症例詳細
Case detail
前歯をきれいにしたい
治療症例の内容
- 診療科目
- 治療カテゴリ
- 担当医
- 大元洋佑(ドクタープロフィール)
- 患者様
- 50代女性
- 治療期間
- 1ヶ月
- 治療回数
- 2-5回
- 治療計画
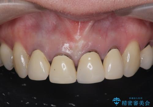
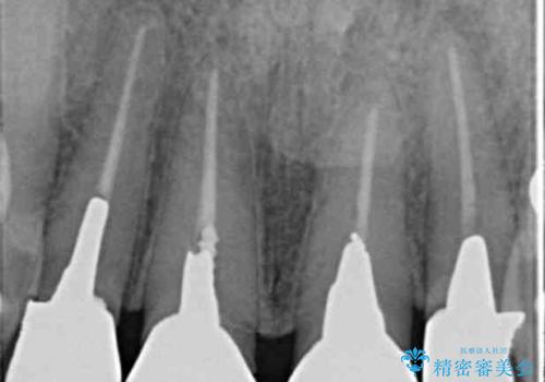
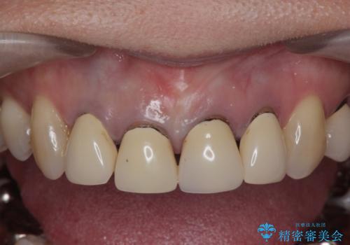
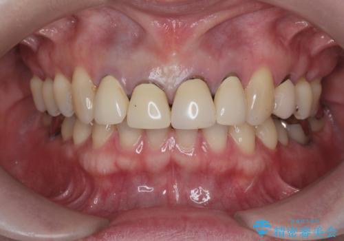
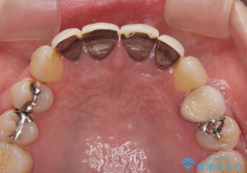
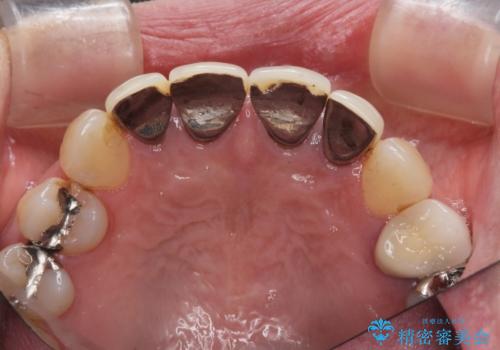
- 「黒ずみの前立つ前歯をやりかえ、きれいにしたい。」と希望され来院されました。
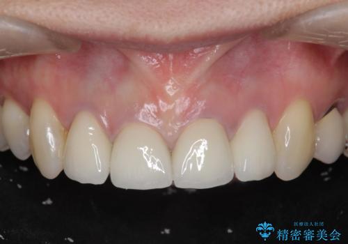
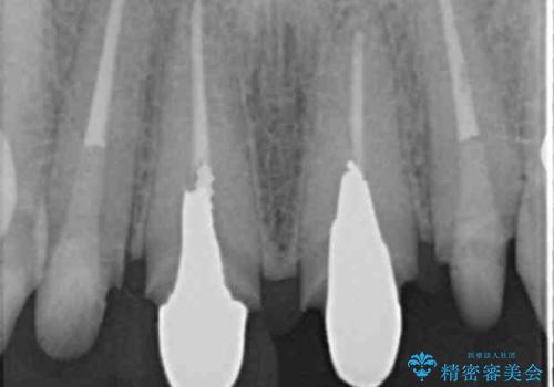
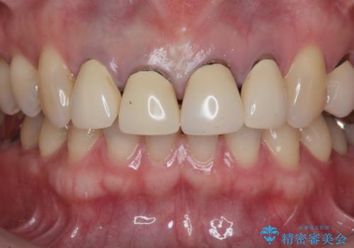
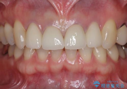
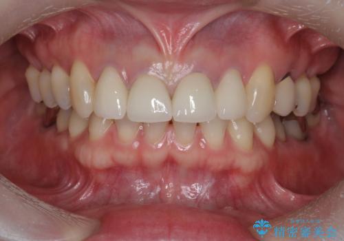
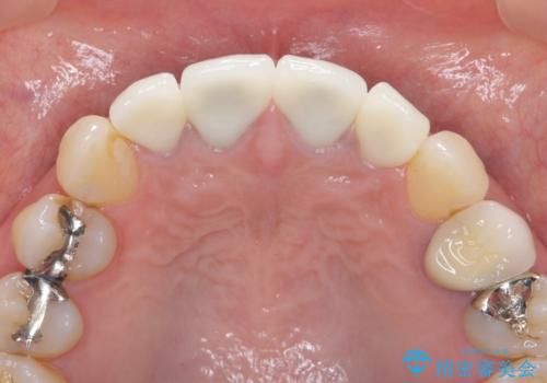
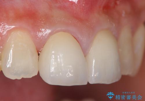
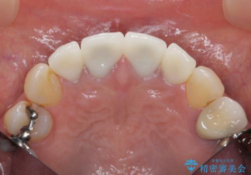
金属色の目立つ前装冠を除去し、発生していた小さな虫歯を丁寧に全て除去しジルコニアセラミッククラウンで審美的な前歯となるような治療を計画します。
- 費用(概算)
- 44万円(仮歯・ジルコニアクラウン×4)費用は治療当時の料金となります
治療について
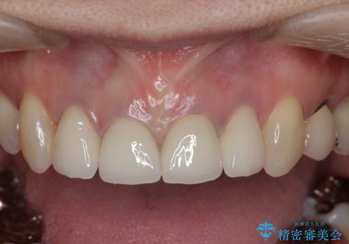
金属を用いないジルコニアセラミッククラウンは透明感の再現性に優れ、審美性と自然な仕上がりの両立を期待することができます。
セラミック治療の注意事項(リスク・副作用など)
- 天然歯を削ります
- 硬い素材は天然歯を傷つけてしまう場合があります
- かみ合わせや歯ぎしりが強すぎる方はセラミックが割れてしまう可能性があります
- 自費診療(保険適用外治療)となります
当サイトの内容、テキスト、画像等の無断転載、複製、複写、盗用を固く禁じます。
















