症例詳細
Case detail
前歯の変色を改善!セラミック治療
治療症例の内容
- 診療科目
- 治療カテゴリ
- 担当医
- 大元洋佑(ドクタープロフィール)
- 患者様
- 40代男性
- 治療期間
- 1ヶ月
- 治療回数
- 2-5回
- 治療計画
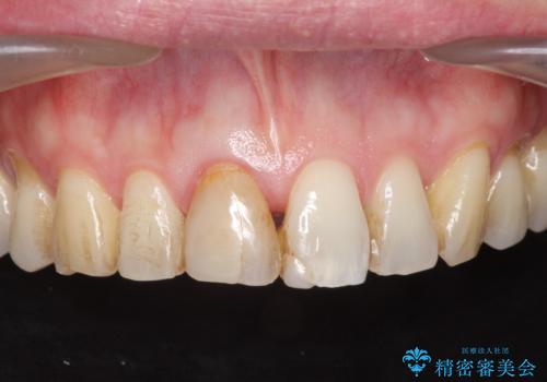
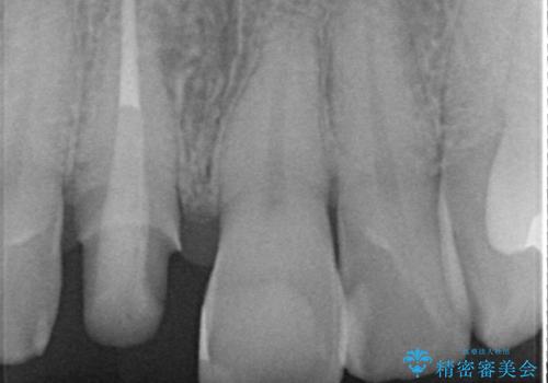
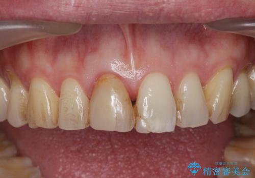
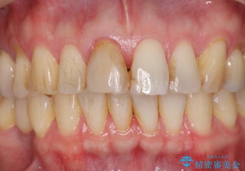
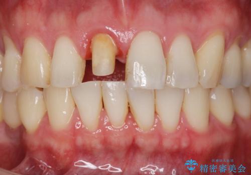
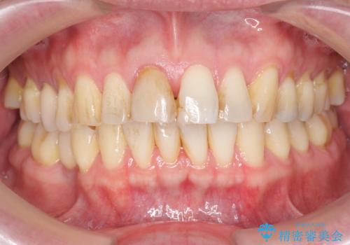
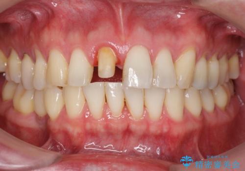
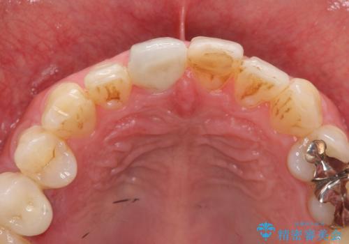
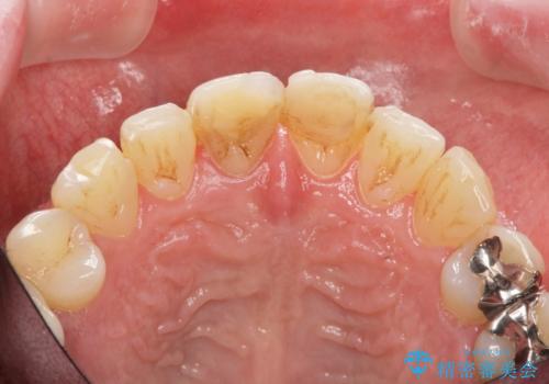
- 前歯の変色が気になり審美障害の改善を求めて来院されました。
根管治療に伴う歯の色調変化はよく見られる所見です。
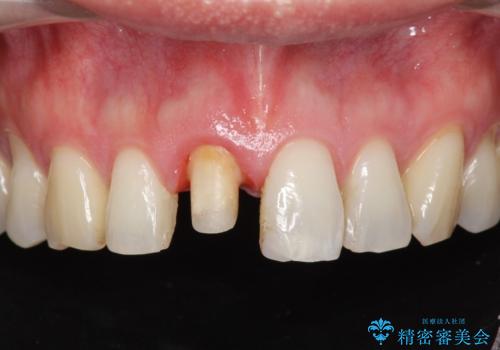
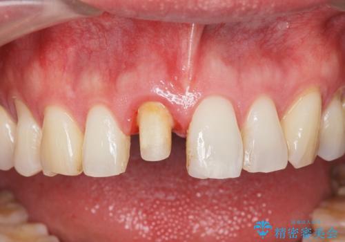
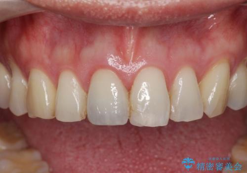
セラミッククラウン製作を行い審美性の改善を計画します。
- 費用(概算)
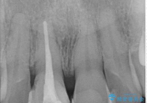
- 15.4万円(仮歯・ファイバーコア・ジルコニアクラウン)費用は治療当時の料金となります
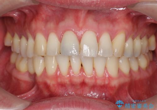
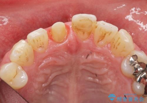
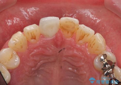
治療について
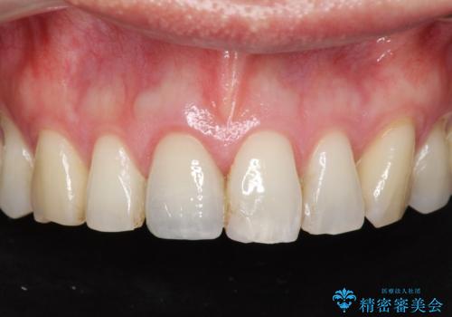
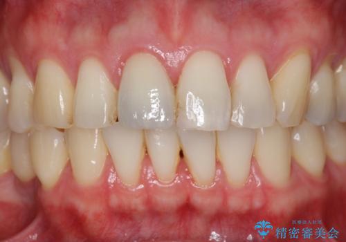
周囲の歯の色調に合わせた、自然なセラミック治療を行うことができましt。
セラミック治療の注意事項(リスク・副作用など)
- 天然歯を削ります
- 硬い素材は天然歯を傷つけてしまう場合があります
- かみ合わせや歯ぎしりが強すぎる方はセラミックが割れてしまう可能性があります
- 自費診療(保険適用外治療)となります
当サイトの内容、テキスト、画像等の無断転載、複製、複写、盗用を固く禁じます。





















