症例詳細
Case detail
転んで前歯を折った 歯を抜かない治療
治療症例の内容
- 診療科目
- 治療カテゴリ
- 担当医
- 岡田康成(ドクタープロフィール)
- 患者様
- 50代女性
- 治療期間
- 8ヶ月
- 治療回数
- 10-30回
- 治療計画
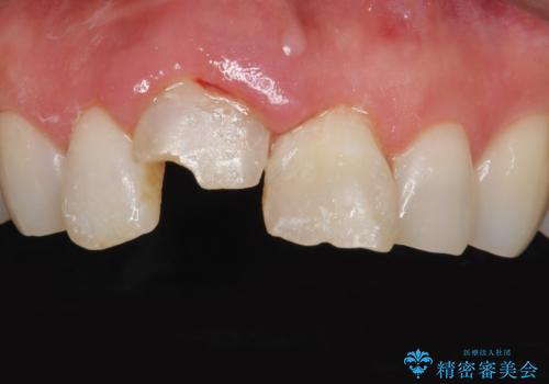
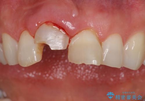
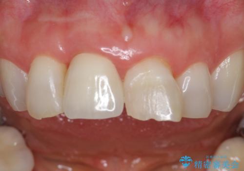
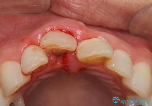
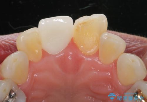
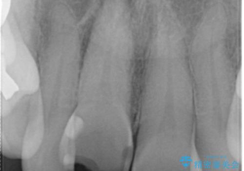
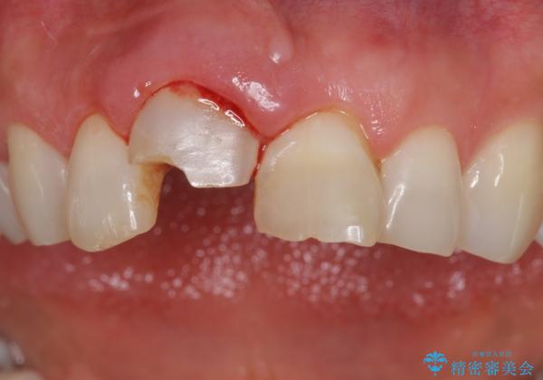
- 転んで前歯が折れたとのことで来院されました。
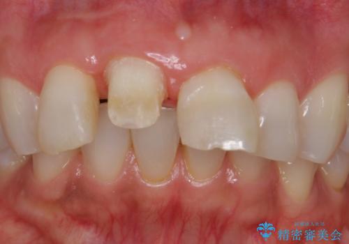
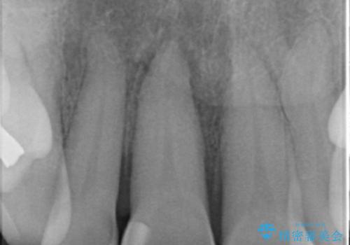
検査の結果、歯は大きく折れておらず、骨の中に埋め込まれていた状態であったため、部分矯正で歯を引っ張り出していきます。
- 費用(概算)
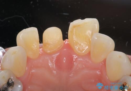
- 右上1/部分矯正:110,000円 根管治療:保険 仮歯:11,000円 ジルコニアクラウン(スペシャル):143,000円費用は治療当時の料金となります
治療について
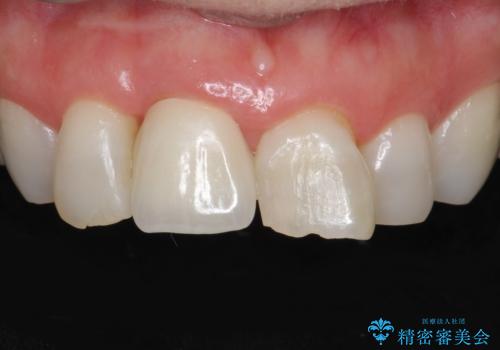
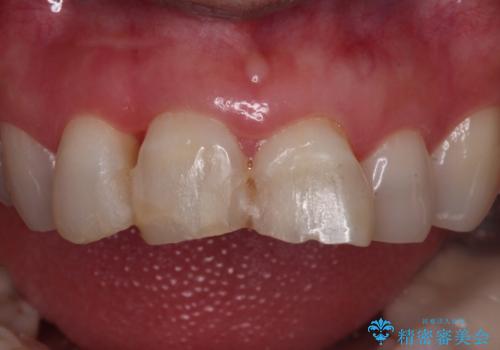
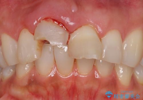
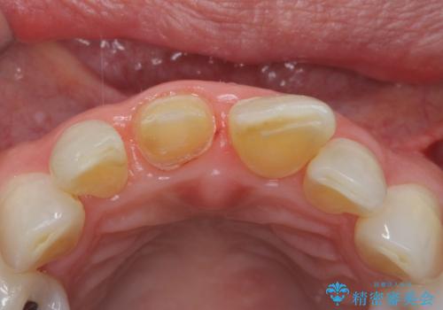
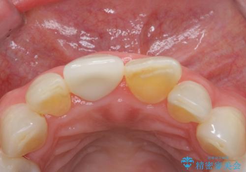
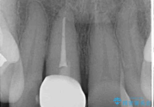
ぶつけて埋まってしまった歯は、場合によって矯正治療で引っ張り出すことで保存することができます。
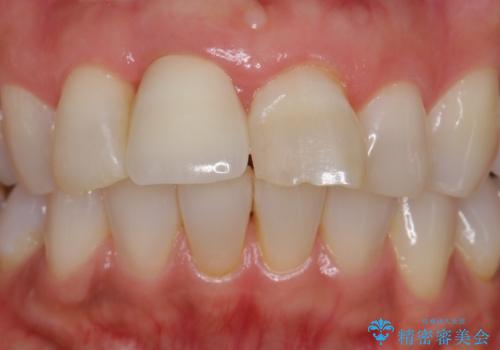
今回は歯の神経が死んでしまっていたため、根管治療後に被せ物を装着して見た目の綺麗さを回復しました。
セラミック治療の注意事項(リスク・副作用など)
- 天然歯を削ります
- 硬い素材は天然歯を傷つけてしまう場合があります
- かみ合わせや歯ぎしりが強すぎる方はセラミックが割れてしまう可能性があります
- 自費診療(保険適用外治療)となります
ワイヤー矯正の注意事項(リスク・副作用など)
- 治療中は違和感や痛みが起こることがあります
- 症状により、抜歯が必要な場合があります
- 治療中は歯磨きがしにくくなるため、虫歯や歯周病になりやすくなります
- 矯正治療後の保定が不十分だと後戻り(元の位置に戻ろうとする動き)をします
- 自費診療(保険適用外)となります
当サイトの内容、テキスト、画像等の無断転載、複製、複写、盗用を固く禁じます。



















