症例詳細
Case detail
海外赴任前に治したい 割れてしまった奥歯のオールセラミッククラウン
治療症例の内容
- 診療科目
- 治療カテゴリ
- 担当医
- 藤巻太一朗(ドクタープロフィール)
- 患者様
- 30代男性
- 治療期間
- 1ヶ月
- 治療回数
- 2-5回
- 治療計画
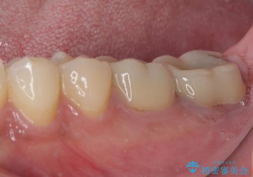
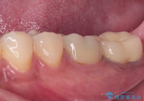
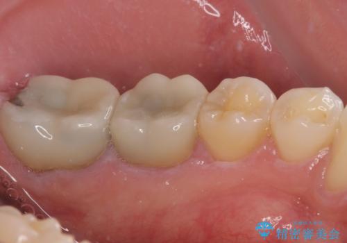
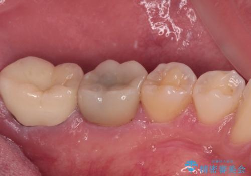
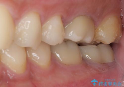
- 間もなく海外赴任という状況で奥歯のクラウンが割れてしまったとのことで来院された患者様です。
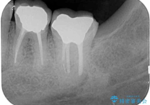
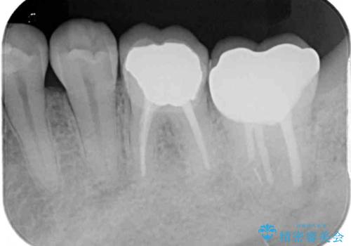
下顎の1番奥の歯であり、歯肉に覆われている部分が大きいためセラミックの十分な厚みが取れない状態でした。
強化セラミックを用いたオールセラミッククラウンにて補綴治療を行うこととしました。
- 費用(概算)
- 治療費の目安: 12万円(税込)費用は治療当時の料金となります
治療について
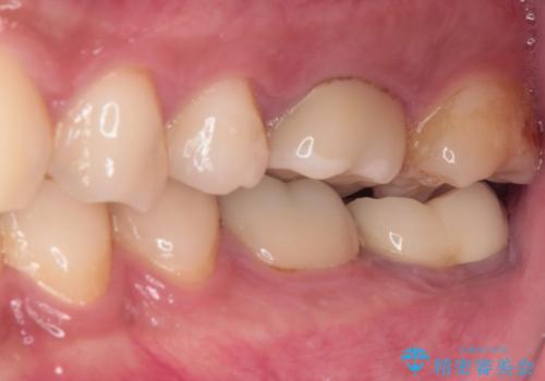
十分な土台の高さを確保できない状態であったので、維持力のある土台の形態に整えることで、極力長持ちする治療を心がけました。
セラミック治療の注意事項(リスク・副作用など)
- 天然歯を削ります
- 硬い素材は天然歯を傷つけてしまう場合があります
- かみ合わせや歯ぎしりが強すぎる方はセラミックが割れてしまう可能性があります
- 自費診療(保険適用外治療)となります
当サイトの内容、テキスト、画像等の無断転載、複製、複写、盗用を固く禁じます。










