症例詳細
Case detail
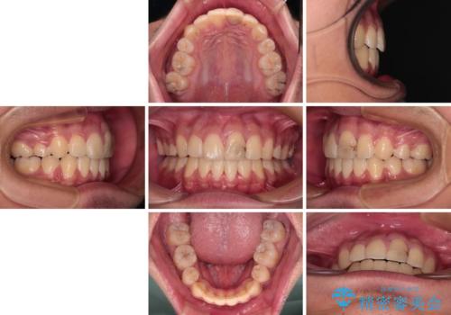
膨らんだ口元 ワイヤー装置での抜歯矯正
治療症例の内容
- 診療科目
- 担当医
- 藤巻太一朗(ドクタープロフィール)
- 患者様
- 10代男性(高校生)
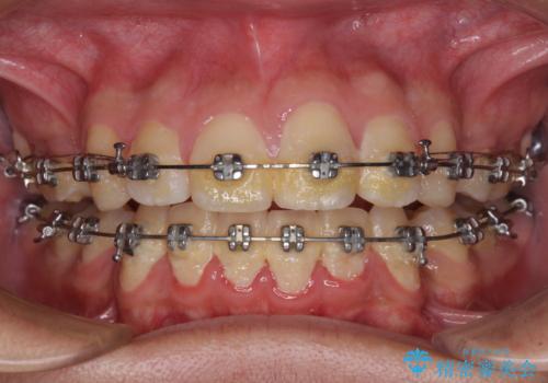
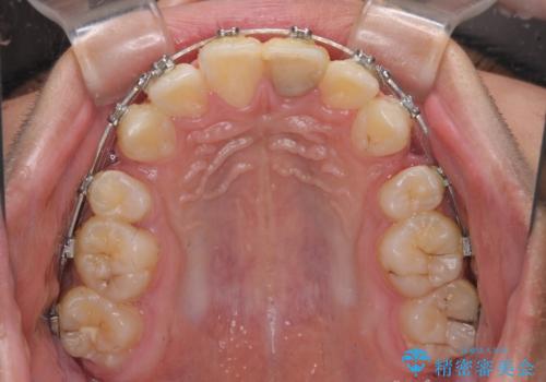
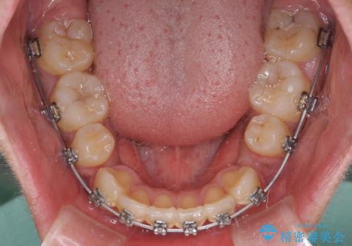
- 矯正装置
- メタルブラケット
- 治療期間
- 2年10ヶ月
- 治療回数
- 10-30回
- 治療計画
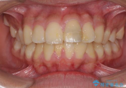
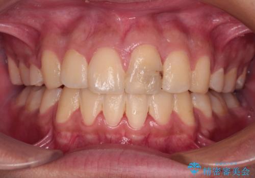
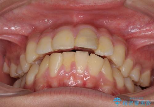
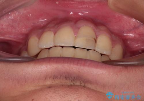
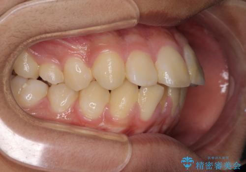
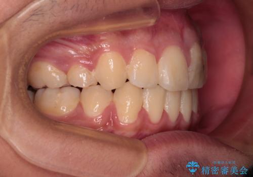
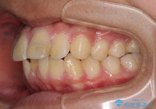
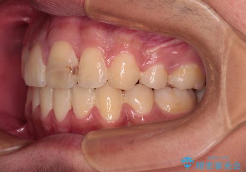
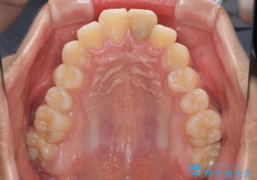
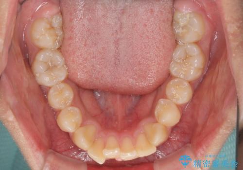
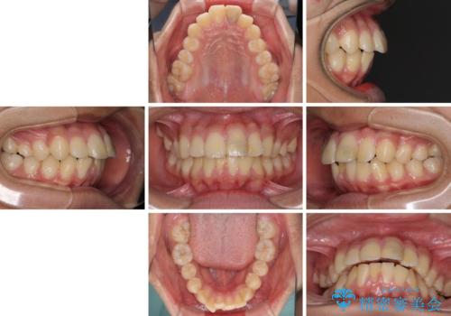
- 口元の突出感を気にして来院された患者様です。
上下前歯が著しく前突している状態であったので、上下左右の第1小臼歯4本を抜歯し、ワイヤー装置にて矯正治療を行うこととしました。
舌の突出癖により、前突になったと考えられたため、舌のトレーニングをしっかりと行うよう指導しました。
- 費用(概算)
- 治療費の目安: 90万円(税込)費用は治療当時の料金となります
治療について
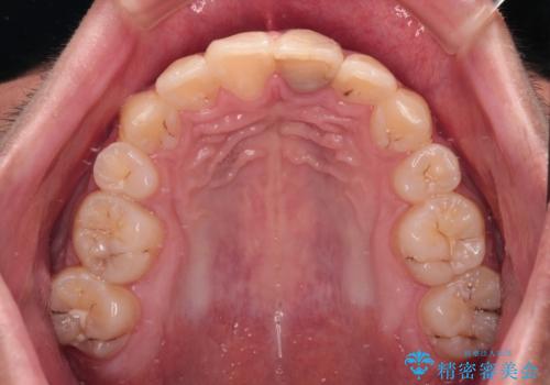
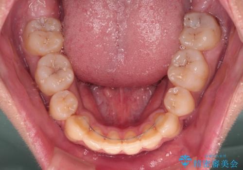
小学生の頃に上顎前歯をぶつけ、歯の一部が破損している状態であったので、歯根が歯槽骨と癒着して移動しない可能性がありましたが、無事に治療を終えることができました。
受験勉強と重なり、舌のトレーニングが十分に行えず、高校生としてはやや長期間の治療となりました。
ワイヤー矯正の注意事項(リスク・副作用など)
- 治療中は違和感や痛みが起こることがあります
- 症状により、抜歯が必要な場合があります
- 治療中は歯磨きがしにくくなるため、虫歯や歯周病になりやすくなります
- 矯正治療後の保定が不十分だと後戻り(元の位置に戻ろうとする動き)をします
- 自費診療(保険適用外)となります
当サイトの内容、テキスト、画像等の無断転載、複製、複写、盗用を固く禁じます。


























