症例詳細
Case detail
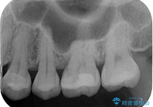
歯と歯の間の虫歯 セラミックインレーでの治療
治療症例の内容
- 診療科目
- 治療カテゴリ
- 担当医
- 岡田康成(ドクタープロフィール)
- 患者様
- 30代女性
- 治療期間
- 1ヶ月
- 治療計画
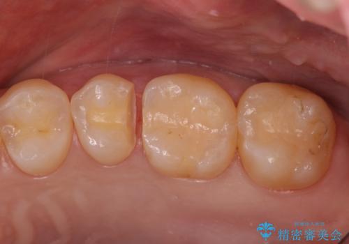
- 検査の結果、歯と歯の間に虫歯が見つかった患者様です。
白く目立たないものでの治療をご希望されたため、セラミックインレーでの治療となりました。
- 費用(概算)
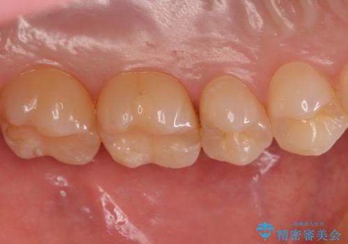
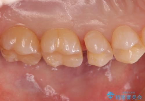
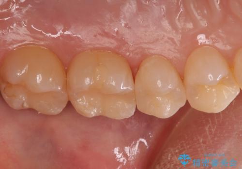
- 左上5 セラミックインレー 77,000円費用は治療当時の料金となります
治療について
歯と歯の間は虫歯の好発部位です。
適合の良いセラミックインレーで修復することで見た目の綺麗さを保ったまま治療することができます。
セラミック治療の注意事項(リスク・副作用など)
- 天然歯を削ります
- 硬い素材は天然歯を傷つけてしまう場合があります
- かみ合わせや歯ぎしりが強すぎる方はセラミックが割れてしまう可能性があります
- 自費診療(保険適用外治療)となります
当サイトの内容、テキスト、画像等の無断転載、複製、複写、盗用を固く禁じます。








