症例詳細
Case detail
抜歯矯正で唇を閉じやすく 目立たないワイヤー装置
治療症例の内容
- 診療科目
- 担当医
- 藤巻太一朗(ドクタープロフィール)
- 患者様
- 20代女性
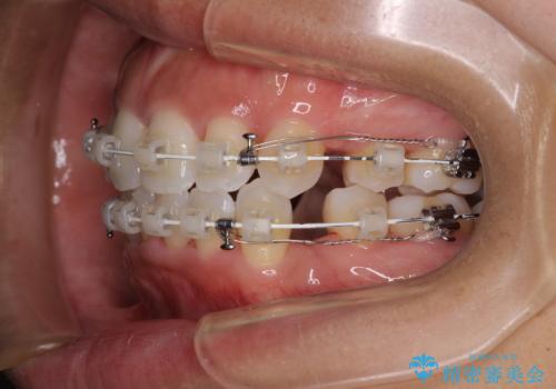
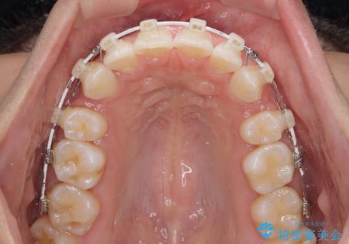
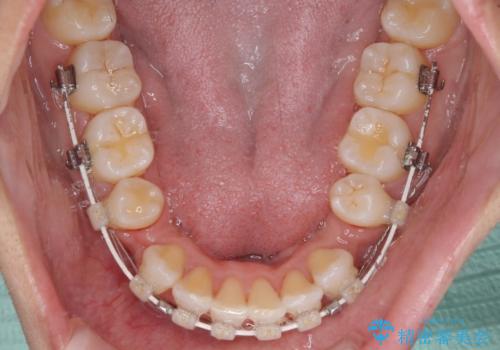
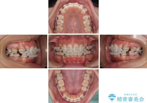
- 矯正装置
- 審美装置
- 治療期間
- 2年3ヶ月
- 治療回数
- 10-30回
- 治療計画
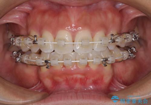
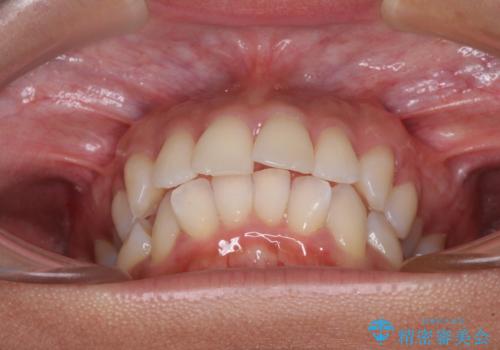
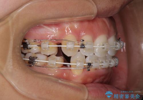
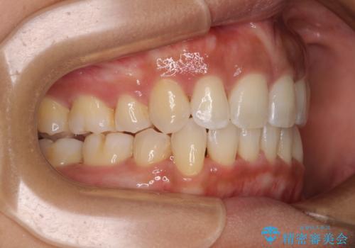
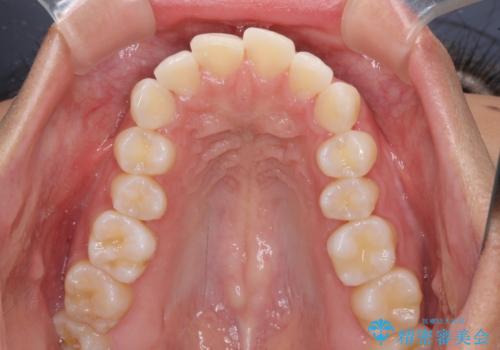
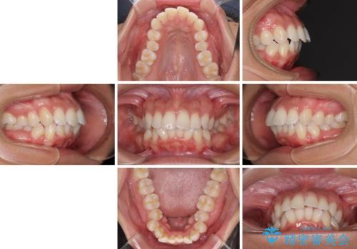
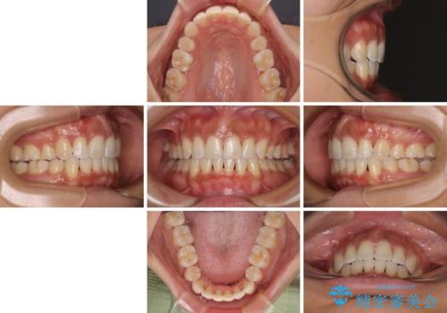
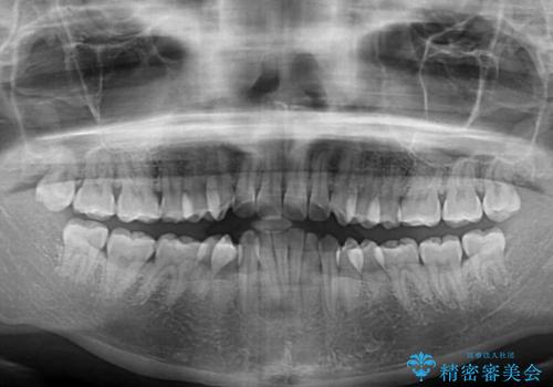
- 下唇が突き出るような口元の突出感が気になるとのことで来院された患者様です。
上下顎ともに前突した歯列であったので、上下ともに左右の第1小臼歯4本を抜歯し、ワイヤー装置にて矯正治療を行うこととしました。
- 費用(概算)
- 治療費の目安: 105万円(税込)費用は治療当時の料金となります
治療について
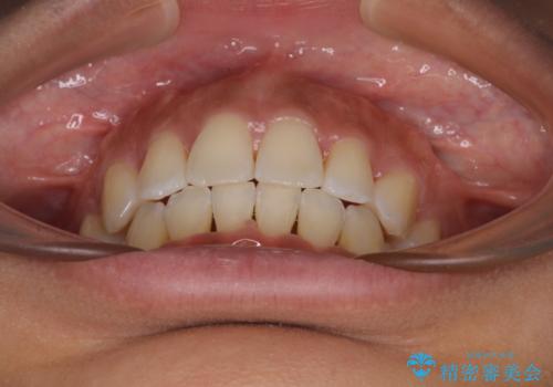
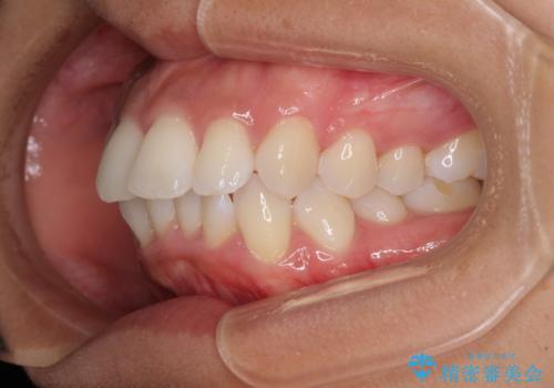
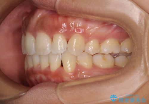
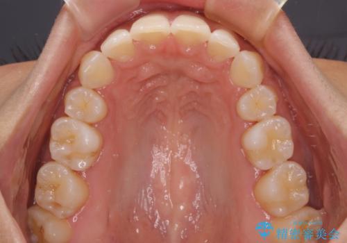
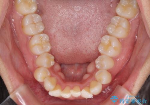
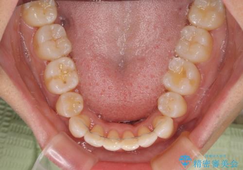
抜歯スペースに前歯を移動させることで歯の突出感が改善され、非常に唇が閉じやすい仕上がりとなりました。
ワイヤー矯正の注意事項(リスク・副作用など)
- 治療中は違和感や痛みが起こることがあります
- 症状により、抜歯が必要な場合があります
- 治療中は歯磨きがしにくくなるため、虫歯や歯周病になりやすくなります
- 矯正治療後の保定が不十分だと後戻り(元の位置に戻ろうとする動き)をします
- 自費診療(保険適用外)となります
当サイトの内容、テキスト、画像等の無断転載、複製、複写、盗用を固く禁じます。


























