症例詳細
Case detail
下顎前歯の部分矯正 目立たないワイヤー装置
治療症例の内容
- 担当医
- 藤巻太一朗(ドクタープロフィール)
- 患者様
- 30代男性
- 矯正装置
- 審美装置
- 治療期間
- 6ヶ月
- 治療回数
- 10-30回
- 治療計画
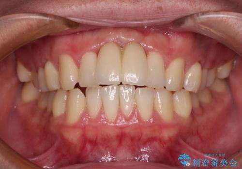
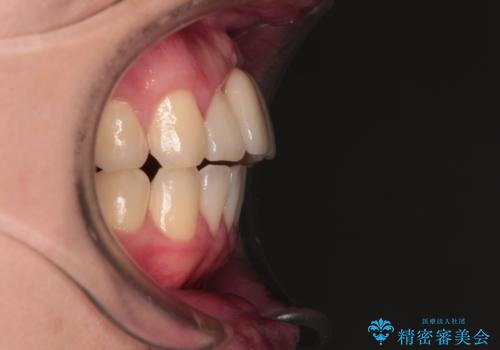
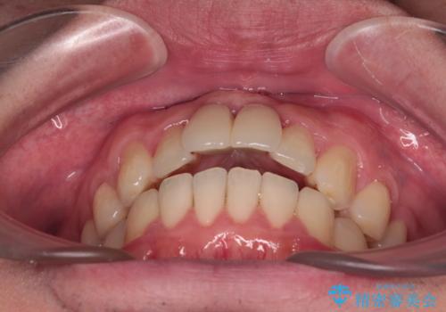
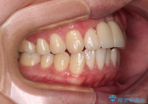
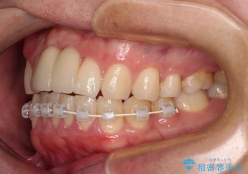
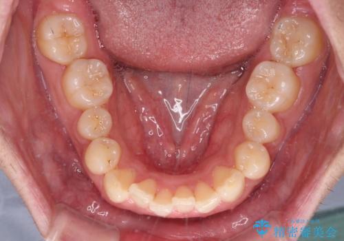
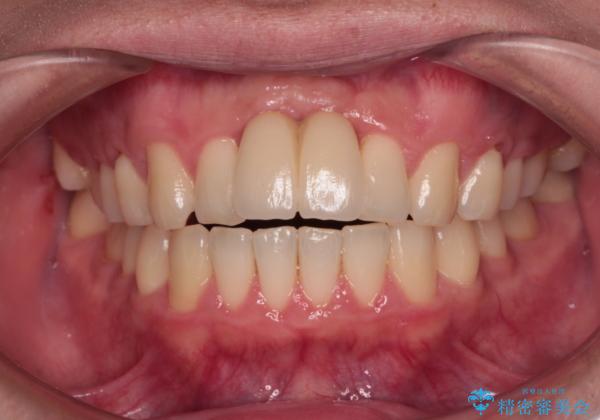
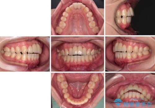
- 怪我により上顎前歯にインプラント治療をしたところ、下顎前歯のデコボコが気になるとのことで来院された患者様です。
上下前歯は非接触であり、上顎前歯はインプラント治療により固定されていたため、下顎前歯の部分矯正を目立たないワイヤー装置で行うこととしました。
- 費用(概算)
- 治療費の目安: 28万円(税込)費用は治療当時の料金となります
治療について
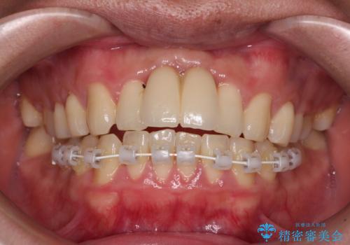
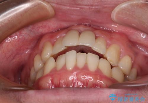
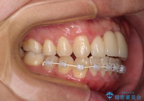
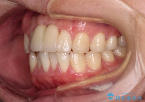
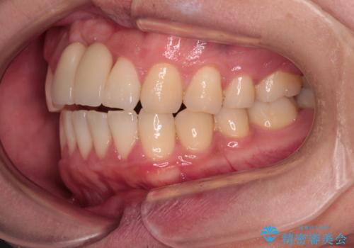
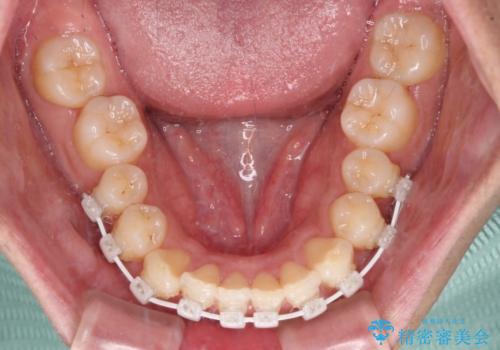
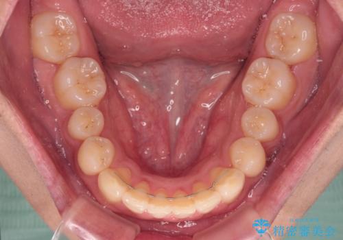
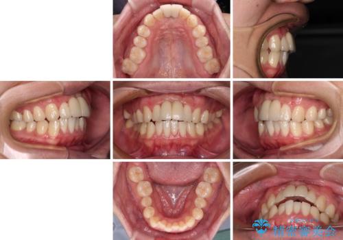
半年間で整った下顎歯列となりました。後戻りを防止するために舌側を細いワイヤーで固定し、さらにマウスピースを装着するようにしています。
ワイヤー矯正の注意事項(リスク・副作用など)
- 治療中は違和感や痛みが起こることがあります
- 症状により、抜歯が必要な場合があります
- 治療中は歯磨きがしにくくなるため、虫歯や歯周病になりやすくなります
- 矯正治療後の保定が不十分だと後戻り(元の位置に戻ろうとする動き)をします
- 自費診療(保険適用外)となります
当サイトの内容、テキスト、画像等の無断転載、複製、複写、盗用を固く禁じます。






















