症例詳細
Case detail
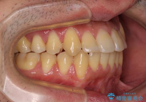
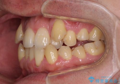
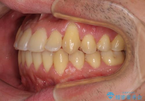
八重歯とクロスバイト 目立たないワイヤー装置で矯正治療
治療症例の内容
- 診療科目
- 治療カテゴリ
- 担当医
- 藤巻太一朗(ドクタープロフィール)
- 患者様
- 30代男性
- 矯正装置
- 審美装置
- 治療期間
- 2年
- 治療回数
- 10-30回
- 治療計画
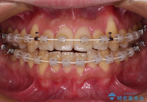
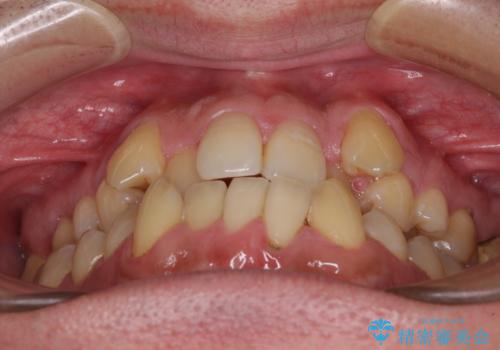
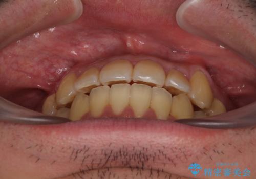
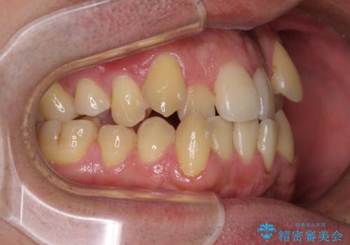
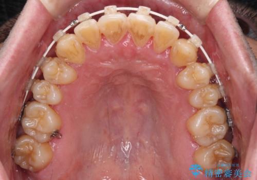
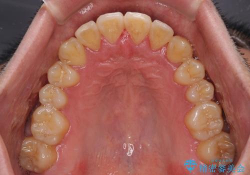
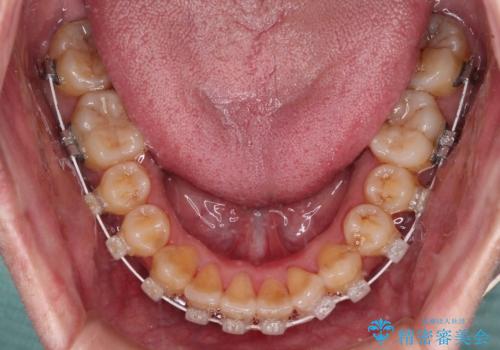
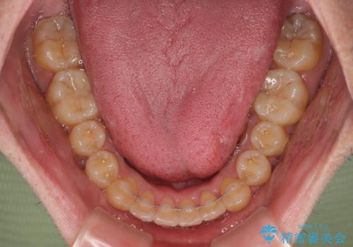
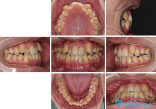
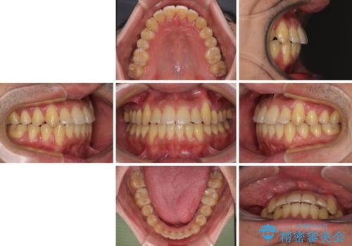
- 八重歯と前歯のクロスバイトを改善したいとのことで来院された患者様です。
マウスピース矯正での自己管理には自信がないとのことで、ワイヤー装置による矯正治療を行うこととしました。
デコボコの程度は強かったのですが、口元の突出感はなかったため、非抜歯矯正としました。
- 費用(概算)
- 治療費の目安: 100万円(税込)費用は治療当時の料金となります
治療について
クロスバイトは、治療の過程で咬み合わせが大きく変化する期間があり、食事が取りにくくなってしまいます。
また、装置が対合歯と咬み合ってしまい、頻繁に脱落するなど、色々と面倒なことがあり、治療がスムーズに進まないことがあります。
デコボコが解消されると歯列が拡大される方向に動くため、出っ歯のような仕上がりとなることがあります。舌の突出癖を改善するトレーニングをしっかりと行っていただくことで、突出を抑制することができます。
ワイヤー矯正の注意事項(リスク・副作用など)
- 治療中は違和感や痛みが起こることがあります
- 症状により、抜歯が必要な場合があります
- 治療中は歯磨きがしにくくなるため、虫歯や歯周病になりやすくなります
- 矯正治療後の保定が不十分だと後戻り(元の位置に戻ろうとする動き)をします
- 自費診療(保険適用外)となります
当サイトの内容、テキスト、画像等の無断転載、複製、複写、盗用を固く禁じます。


























