症例詳細
Case detail
【モニター】口が閉じにくい 抜歯矯正で口元を引っ込める
治療症例の内容
- 診療科目
- 担当医
- 藤巻太一朗(ドクタープロフィール)
- 患者様
- 30代女性
- 矯正装置
- 審美装置
- 治療期間
- 2年4ヶ月
- 治療回数
- 10-30回
- 治療計画
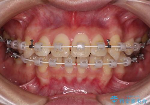
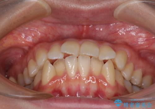
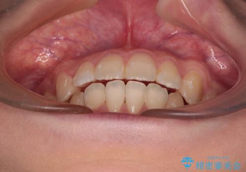
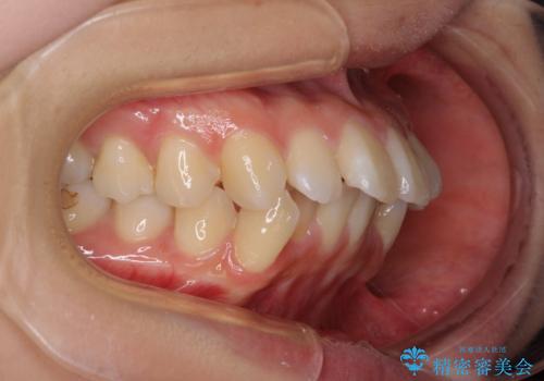
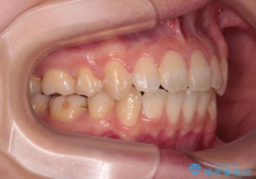
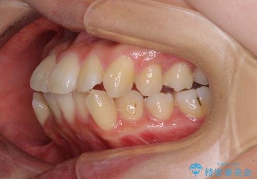
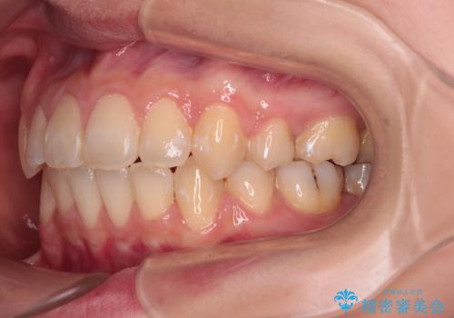
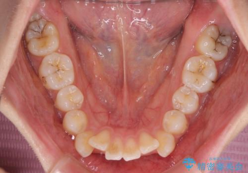
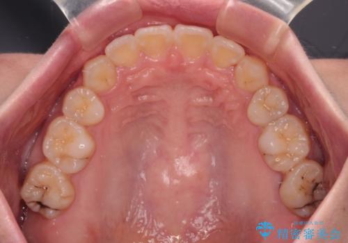
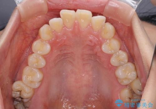
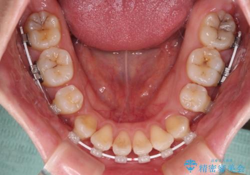
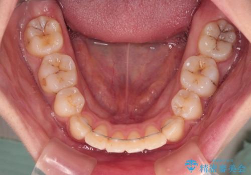
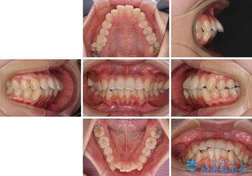
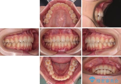
- 前歯のデコボコや口元の突出感、口の閉じにくさを気にして来院された患者様です。
上下左右第一小臼歯4本を抜歯し、ワイヤー装置にてデコボコを解消しながら口元を引っ込めるよう矯正治療を行うこととしました。
- 費用(概算)
- 治療費の目安: 95万円(税込)費用は治療当時の料金となります
※顔写真掲載にあたり、患者様の了解を得ております
治療について
抜歯スペースを閉じている過程で、左側の上下犬歯が引っかかってしまい、進捗が停滞しましたが、当初予定の2年~2年半の間で無事に治療を終えることができました。
ワイヤー矯正の注意事項(リスク・副作用など)
- 治療中は違和感や痛みが起こることがあります
- 症状により、抜歯が必要な場合があります
- 治療中は歯磨きがしにくくなるため、虫歯や歯周病になりやすくなります
- 矯正治療後の保定が不十分だと後戻り(元の位置に戻ろうとする動き)をします
- 自費診療(保険適用外)となります
当サイトの内容、テキスト、画像等の無断転載、複製、複写、盗用を固く禁じます。


























