症例詳細
Case detail
先天欠損のある歯列 インビザライン矯正
治療症例の内容
- 診療科目
- 治療カテゴリ
- 担当医
- 藤巻太一朗(ドクタープロフィール)
- 患者様
- 20代女性
- 矯正装置
- インビザライン
- 治療期間
- 3年
- 治療回数
- 10-30回
- 治療計画
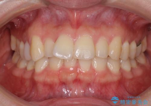
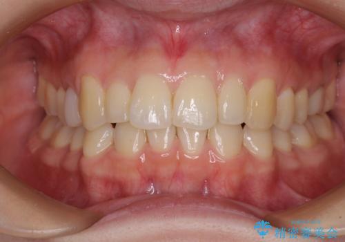
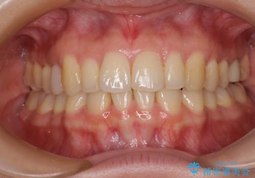
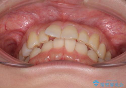
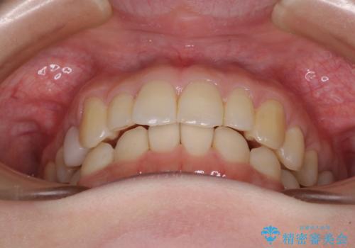
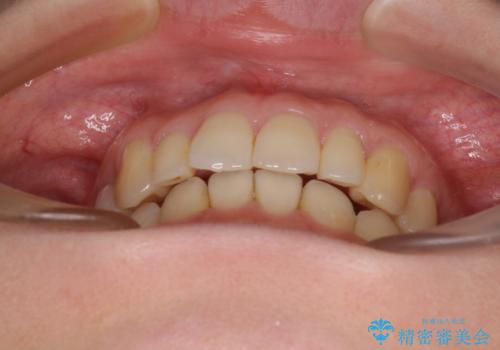
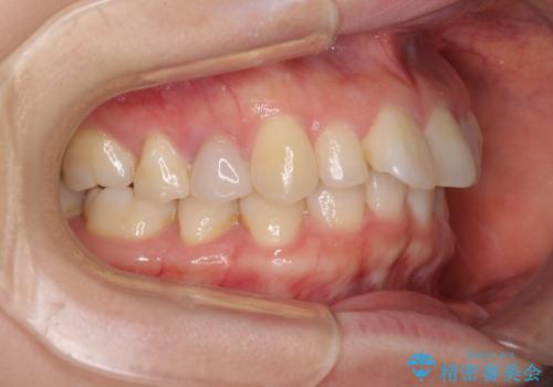
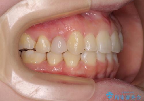
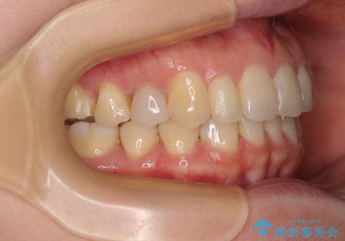
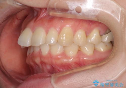
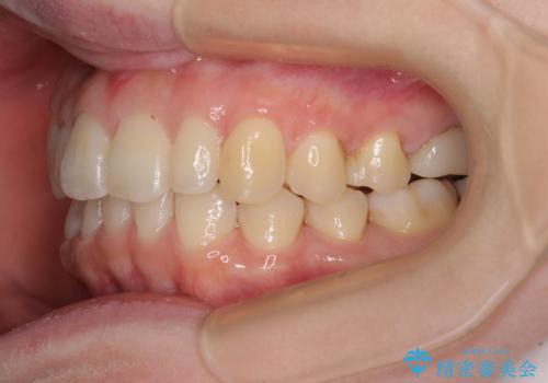
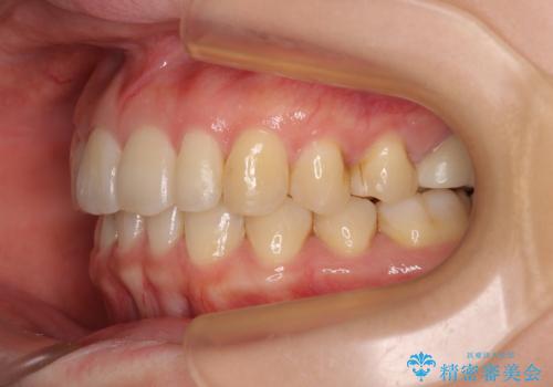
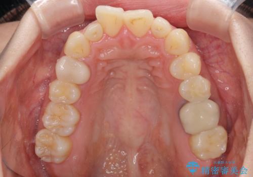
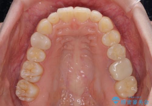
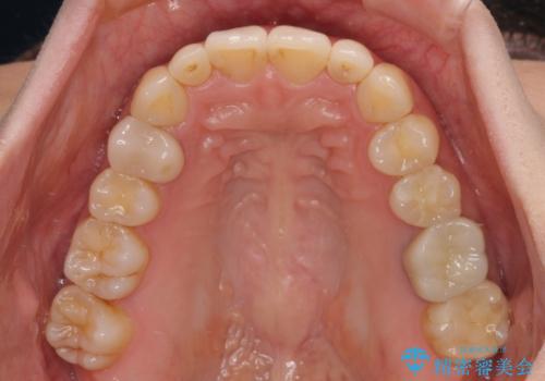
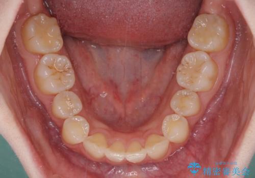
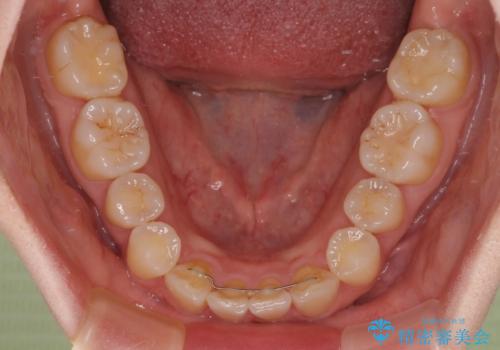
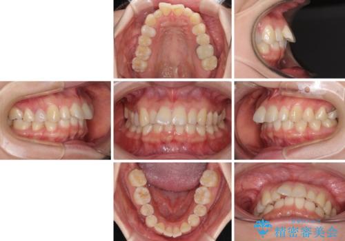
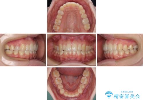
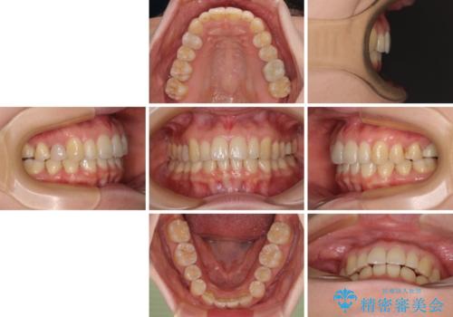
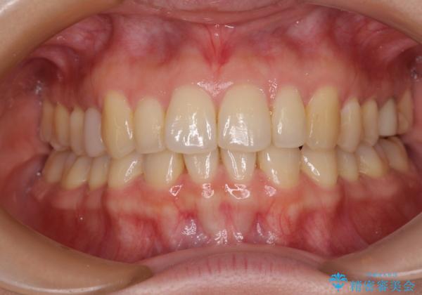
- 上顎前歯の突出感を気にして来院された患者様です。
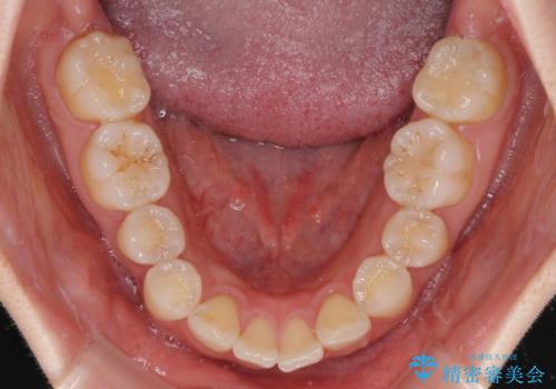
下顎前歯2本が先天欠損しており、上顎歯列に対して、下顎歯列がアンバランスに小さい状況でした。
左右上顎側切歯2本が矮小歯であるため、上顎の抜歯ではなく、IPR(歯と歯の間を削る)と歯列全体の後方移動によってバランスを整えることとしました。
目立ちにくい装置を希望されたため、インビザラインにて治療を行うこととしました。
- 費用(概算)
- 治療費の目安: 90万円(税込)費用は治療当時の料金となります
治療について
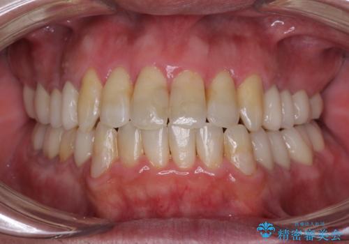
歯列のバランスが悪く、インビザライン矯正特有の奥歯の噛みにくさがなかなか改善されず、治療期間が長期化してしまいました。
マウスピース矯正の注意事項(リスク・副作用など)
- 口腔内・歯並びの状態によっては対応できない場合があります
- マウスピース型矯正装置の長時間装着(1日20時間以上)が必須です
- 治療計画通りに進めるためには、患者様の意志が重要になります
- 矯正治療後の保定が不十分だと後戻り(元の位置に戻ろうとする動き)をします
- 薬機法対象外の矯正歯科装置のため医薬品副作用被害救済制度の対象外となる場合があります
- 自費診療(保険適用外)となります
当サイトの内容、テキスト、画像等の無断転載、複製、複写、盗用を固く禁じます。



























