症例詳細
Case detail
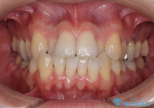
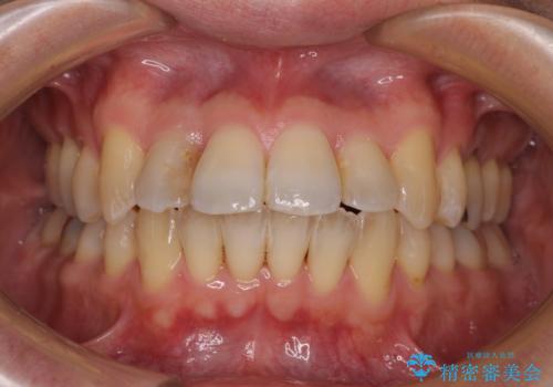
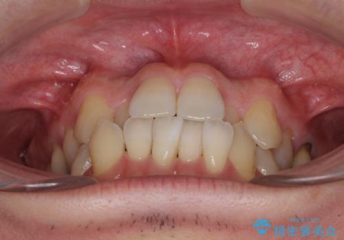
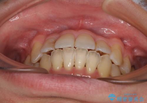
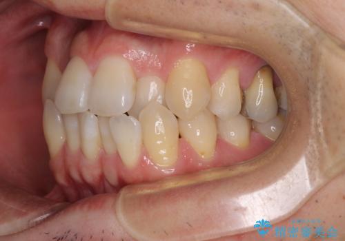
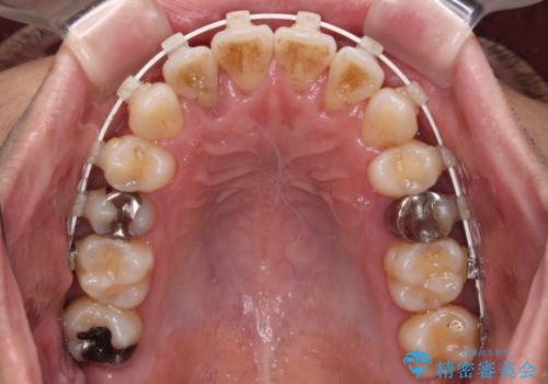
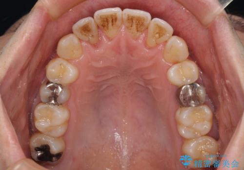
前歯のクロスバイト 目立たないワイヤー装置で矯正治療
治療症例の内容
- 診療科目
- 担当医
- 藤巻太一朗(ドクタープロフィール)
- 患者様
- 30代男性
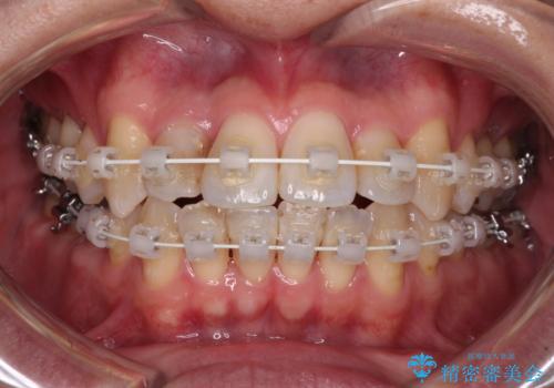
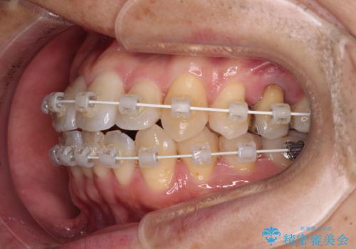
- 矯正装置
- 審美装置
- 治療期間
- 2年2ヶ月
- 治療回数
- 10-30回
- 治療計画
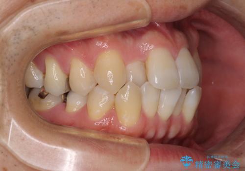
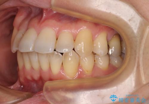
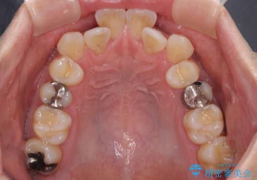
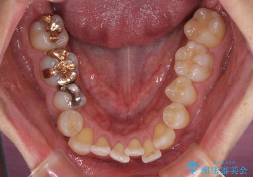
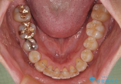
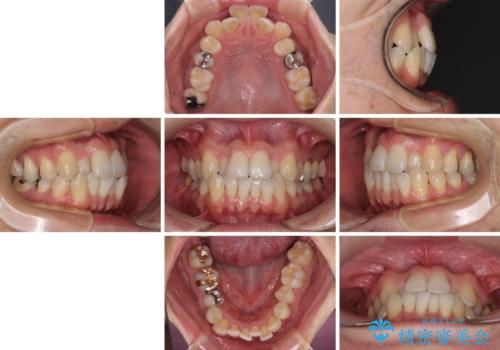
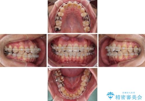
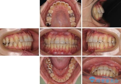
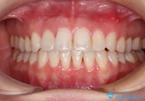
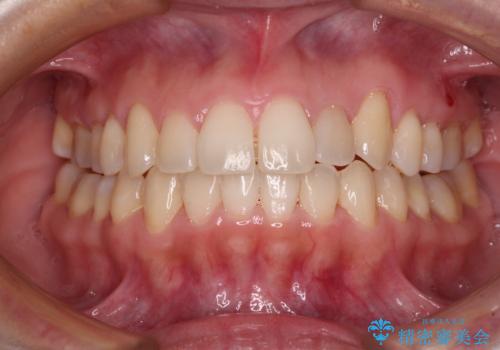
- 前歯のクロスバイトを改善したいとのことで来院された患者様です。
マウスピース矯正では前歯の神経への負担が大きいことを懸念され、ワイヤー装置による矯正治療を行うこととしました。
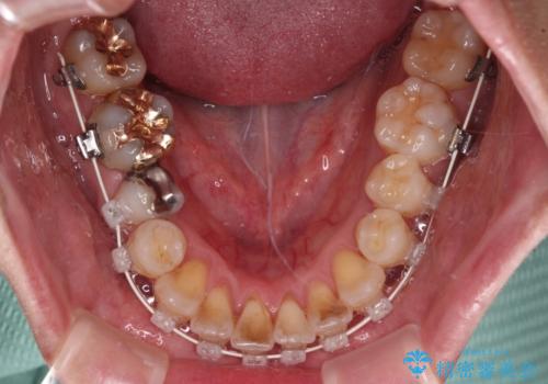
舌の突出癖が認められたため、デコボコ改善に伴い前歯が前突する可能性があったため、舌のトレーニングをしっかりと行うよう指導しながら治療を進めることとしました。
- 費用(概算)
- 治療費の目安: 95万円(税込)費用は治療当時の料金となります
治療について
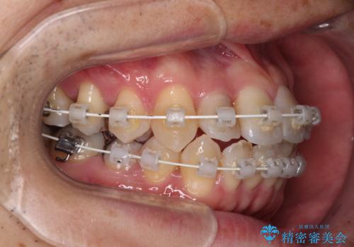
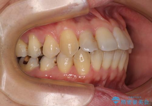
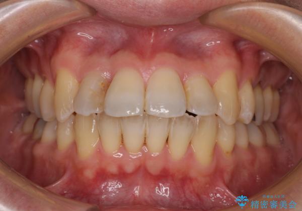
舌の突出癖の影響か、下顎前歯がなかなか整わず、治療期間は予定よりも長期間となりました。
舌突出癖改善のトレーニングの重要性を認識することとなりました。
ワイヤー矯正の注意事項(リスク・副作用など)
- 治療中は違和感や痛みが起こることがあります
- 症状により、抜歯が必要な場合があります
- 治療中は歯磨きがしにくくなるため、虫歯や歯周病になりやすくなります
- 矯正治療後の保定が不十分だと後戻り(元の位置に戻ろうとする動き)をします
- 自費診療(保険適用外)となります
当サイトの内容、テキスト、画像等の無断転載、複製、複写、盗用を固く禁じます。


























