症例詳細
Case detail
前歯でものを噛みきりたい 目立たない装置でのワイヤー矯正
治療症例の内容
- 診療科目
- 担当医
- 藤巻太一朗(ドクタープロフィール)
- 患者様
- 40代男性
- 矯正装置
- 審美装置
- 治療期間
- 1年5ヶ月
- 治療回数
- 10-30回
- 治療計画
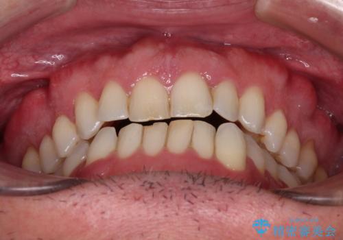
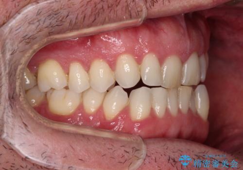
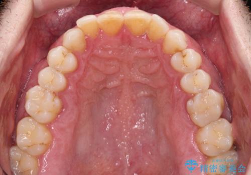
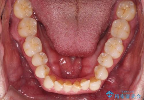
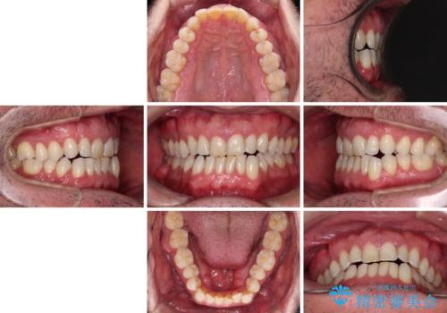
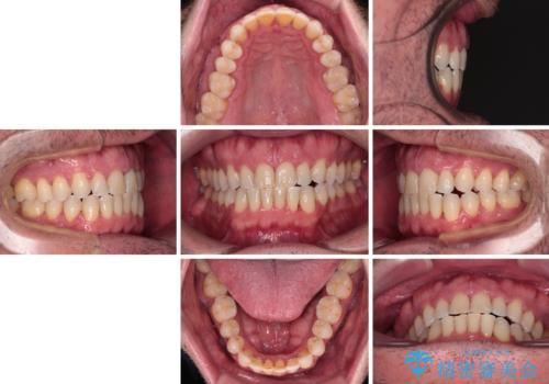
- 前歯でものを噛みきりたいとのことで来院された患者様です。
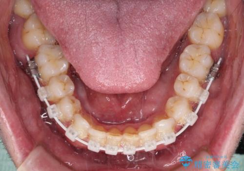
以前矯正治療を経験されたそうですが、舌の突出癖により上下前歯に隙間ができている様子でした。
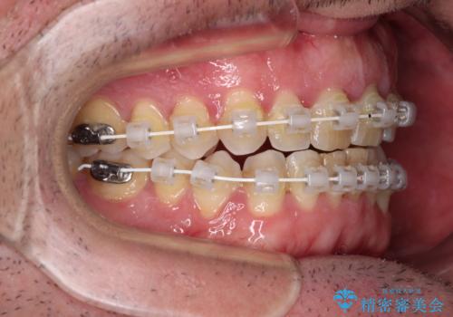
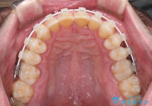
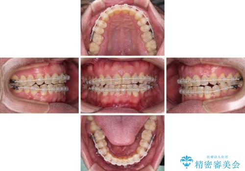
前歯の非接触改善は、インビザラインの得意とするところですが、マウスピース矯正は絶対に継続できないとのことで、ワイヤー装置にて矯正治療を行うこととしました。
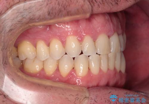
舌の突出癖が改善されない限り、非接触改善は見込めないため、トレーニングを徹底するように指示しました。
- 費用(概算)
- 治療費の目安: 95万円(税込)費用は治療当時の料金となります
治療について
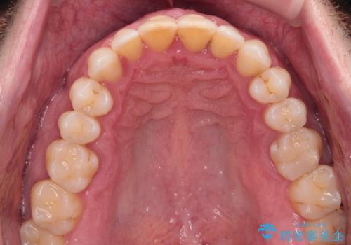
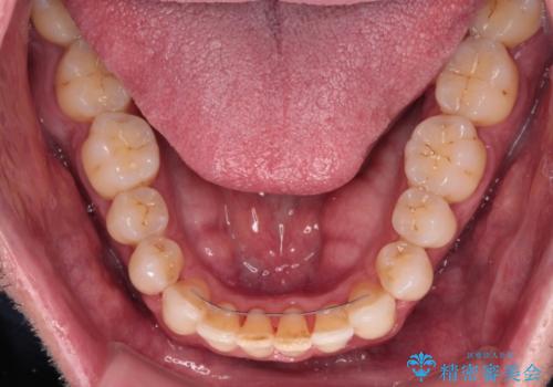
舌のトレーニング自体は簡単なものですが、無意識下でも舌が突出しないようにしなければならないため、毎日継続することが最大の難関です。
時間はかかりましたがトレーニングを頑張ってくださり、無事に前歯を接触させることができました。
ワイヤー矯正の注意事項(リスク・副作用など)
- 治療中は違和感や痛みが起こることがあります
- 症状により、抜歯が必要な場合があります
- 治療中は歯磨きがしにくくなるため、虫歯や歯周病になりやすくなります
- 矯正治療後の保定が不十分だと後戻り(元の位置に戻ろうとする動き)をします
- 自費診療(保険適用外)となります
当サイトの内容、テキスト、画像等の無断転載、複製、複写、盗用を固く禁じます。


























