症例詳細
Case detail
全顎的なクロスバイト 補助装置を用いてワイヤー矯正
治療症例の内容
- 診療科目
- 担当医
- 藤巻太一朗(ドクタープロフィール)
- 患者様
- 30代男性
- 矯正装置
- 審美装置
- 治療期間
- 2年1ヶ月
- 治療回数
- 10-30回
- 治療計画
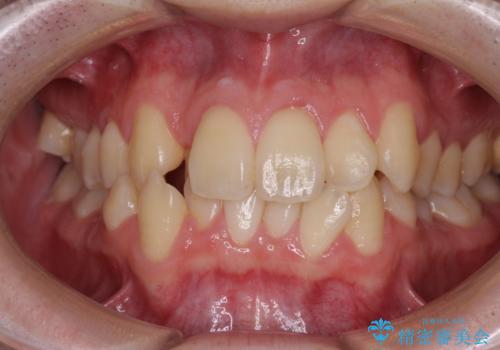
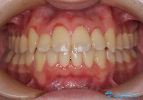
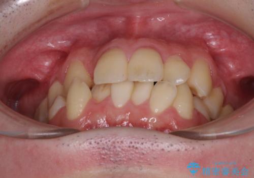
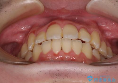
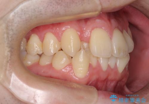
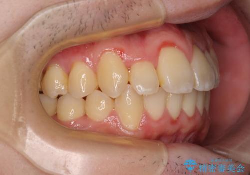
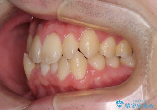
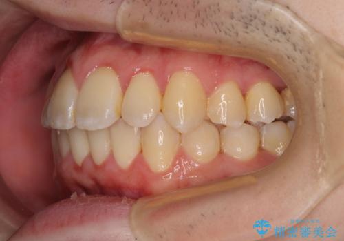
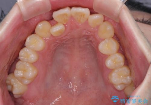
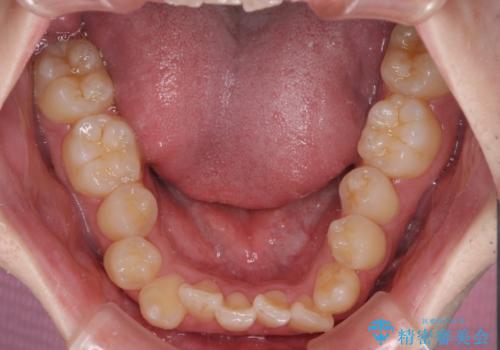
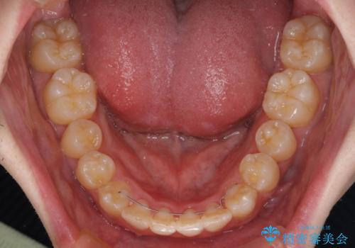
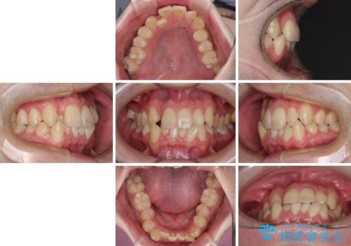
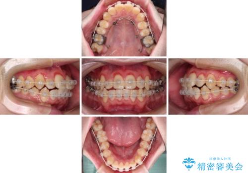
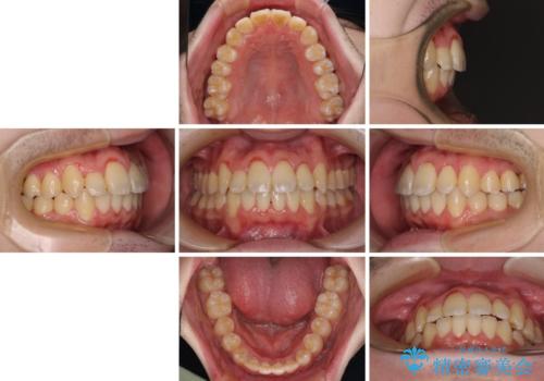
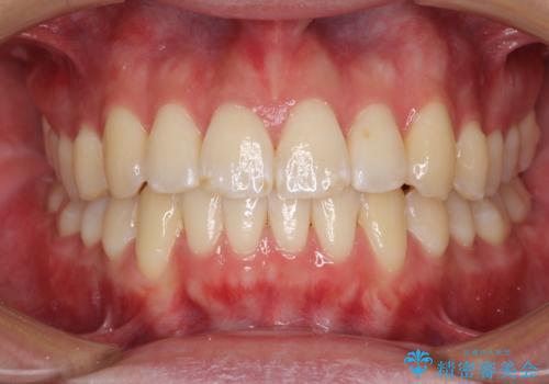
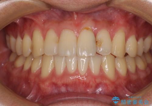
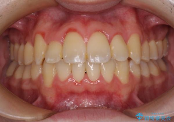
- 八重歯や奥歯の噛みにくさを気にして来院された患者様です。
前歯のクロスバイトや八重歯の他に、左右最後臼歯のシザーズバイト(鋏状咬合)が認められました。
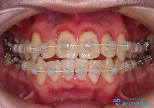
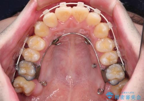
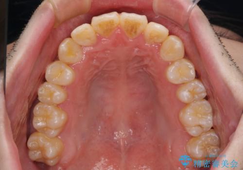
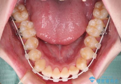
シザーズバイト改善のために補助装置を使用しながら、ワイヤー装置にて全体の歯列を整えることとしました。
- 費用(概算)
- 治療費の目安: 105万円(税込)費用は治療当時の料金となります
治療について
シザーズバイトは強く咬合する奥歯を移動させるため、多くの場合においてワイヤー矯正の装置のみでは改善が困難となります。
奥歯の咬み合わせ改善は治療初期からしっかりとアプローチする必要があるため、補助装置を積極的に利用します。
ワイヤー矯正の注意事項(リスク・副作用など)
- 治療中は違和感や痛みが起こることがあります
- 症状により、抜歯が必要な場合があります
- 治療中は歯磨きがしにくくなるため、虫歯や歯周病になりやすくなります
- 矯正治療後の保定が不十分だと後戻り(元の位置に戻ろうとする動き)をします
- 自費診療(保険適用外)となります
当サイトの内容、テキスト、画像等の無断転載、複製、複写、盗用を固く禁じます。


























