症例詳細
Case detail
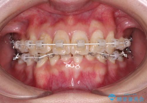
デコボコと深い咬み合わせ ワイヤー装置での抜歯矯正
治療症例の内容
- 診療科目
- 治療カテゴリ
- 担当医
- 藤巻太一朗(ドクタープロフィール)
- 患者様
- 20代女性
- 矯正装置
- 審美装置
- 治療期間
- 3年1ヶ月
- 治療回数
- 10-30回
- 治療計画
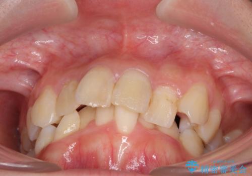
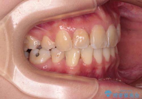
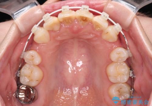
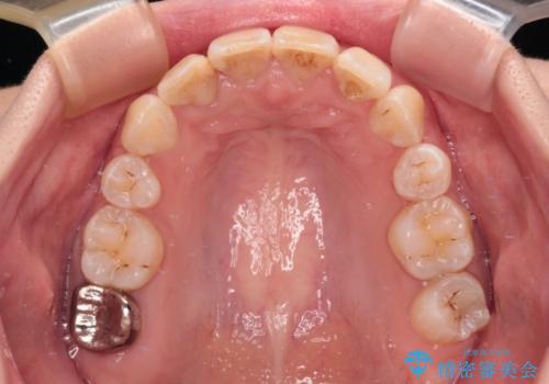
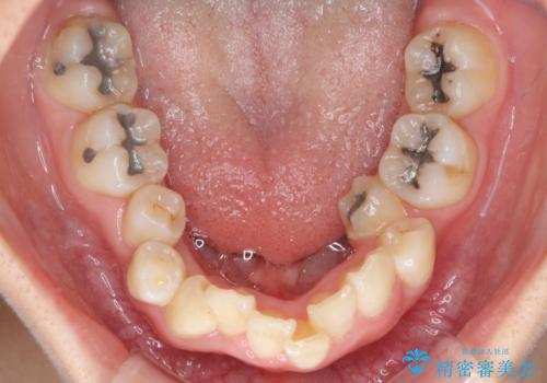
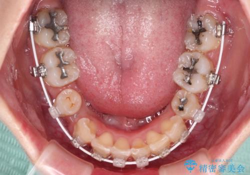
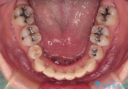
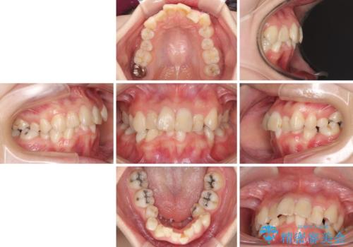
- 内側に倒れ込んだ歯や下の前歯が隠れてしまうほどの咬み合わせを改善したいとのことで来院された患者様です。
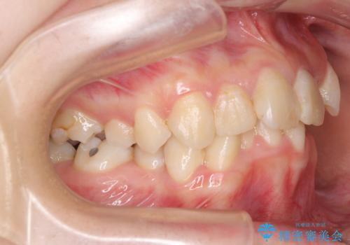
下顎の叢生を解消するために抜歯が必要であり、奥歯の咬み合わせや口元の印象から、上顎も同様に抜歯と判断し、上下左右の第1小臼歯4本抜歯してワイヤー装置にて矯正治療を行うこととしました。
- 費用(概算)
- 治療費の目安: 105万円(税込)費用は治療当時の料金となります
治療について
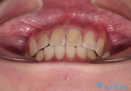
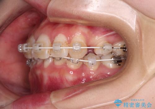
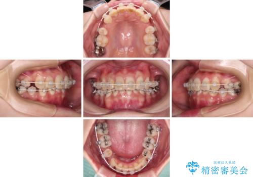
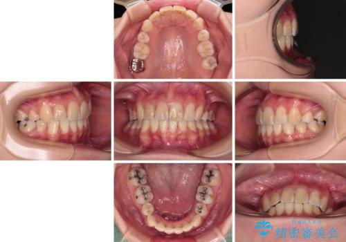
咬み合わせが深く、そのままでは上顎の抜歯スペースが閉じきらない可能性があったため、治療初期から深い咬み合わせを改善させるように試みました。
実際にはなかなか改善されず、当初予定よりも治療期間がやや長期化してしまいました。
ワイヤー矯正の注意事項(リスク・副作用など)
- 治療中は違和感や痛みが起こることがあります
- 症状により、抜歯が必要な場合があります
- 治療中は歯磨きがしにくくなるため、虫歯や歯周病になりやすくなります
- 矯正治療後の保定が不十分だと後戻り(元の位置に戻ろうとする動き)をします
- 自費診療(保険適用外)となります
当サイトの内容、テキスト、画像等の無断転載、複製、複写、盗用を固く禁じます。


























