症例詳細
Case detail
【モニター】飛び出た前歯を整えたい ワイヤー矯正治療
治療症例の内容
- 診療科目
- 担当医
- 藤巻太一朗(ドクタープロフィール)
- 患者様
- 40代女性
- 矯正装置
- 審美装置
- 治療期間
- 11ヶ月
- 治療回数
- 10-30回
- 治療計画
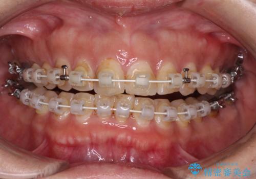
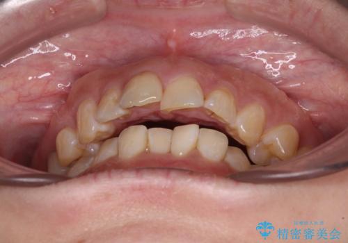
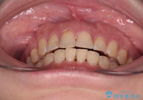
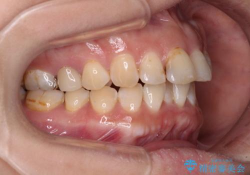
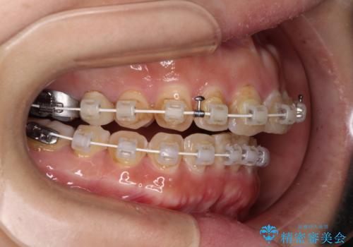
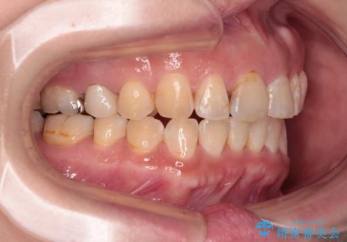
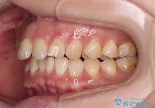
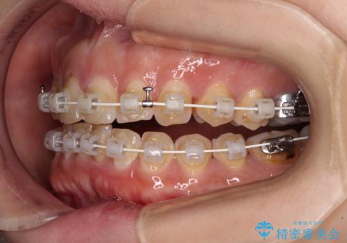
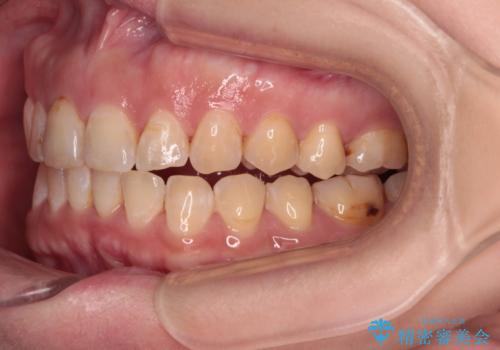
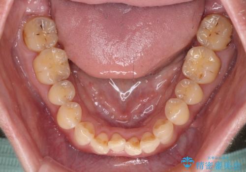
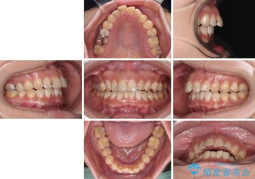
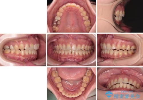
- 飛び出た上の前歯を気にして来院された患者様です。
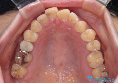
奥歯の咬み合わせは、上顎歯列が理想的な一よりも数mm前方にある状態でした。
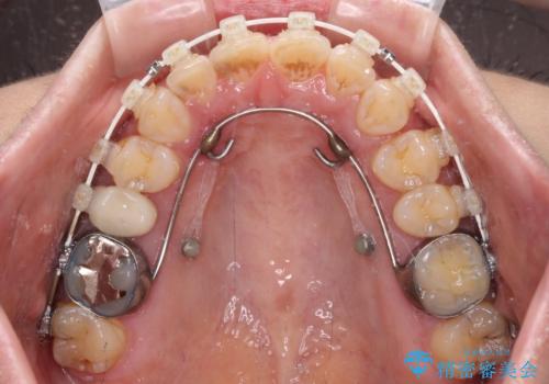
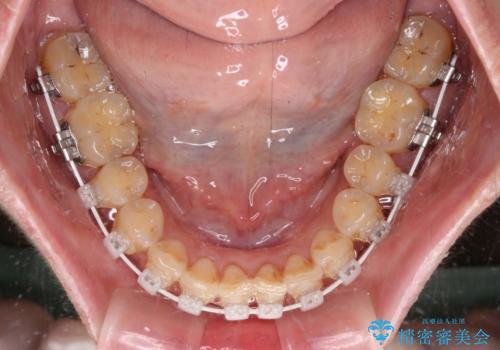
なるべく早めに治療を終えたいとのことで、補助装置を用いて上顎臼歯を後方に移動させ、同時にワイヤー装置にて整えることとしました。
- 費用(概算)
- 治療費の目安: 105万円(税込)費用は治療当時の料金となります
※顔写真掲載にあたり、患者様の了解を得ております
治療について
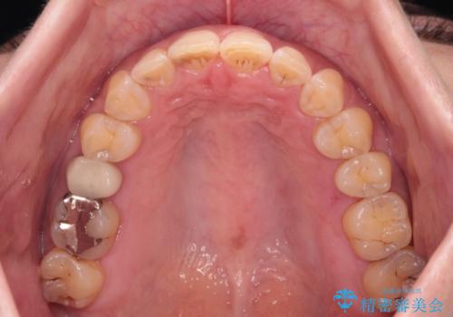
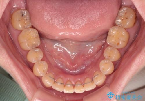
舌の突出癖が原因で上下の歯に大きなスペースが生じていたため、舌のトレーニングをしっかり行っていただくことで、上顎歯列をスムーズに移動させることができました。
ワイヤー矯正の注意事項(リスク・副作用など)
- 治療中は違和感や痛みが起こることがあります
- 症状により、抜歯が必要な場合があります
- 治療中は歯磨きがしにくくなるため、虫歯や歯周病になりやすくなります
- 矯正治療後の保定が不十分だと後戻り(元の位置に戻ろうとする動き)をします
- 自費診療(保険適用外)となります
当サイトの内容、テキスト、画像等の無断転載、複製、複写、盗用を固く禁じます。


























