症例詳細
Case detail
【オールセラミッククラウン】歯の色が気になる
治療症例の内容
- 診療科目
- 治療カテゴリ
- 担当医
- 河野豊嘉(ドクタープロフィール)
- 患者様
- 20代男性
- 治療期間
- 2ヶ月
- 治療回数
- 2-5回
- 治療計画
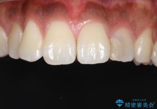
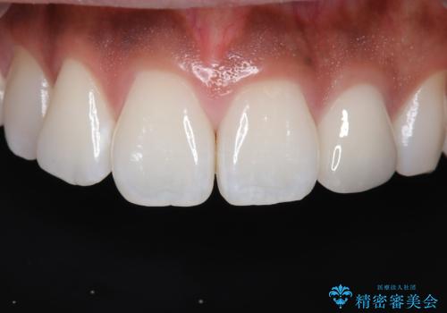
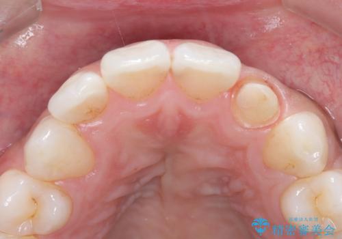
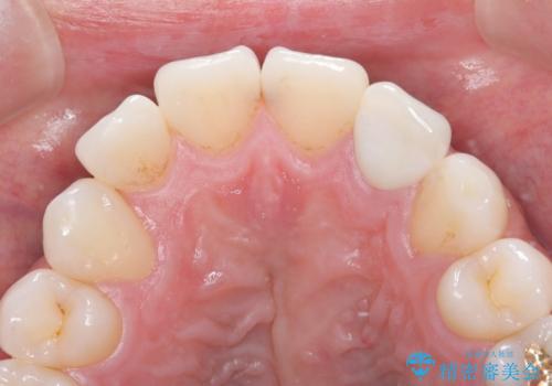
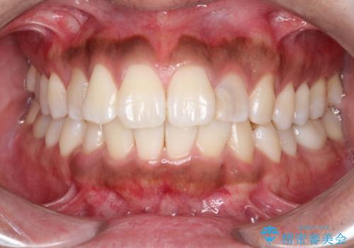
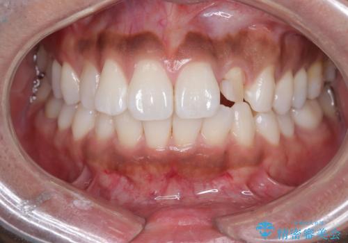
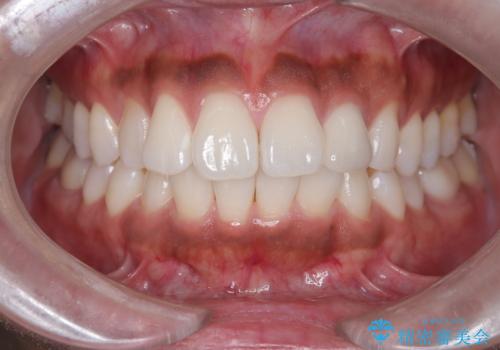
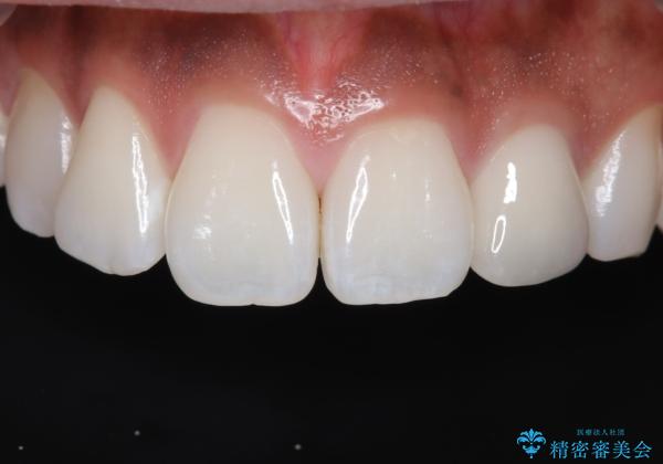
- 「前歯の歯の色が気になる」を主訴に来院された患者さんです。歯の大部分がプラスチックの材料で治療されていました。そこが劣化し変色していたためオールセラミッククラウンで治療を行いました。前歯の色を全体的に白くするために当院でオフィスホワイトニングも行いました。
- 費用(概算)
- 15万4千円(オールセラミッククラウンスペシャル14万3千円+仮歯1万1千円)費用は治療当時の料金となります
治療について
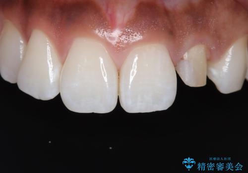
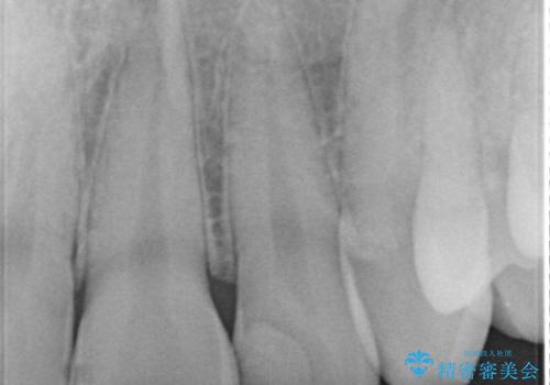
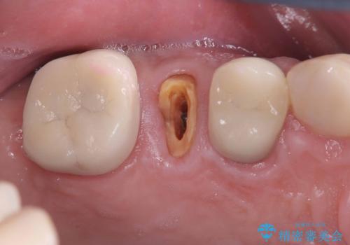
左上2番の大部分がプラスチックの材料で治療されていました。そのプラスチックの材料が劣化して変色し虫歯になっている状態でした。なので古いプラスチックの材料を全て除去し、その下の虫歯を取った後、オールセラミッククラウンで治療を行いました。オールセラミッククラウンを装着する前に当院にてホワイトニングを行いました。
セラミック治療の注意事項(リスク・副作用など)
- 天然歯を削ります
- 硬い素材は天然歯を傷つけてしまう場合があります
- かみ合わせや歯ぎしりが強すぎる方はセラミックが割れてしまう可能性があります
- 自費診療(保険適用外治療)となります
当サイトの内容、テキスト、画像等の無断転載、複製、複写、盗用を固く禁じます。











