症例詳細
Case detail
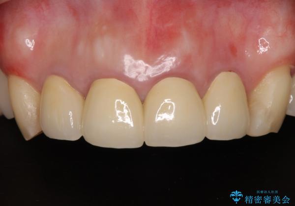
仮歯のまま放置した前歯 オールセラミッククラウンで自然な前歯に
治療症例の内容
- 診療科目
- 治療カテゴリ
- 担当医
- 藤巻太一朗(ドクタープロフィール)
- 患者様
- 50代女性
- 治療期間
- 2ヶ月
- 治療回数
- 2-5回
- 治療計画
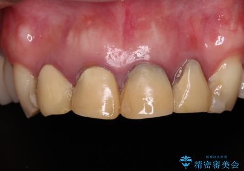
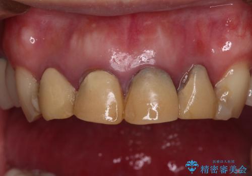
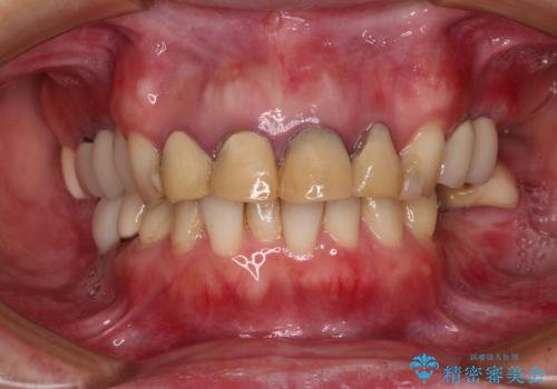
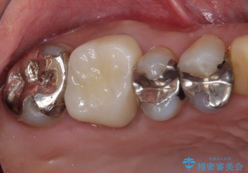
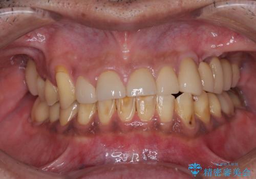
- 仮歯装着後に放置してしまい、恥ずかしいとのことで来院された患者様です。
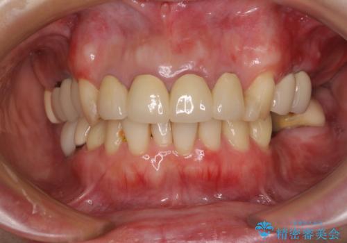
仮歯が不適合で歯肉が腫脹していたため、しっかりと調整した新しい仮歯にして腫れを改善した上で、オールセラミッククラウンにて補綴することとしました。
- 費用(概算)
- 治療費の目安: 50万円(税込)費用は治療当時の料金となります
治療について
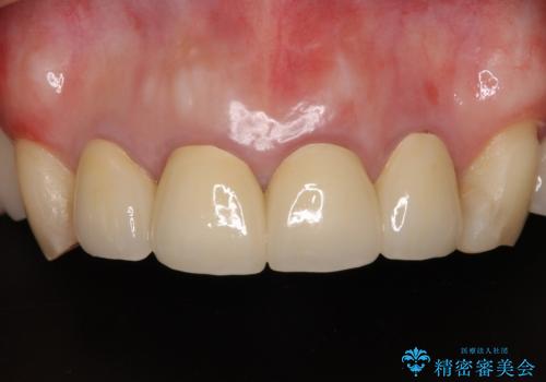
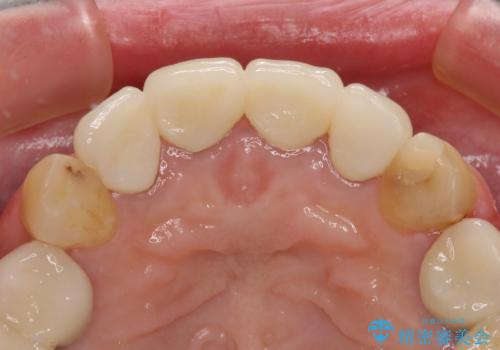
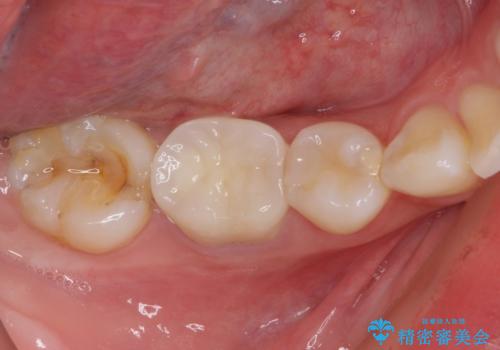
日頃の歯磨きをしっかりと行ってくださるので、新しい仮歯に変えてから速やかに歯肉の状態が改善されました。
歯肉からの出血がほとんどないため精度の良い型取りができ、非常に適合の良い補綴治療を行うことができました。
セラミック治療の注意事項(リスク・副作用など)
- 天然歯を削ります
- 硬い素材は天然歯を傷つけてしまう場合があります
- かみ合わせや歯ぎしりが強すぎる方はセラミックが割れてしまう可能性があります
- 自費診療(保険適用外治療)となります
当サイトの内容、テキスト、画像等の無断転載、複製、複写、盗用を固く禁じます。












