症例詳細
Case detail
気になる八重歯 目立ちにくいハーフリンガルでの抜歯矯正
治療症例の内容
- 診療科目
- 治療カテゴリ
- 担当医
- 藤巻太一朗(ドクタープロフィール)
- 患者様
- 20代女性
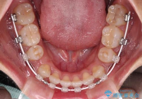
- 矯正装置
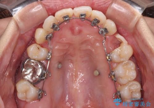
- ハーフリンガル
- 治療期間
- 2年5ヶ月
- 治療回数
- 10-30回
- 治療計画
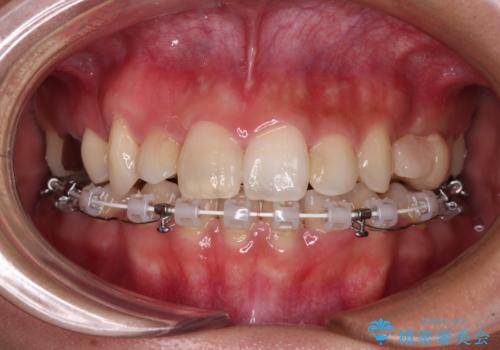
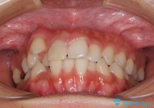
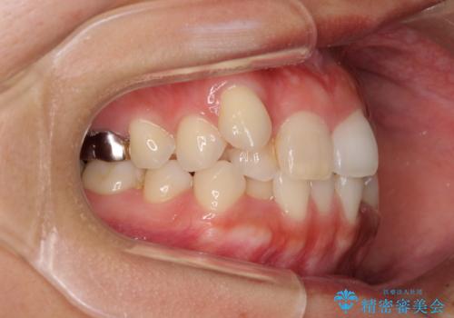
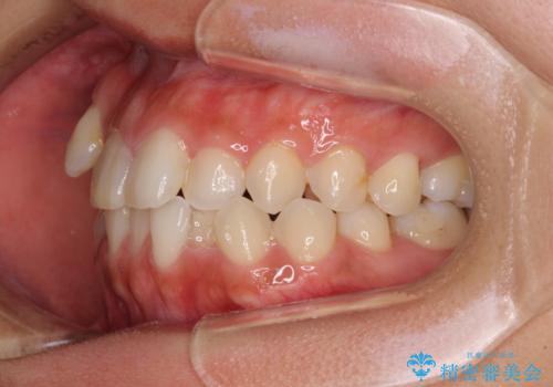
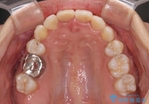
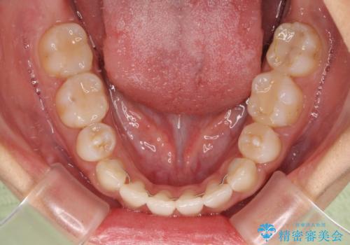
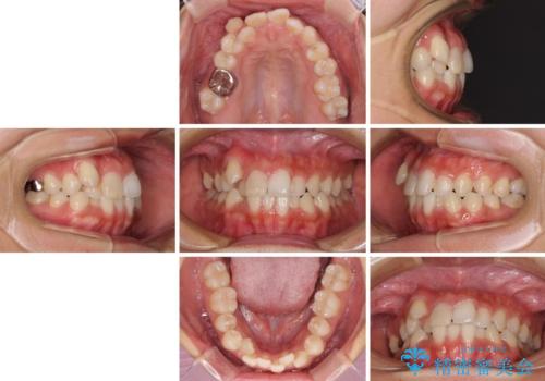
- 八重歯や前歯のデコボコを気にして来院された患者様です。
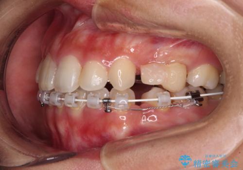
目立たない装置を希望されたので、上顎が裏側装置のハーフリンガルを選択し、上下左右の小臼歯(計4歯)を抜歯して矯正治療を行うこととしました。
補助装置を併用することで、八重歯を速やかに改善し、治療期間の短縮を図ることとしました。
- 費用(概算)
- 治療費の目安: 140万円(税込)費用は治療当時の料金となります
治療について
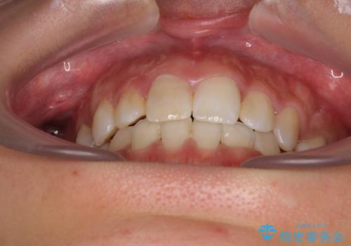
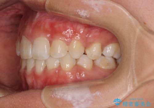
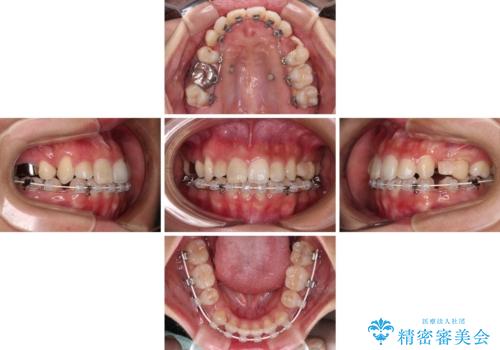
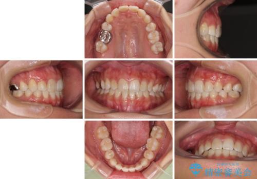
裏側装置での矯正治療は、上顎前歯の正中のズレをまっすぐに改善することが難しいのですが、きれいに整えることができました。
補助装置を用いて抜歯したスペースを速やかに閉じたことで、短期間での治療となりました。
ワイヤー矯正の注意事項(リスク・副作用など)
- 治療中は違和感や痛みが起こることがあります
- 症状により、抜歯が必要な場合があります
- 治療中は歯磨きがしにくくなるため、虫歯や歯周病になりやすくなります
- 矯正治療後の保定が不十分だと後戻り(元の位置に戻ろうとする動き)をします
- 自費診療(保険適用外)となります
当サイトの内容、テキスト、画像等の無断転載、複製、複写、盗用を固く禁じます。

























