症例詳細
Case detail
奥歯がズキズキと痛む 奥歯の虫歯治療
治療症例の内容
- 診療科目
 
- 担当医
 - 藤巻太一朗(ドクタープロフィール)
 
- 患者様
 - 30代女性
 
- 治療期間
 - 2ヶ月
 
- 治療回数
 - 5-10回
 
- 治療計画
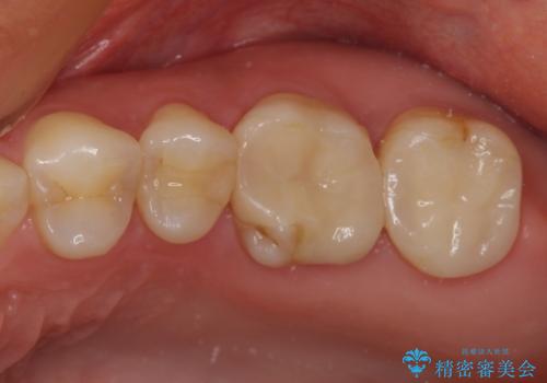
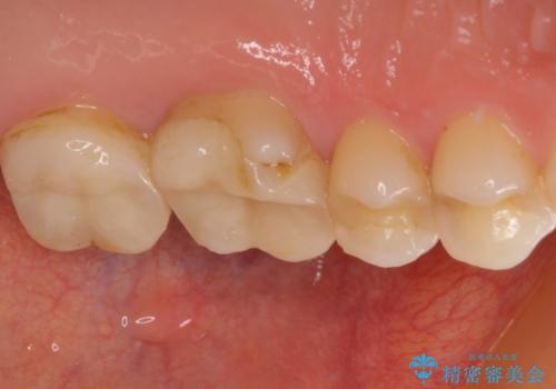
 - 奥歯がズキズキと痛み、食事で噛むことができないとのことで来院された患者様です。
以前治療を受けたとき、むし歯が大きかったため、神経組織が炎症を起こす可能性があると指摘をされていたとのことでした。
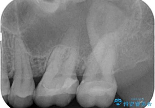
レントゲン写真から、神経組織近くにまで大きな修復物が認められました。
叩いたり、冷熱や電気刺激にによるテストを行ったりとしましたが、炎症の状態は芳しくなく、根管治療を行う前提で処置を行うこととしました。
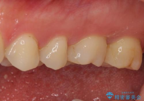
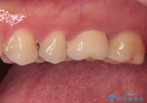
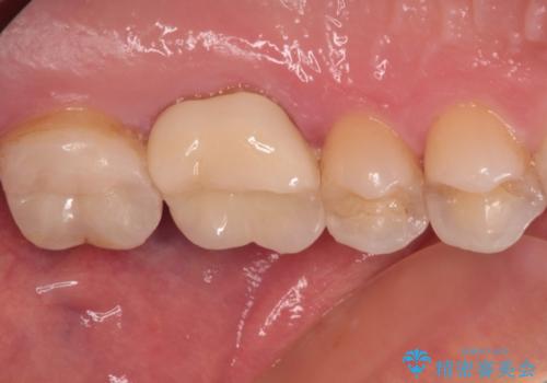
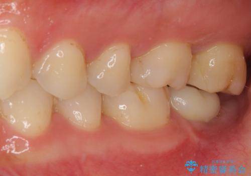
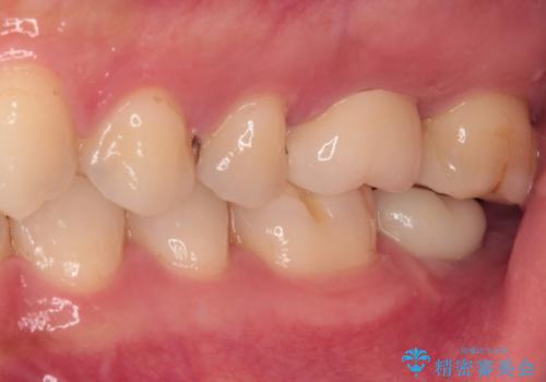
強い咬合力を負担する第一大臼歯であるため、根管治療後は速やかにオールセラミッククラウンにて補綴治療を行うこととしました。 
- 費用(概算)
 - 治療費の目安: 25万円(税込)費用は治療当時の料金となります
 
治療について
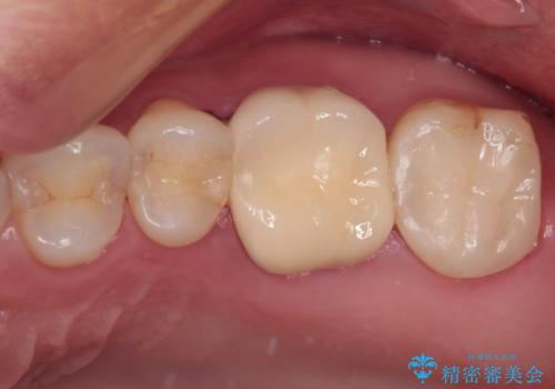
初診時は神経組織の生活反応が認められましたが、2日後に処置を行ったときには、既に反応はなくなっている状態でした。
神経組織は壊死が始まっておりましたが、初回処置後には痛みを感じることもなくなり、2回目に無事に根管治療を終えることができました。
セラミック治療の注意事項(リスク・副作用など)
- 天然歯を削ります
 - 硬い素材は天然歯を傷つけてしまう場合があります
 - かみ合わせや歯ぎしりが強すぎる方はセラミックが割れてしまう可能性があります
 - 自費診療(保険適用外治療)となります
 
根管治療の注意事項(リスク・副作用など)
- 根管治療により類似の全ての症例の問題が解決するわけではなく、症例はあくまでも一例です
 - 根管治療により痛みや腫れがひかない事や、術後に痛みや腫れが生じる事、治療によるファイル破折やパーフォレーションなどの偶発症、術後の歯根破折を生じる可能性もあります
 - 自費診療(保険適用外)となります
 
当サイトの内容、テキスト、画像等の無断転載、複製、複写、盗用を固く禁じます。

                      
                                                          










