盗用を固く禁じます。













