症例詳細
Case detail
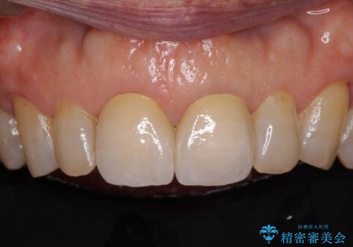
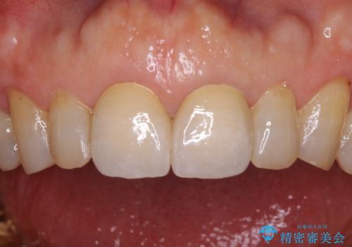
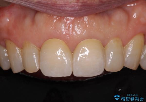
前歯の隙間をオールセラミッククラウンで自然に
治療症例の内容
- 診療科目
- 治療カテゴリ
- 担当医
- 藤巻太一朗(ドクタープロフィール)
- 患者様
- 60代男性
- 治療期間
- 1ヶ月
- 治療回数
- 2-5回
- 治療計画
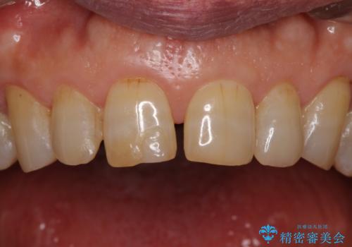
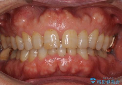
- 前歯のすきっ歯を気にして来院された患者様です。
矯正かオールセラミックか、治療の選択がありましたが、ご年齢や色の濃い点を考慮してオールセラミッククラウンにて補綴することとしました。
- 費用(概算)
- 治療費の目安: 45万円(税込)費用は治療当時の料金となります
治療について
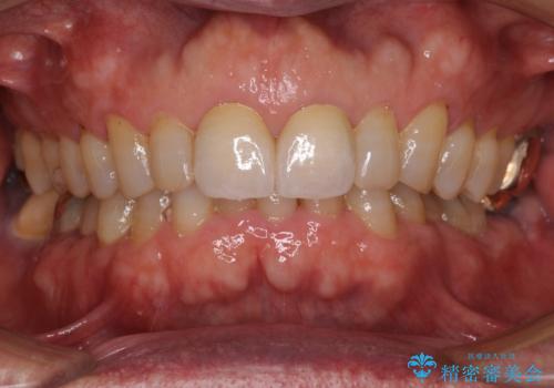
折角なのできれいに仕上げたいとのことで、オーダーメイドタイプのクラウンを選択されました。色調を周りのご自身の歯と合わせることができるため、自然な仕上がりをご希望の方におすすめです。
セラミック治療の注意事項(リスク・副作用など)
- 天然歯を削ります
- 硬い素材は天然歯を傷つけてしまう場合があります
- かみ合わせや歯ぎしりが強すぎる方はセラミックが割れてしまう可能性があります
- 自費診療(保険適用外治療)となります
当サイトの内容、テキスト、画像等の無断転載、複製、複写、盗用を固く禁じます。












