症例詳細
Case detail
受け口傾向のマウスピース矯正 (ワイヤー治療を併用して)
治療症例の内容
- 患者様
- 20代女性
- 矯正装置
- インビザライン
- 治療期間
- 1年10ヶ月
- 治療回数
- 10-30回
- 治療計画
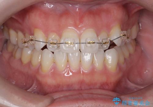
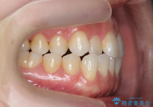
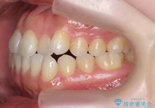
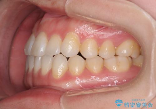
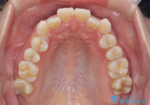
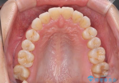
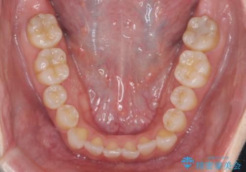
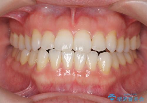
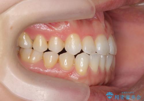
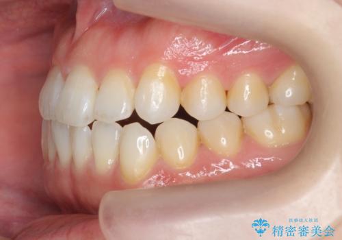
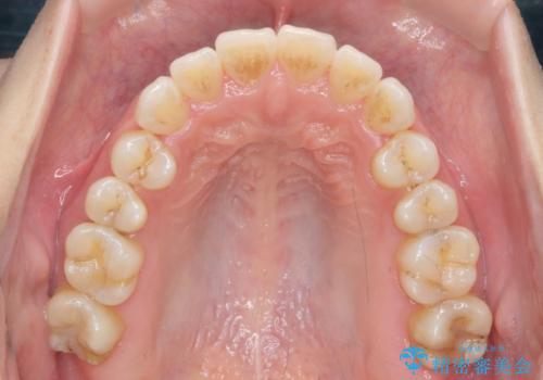
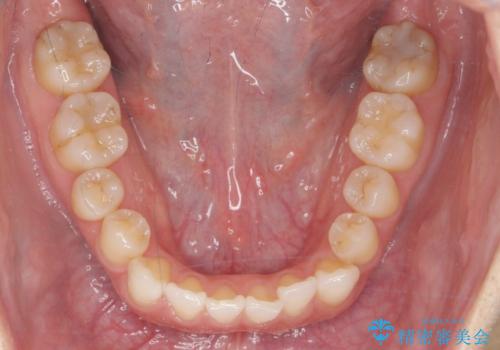
- 前歯のガタつき、見た目の改善を求めて矯正治療を希望され来院されました。
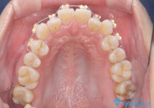
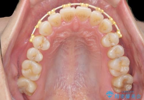
マウスピース矯正の苦手な前歯の交叉咬合の改善、側切歯の位置の改善をワイヤーで行うことで、治療期間を短縮し審美的な歯並びを目指します。
- 費用(概算)
- 99万円費用は治療当時の料金となります
治療について
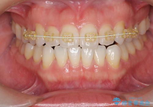
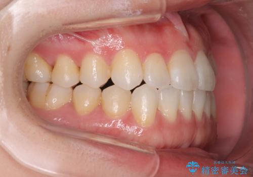
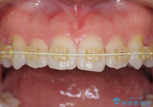
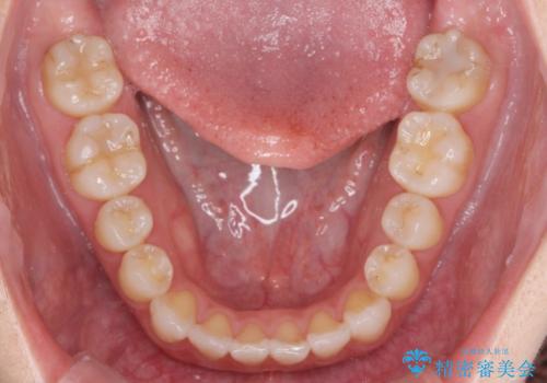
ワイヤーの前歯部分矯正治療を行ったことできっちりと前歯を審美的に並べ切ることができました。
マウスピース矯正の注意事項(リスク・副作用など)
- 口腔内・歯並びの状態によっては対応できない場合があります
- マウスピース型矯正装置の長時間装着(1日20時間以上)が必須です
- 治療計画通りに進めるためには、患者様の意志が重要になります
- 矯正治療後の保定が不十分だと後戻り(元の位置に戻ろうとする動き)をします
- 薬機法対象外の矯正歯科装置のため医薬品副作用被害救済制度の対象外となる場合があります
- 自費診療(保険適用外)となります
当サイトの内容、テキスト、画像等の無断転載、複製、複写、盗用を固く禁じます。





















