症例詳細
Case detail
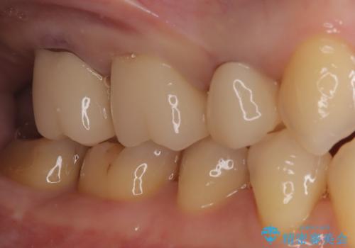
【オールセラミッククラウン】メタルフリー治療
治療症例の内容
- 担当医
- 河口智英(ドクタープロフィール)
- 患者様
- 50代女性
- 治療期間
- 3ヶ月
- 治療回数
- 5-10回
- 治療計画
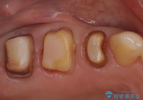
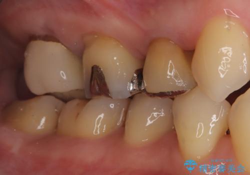
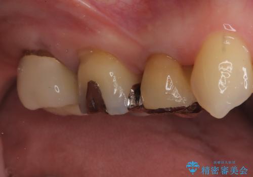
- 古い被せ物をやり変えたいことを主訴に来院されました。
根管治療も行い、きれいな被せ物になり患者さんも喜んでいました。
- 費用(概算)
- 62万円費用は治療当時の料金となります
治療について
3本まとめて治療をすることで来院回数を減らし、患者さんの負担を減らすことができ喜んでいただけました。
セラミック治療の注意事項(リスク・副作用など)
- 天然歯を削ります
- 硬い素材は天然歯を傷つけてしまう場合があります
- かみ合わせや歯ぎしりが強すぎる方はセラミックが割れてしまう可能性があります
- 自費診療(保険適用外治療)となります
根管治療の注意事項(リスク・副作用など)
- 根管治療により類似の全ての症例の問題が解決するわけではなく、症例はあくまでも一例です
- 根管治療により痛みや腫れがひかない事や、術後に痛みや腫れが生じる事、治療によるファイル破折やパーフォレーションなどの偶発症、術後の歯根破折を生じる可能性もあります
- 自費診療(保険適用外)となります
当サイトの内容、テキスト、画像等の無断転載、複製、複写、盗用を固く禁じます。









