症例詳細
Case detail
口が閉じられない ワイヤー装置での抜歯矯正
治療症例の内容
- 診療科目
- 治療カテゴリ
- 担当医
- 藤巻太一朗(ドクタープロフィール)
- 患者様
- 20代女性
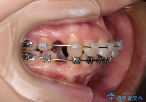
- 矯正装置
- メタルブラケット
- 治療期間
- 1年1ヶ月
- 治療計画
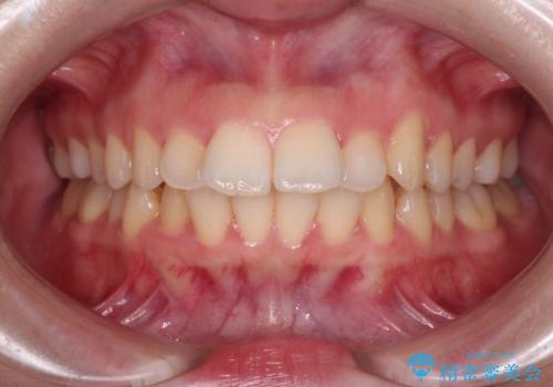
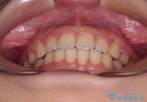
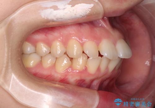
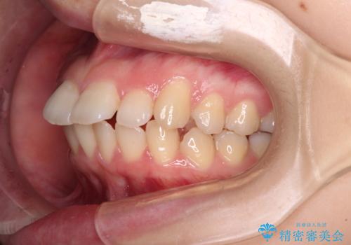
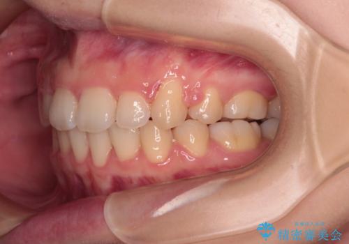
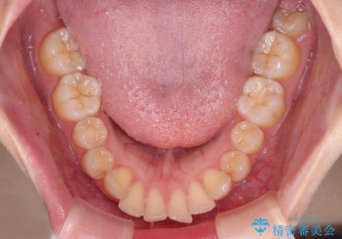
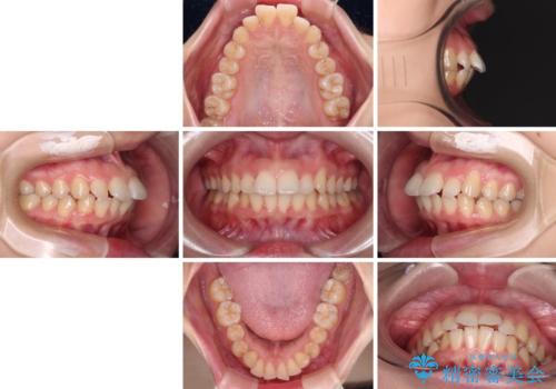
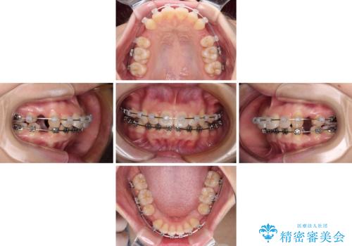
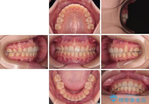
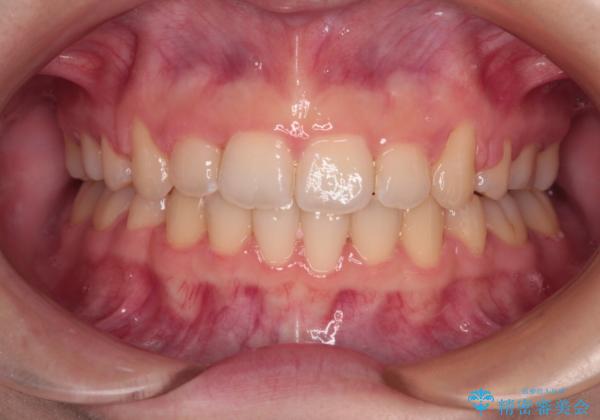
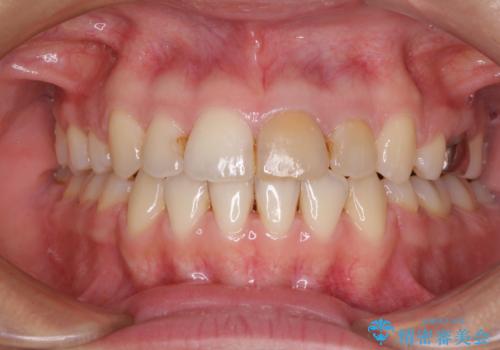
- 上下の前歯が突出しており、口が閉じにくいとのことで来院された患者様です。
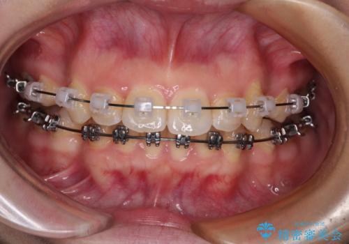
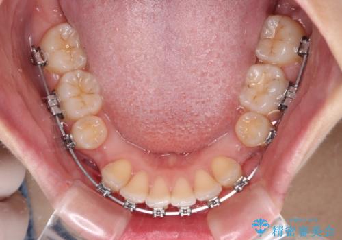
上下前歯が著しく前突している状態であったので、上下左右の第1小臼歯4本を抜歯し、ワイヤー装置にて矯正治療を行うこととしました。
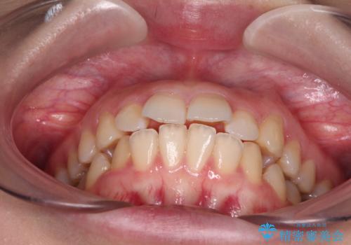
舌の突出癖により、前突になったと考えられたため、舌のトレーニングをしっかりと行うよう指導しました。
- 費用(概算)
- 治療費の目安: 90万円(税込)費用は治療当時の料金となります
治療について
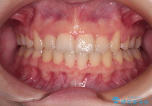
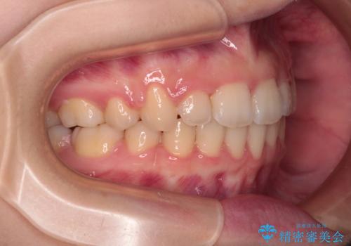
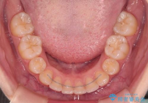
舌の突出癖があり、前歯の移動量も多くなるため、治療期間は長くなると予想されましたが、13ヶ月という予定の半分程度の期間で終えることができました。
装置について
※写真にある上顎装置はメタルブラケットではありません。メーカー在庫都合などにより別の装置を使用しております。
ワイヤー矯正の注意事項(リスク・副作用など)
- 治療中は違和感や痛みが起こることがあります
- 症状により、抜歯が必要な場合があります
- 治療中は歯磨きがしにくくなるため、虫歯や歯周病になりやすくなります
- 矯正治療後の保定が不十分だと後戻り(元の位置に戻ろうとする動き)をします
- 自費診療(保険適用外)となります
当サイトの内容、テキスト、画像等の無断転載、複製、複写、盗用を固く禁じます。


























