症例詳細
Case detail
変色した前歯をオールセラミッククラウンに
治療症例の内容
- 診療科目
- 治療カテゴリ
- 担当医
- 藤巻太一朗(ドクタープロフィール)
- 患者様
- 30代男性
- 治療期間
- 2ヶ月
- 治療回数
- 2-5回
- 治療計画
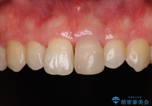
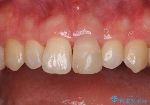
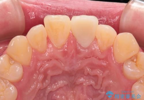
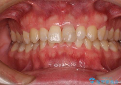
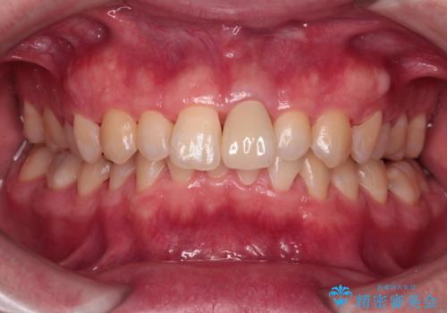
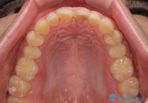
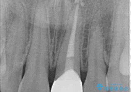
- 転んだ際に欠けてしまった前歯の変色が気になるとのことで来院された患者様です。
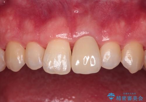
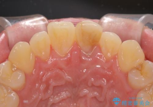
 診察やレントゲン写真より神経組織の失活が認められたため、根管治療、ファイバーコアによる土台築製後、オールセラミッククラウンにて補綴することとしました。
- 費用(概算)
- 治療費の目安: 25万円(税込)費用は治療当時の料金となります
治療について
神経を取り除いた歯は時間とともに変色してきます。
クリーニングやホワイトニングでは改善できないため、オールセラミッククラウンなどによる補綴治療が必要となります。
セラミック治療の注意事項(リスク・副作用など)
- 天然歯を削ります
- 硬い素材は天然歯を傷つけてしまう場合があります
- かみ合わせや歯ぎしりが強すぎる方はセラミックが割れてしまう可能性があります
- 自費診療(保険適用外治療)となります
当サイトの内容、テキスト、画像等の無断転載、複製、複写、盗用を固く禁じます。








 
                       
                                                          











 
                   
                   
                  