症例詳細
Case detail
奥歯から臭いがする 銀歯下の虫歯再発
治療症例の内容
- 担当医
- 大元洋佑(ドクタープロフィール)
- 患者様
- 40代女性
- 治療期間
- 8ヶ月
- 治療回数
- 5-10回
- 治療計画
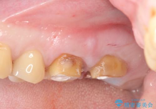
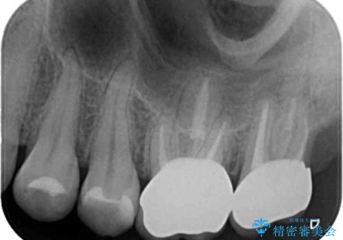
- 半年前から奥歯から嫌な臭いがする、と治療を求めて来院されました。
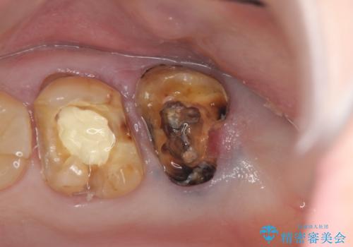
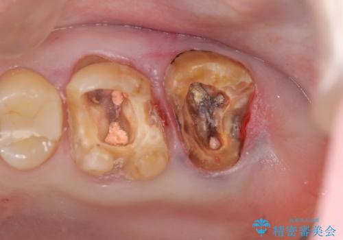
銀歯を除去したところ、虫歯が大きく再発しこのままではかぶせ直しができないような状況でした。
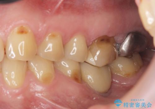
・深い虫歯 →歯周外科を行うことで歯ぐきの腫れを改善
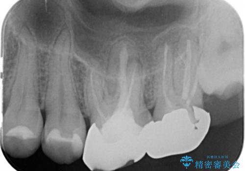
・根尖性歯周炎 →精密根管治療
・咬合機能の回復 →セラミッククラウンの製作
と問題点を一つづつ丁寧に解決し、長期的に虫歯が再発せず安定を見込める治療を行っていきます。
- 費用(概算)
- 36.3万円費用は治療当時の料金となります
治療について
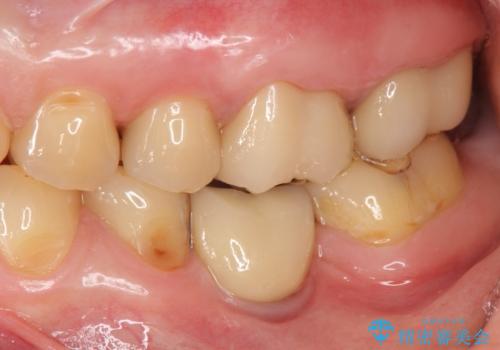
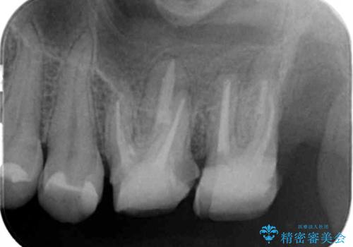
深い虫歯・根尖性歯周炎・咬合機能の回復の問題を解決し良好な治療結果を得ることができました。
セラミック治療の注意事項(リスク・副作用など)
- 天然歯を削ります
- 硬い素材は天然歯を傷つけてしまう場合があります
- かみ合わせや歯ぎしりが強すぎる方はセラミックが割れてしまう可能性があります
- 自費診療(保険適用外治療)となります
当サイトの内容、テキスト、画像等の無断転載、複製、複写、盗用を固く禁じます。


















