症例詳細
Case detail
しみる奥歯 オールセラミッククラウンによる補綴治療
治療症例の内容
- 診療科目
- 治療カテゴリ
- 担当医
- 藤巻太一朗(ドクタープロフィール)
- 患者様
- 50代女性
- 治療期間
- 1ヶ月
- 治療回数
- 2-5回
- 治療計画
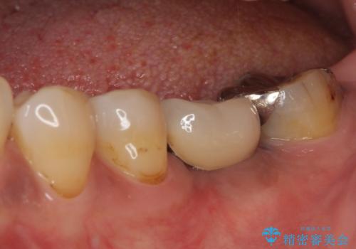
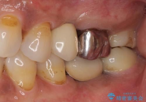
- 銀歯の装着されている奥歯がしみるとのことで来院された患者様です。
銀歯周辺の歯が欠けており、むし歯も進行している状態であったので、オールセラミッククラウンにて補綴治療を行うこととしました。
- 費用(概算)
- 治療費の目安: 9万円(税込)費用は治療当時の料金となります
治療について
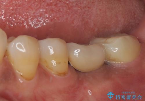
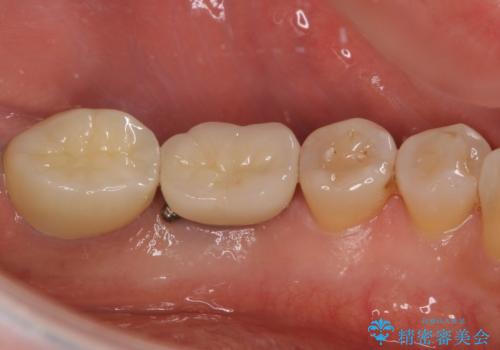
仮歯に変えた時点でしみる症状はなくなり、オールセラミッククラウンはまるで自分自身の歯のような舌触りとなり、大変満足していただきました。
セラミック治療の注意事項(リスク・副作用など)
- 天然歯を削ります
- 硬い素材は天然歯を傷つけてしまう場合があります
- かみ合わせや歯ぎしりが強すぎる方はセラミックが割れてしまう可能性があります
- 自費診療(保険適用外治療)となります
当サイトの内容、テキスト、画像等の無断転載、複製、複写、盗用を固く禁じます。










