症例詳細
Case detail
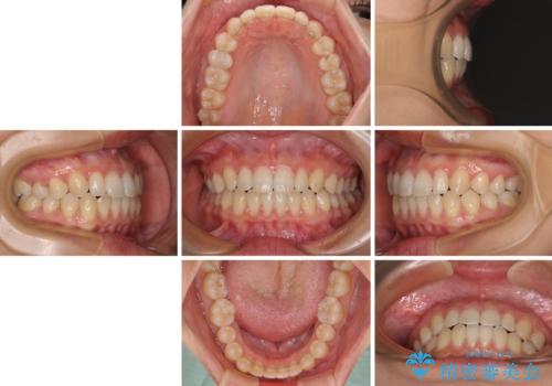
隙間だらけの歯列 インビザラインで改善
治療症例の内容
- 診療科目
- 担当医
- 藤巻太一朗(ドクタープロフィール)
- 患者様
- 20代女性
- 矯正装置
- インビザライン
- 治療期間
- 2年11ヶ月
- 治療回数
- 10-30回
- 治療計画
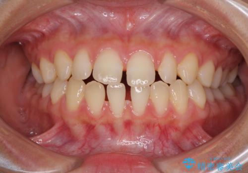
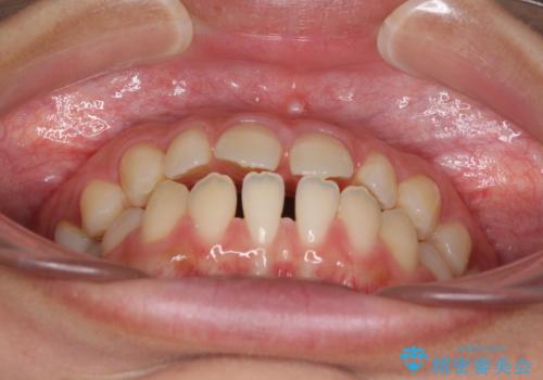
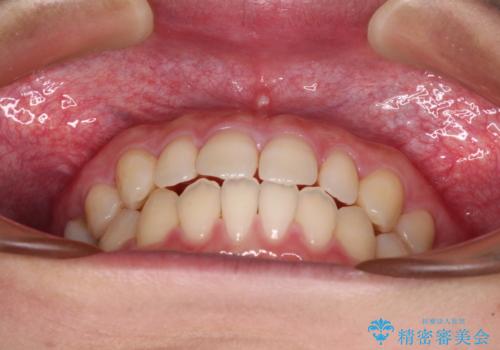
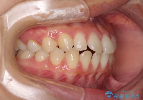
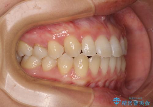
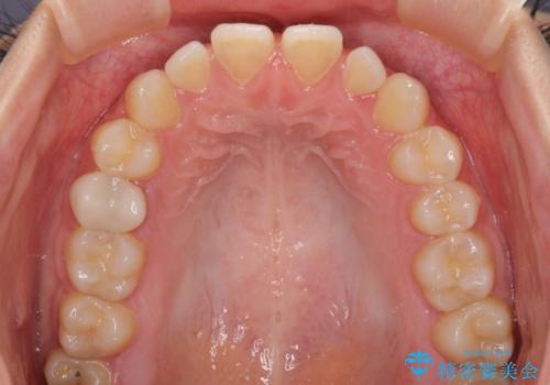
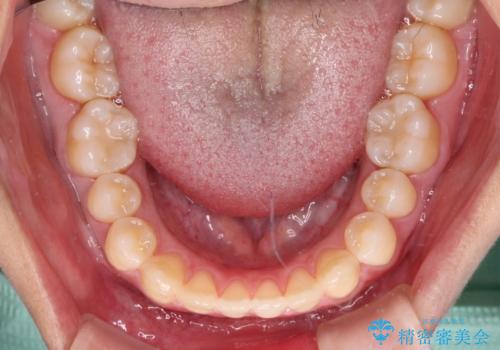
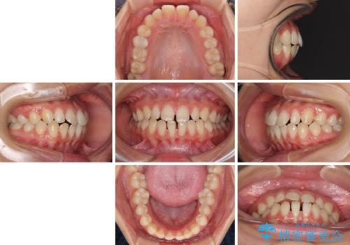
- 前歯の上下スペースと前歯の隙間を気にして来院された患者様です。
飲み込みや話をするときに舌を突出させる癖が強くあり、それが原因でスペースが空いていました。
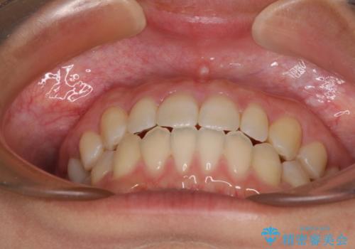
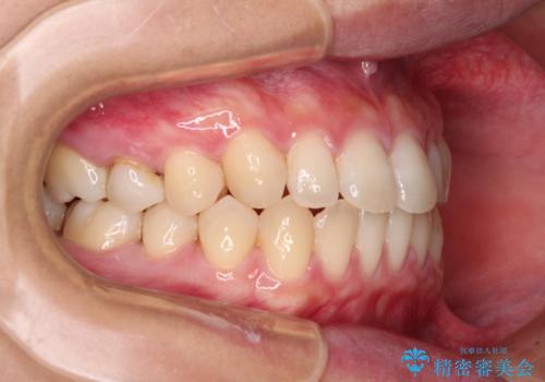
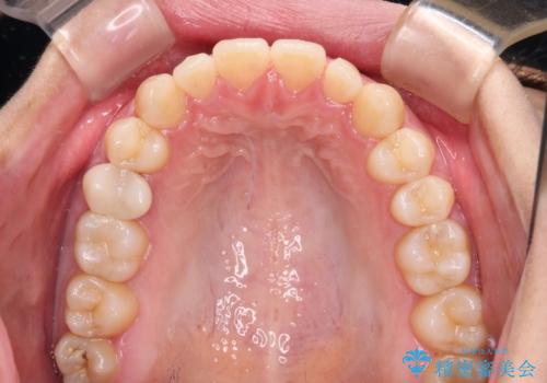
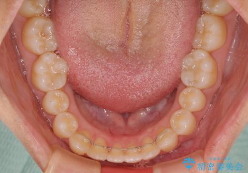
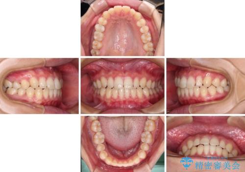
舌癖を改善するためのトレーニングを行いながら、インビザラインにより上下の前歯の隙間を閉じていくこととしました。
- 費用(概算)
- 治療費の目安: 90万円(税込)費用は治療当時の料金となります
治療について
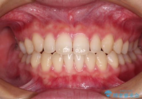
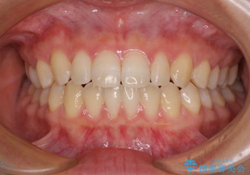
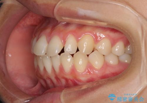
空隙歯列(すきっ歯)は、舌の突出癖をある程度改善できたとしても、後戻りにより隙間が開きやすいと言われています。
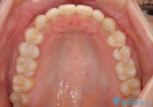
裏側から細いワイヤーで保定するとともに、睡眠時のマウスピース装着を徹底していただくことで、後戻りを最小限にとどめます。
マウスピース矯正の注意事項(リスク・副作用など)
- 口腔内・歯並びの状態によっては対応できない場合があります
- マウスピース型矯正装置の長時間装着(1日20時間以上)が必須です
- 治療計画通りに進めるためには、患者様の意志が重要になります
- 矯正治療後の保定が不十分だと後戻り(元の位置に戻ろうとする動き)をします
- 薬機法対象外の矯正歯科装置のため医薬品副作用被害救済制度の対象外となる場合があります
- 自費診療(保険適用外)となります
当サイトの内容、テキスト、画像等の無断転載、複製、複写、盗用を固く禁じます。



























