症例詳細
Case detail
大きなむし歯の奥歯を抜歯してスペースを活用 ワイヤー装置による抜歯矯正
治療症例の内容
- 診療科目
- 担当医
- 藤巻太一朗(ドクタープロフィール)
- 患者様
- 30代女性
- 矯正装置
- 審美装置
- 治療期間
- 3年
- 治療回数
- 10-30回
- 治療計画
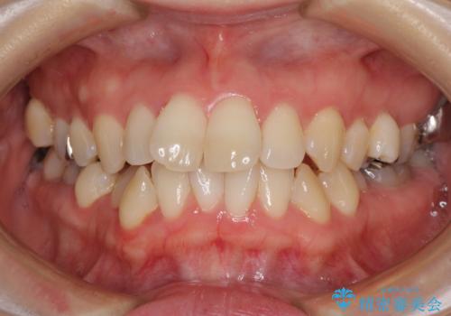
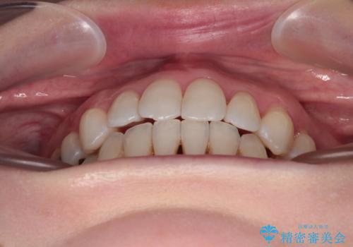
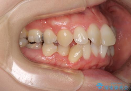
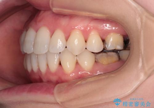
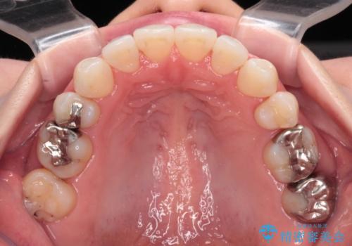
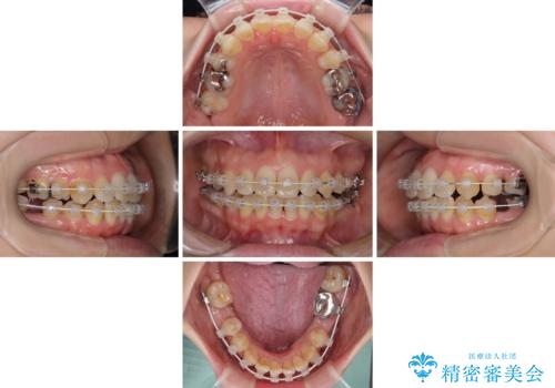
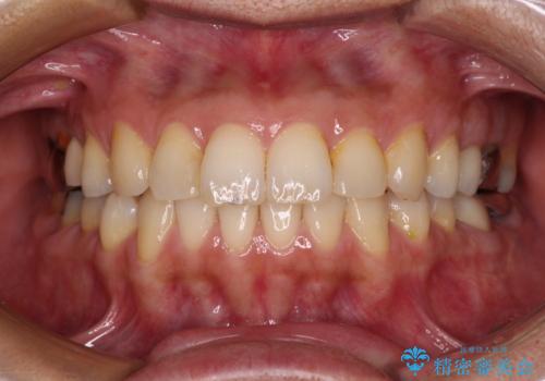
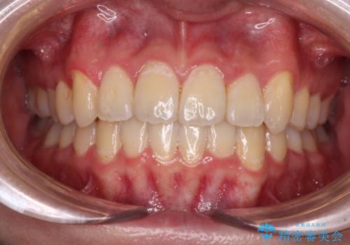
- 奥歯のむし歯を気にして来院された患者様です。
当初は右下の虫歯治療のみを希望されていましたが、虫歯治療に際して部分矯正が必要であったため、治療方法について説明をすると、全体的に歯列不正が気になっているとのことで、全顎矯正を検討することとなりました。
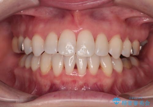
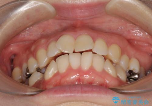
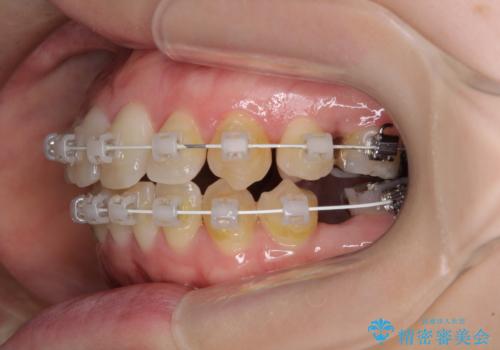
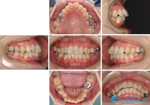
口元の突出感とデコボコがあり、上下左右の小臼歯4本を抜歯して矯正治療を行う方針としました。(右上は欠損のため計3本抜歯)
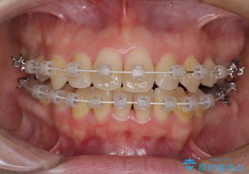
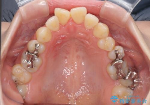
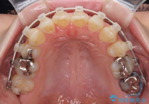
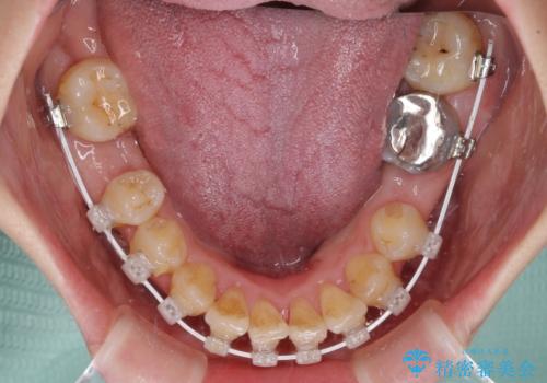
むし歯となっている歯は状態が悪く、将来的に抜歯となる可能性が高かったため、定石で抜歯させる小臼歯の代わりにむし歯となっている大臼歯を抜歯し、ワイヤー装置にて矯正治療を行うこととしました。
- 費用(概算)
- 治療費の目安: 110万円(税込)費用は治療当時の料金となります
治療について
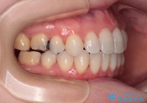
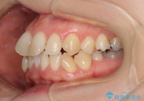
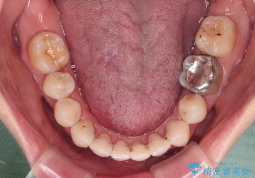
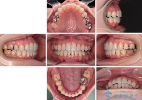
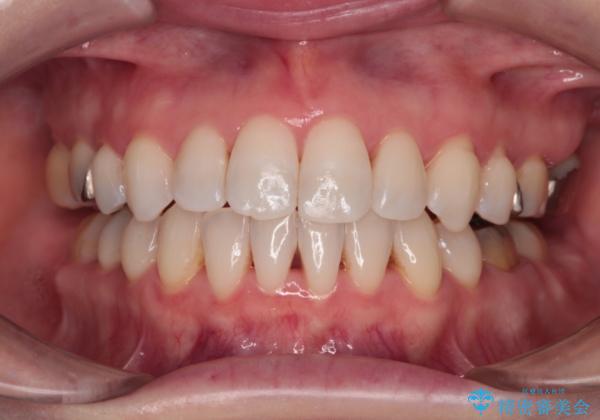
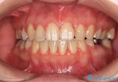
イレギュラーな大臼歯抜歯矯正であったため、治療期間の長期化が想定されましたが、何とか3年ちょうどで終えることができました。
今後は目立っている銀歯を中心にセラミッククラウンなどへ交換していく予定です。
ワイヤー矯正の注意事項(リスク・副作用など)
- 治療中は違和感や痛みが起こることがあります
- 症状により、抜歯が必要な場合があります
- 治療中は歯磨きがしにくくなるため、虫歯や歯周病になりやすくなります
- 矯正治療後の保定が不十分だと後戻り(元の位置に戻ろうとする動き)をします
- 自費診療(保険適用外)となります
当サイトの内容、テキスト、画像等の無断転載、複製、複写、盗用を固く禁じます。


























