症例詳細
Case detail
【審美ワイヤー】奥歯のガタガタを治したい
治療症例の内容
- 担当医
- 河口智英(ドクタープロフィール)
- 患者様
- 20代男性
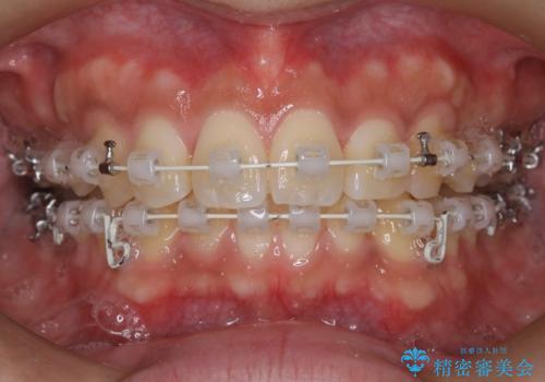
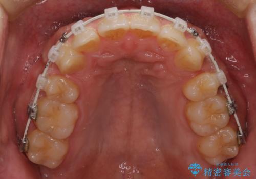
- 矯正装置
- 審美装置
- 治療期間
- 3年
- 治療回数
- 10-30回
- 治療計画
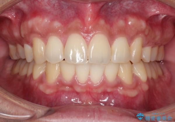
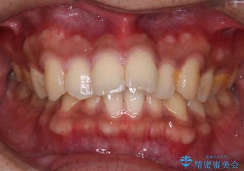
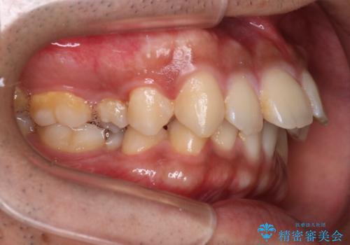
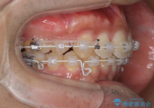
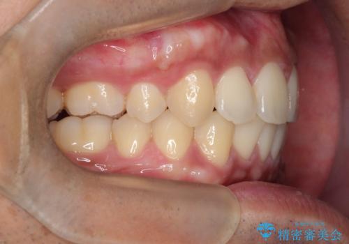
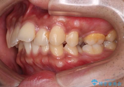
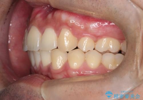
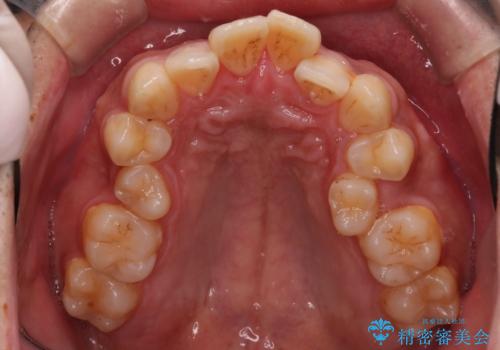
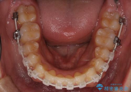
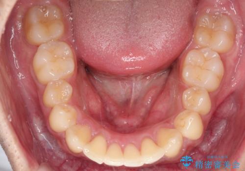
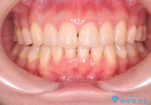
- 歯並びの凸凹を主訴に来院されました。
 スペースが必要なため、抜歯を行なって治療を行いました。
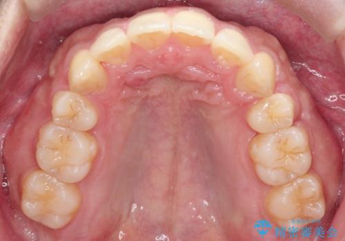
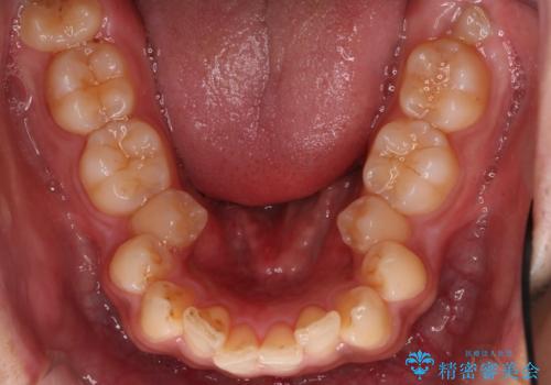
 奥歯の捻れが強く治療期間がかかりましたが、綺麗な仕上がりに満足していただきました。
- 費用(概算)
- 100万円費用は治療当時の料金となります
治療について
最初はインビザラインを治療していた経緯がありますが、使用時間が確保できずワイヤー矯正へ移行しております。
ワイヤー矯正の注意事項(リスク・副作用など)
- 治療中は違和感や痛みが起こることがあります
- 症状により、抜歯が必要な場合があります
- 治療中は歯磨きがしにくくなるため、虫歯や歯周病になりやすくなります
- 矯正治療後の保定が不十分だと後戻り(元の位置に戻ろうとする動き)をします
- 自費診療(保険適用外)となります
当サイトの内容、テキスト、画像等の無断転載、複製、複写、盗用を固く禁じます。








 
                       
                                                          














 
                   
                   
                  