症例詳細
Case detail
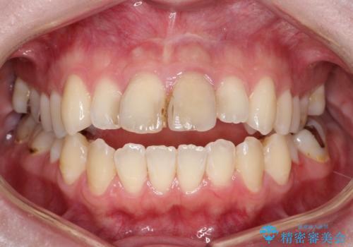
前歯の色が気になる【オールセラミッククラウン】
- 患者様
- 20代女性
- 治療期間
- 3ヶ月
- 治療回数
- 2-5回
- 治療計画
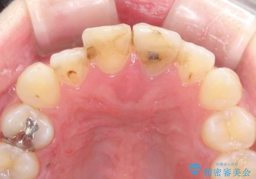
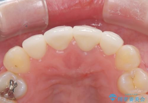
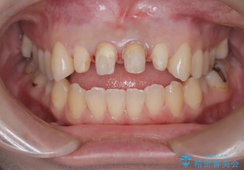
- 「前歯の色が気になる」を主訴に来院された患者様です。前歯が咬んでない開咬という状態のため、矯正治療を勧めましたが、患者様がご希望されなかったためオールセラミッククラウンで治療を行いました。右上1番は、神経の検査の結果、神経が死んでいたため根管療から行いました。左上1番は、金属の土台が入っていたのとラバーダムシートを使用せず根管治療が行われていたため、再度根管治療から行いました。その後ファイバーコアをたてオールセラミッククラウンで治療を行いました。
- 費用(概算)
- 66万円(仮歯1万1千円×4 ファイバーコア2万2千円×2 オールセラミッククラウン スペシャル14万3千円×4)費用は治療当時の料金となります
治療について
※右上1番の神経が死んでいた理由は定かではありませんが、保険治療で使用される材料では劣化により歯と材料の隙間が著しくなります。そこから細菌が侵入し神経が死んでしまう事があります。
※根管治療では根管内に細菌を入れない事がとても大切なので必ずラバーダムシートとマイクロスコープを使用して根管治療を行っています。
※今後ホワイトニングを行う予定なので患者様の希望により少し被せ物を白くしています。
根管治療の注意事項(リスク・副作用など)
- 根管治療により類似の全ての症例の問題が解決するわけではなく、症例はあくまでも一例です
- 根管治療により痛みや腫れがひかない事や、術後に痛みや腫れが生じる事、治療によるファイル破折やパーフォレーションなどの偶発症、術後の歯根破折を生じる可能性もあります
- 自費診療(保険適用外)となります
セラミック治療の注意事項(リスク・副作用など)
- 天然歯を削ります
- 硬い素材は天然歯を傷つけてしまう場合があります
- かみ合わせや歯ぎしりが強すぎる方はセラミックが割れてしまう可能性があります
- 自費診療(保険適用外治療)となります
保険治療の注意事項(リスク・副作用など)
- 保険医が保険医療機関において健康保険法、医師法、医療法等の各種関係法令の規定を遵守し、『療養担当規則』の規定を遵守し、医学的に妥当適切な診療を行い、診療報酬点数表に定められたとおりに請求を行っています
- 使用する材料・素材や治療方法に制約があります
- 健康保険適用となります
当サイトの内容、テキスト、画像等の無断転載、複製、複写、盗用を固く禁じます。











