症例詳細
Case detail
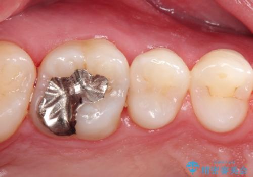
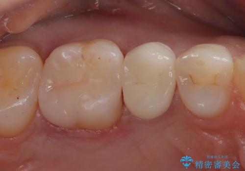
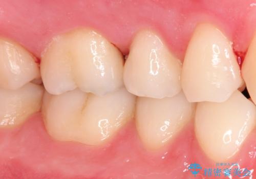
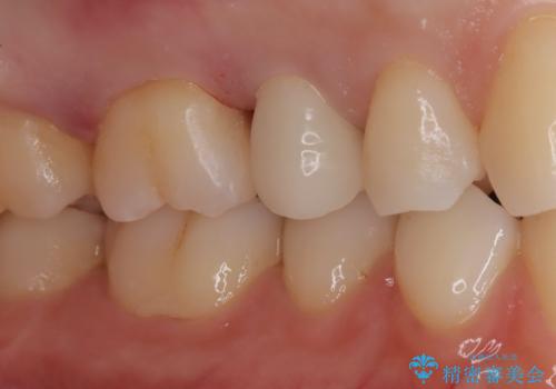
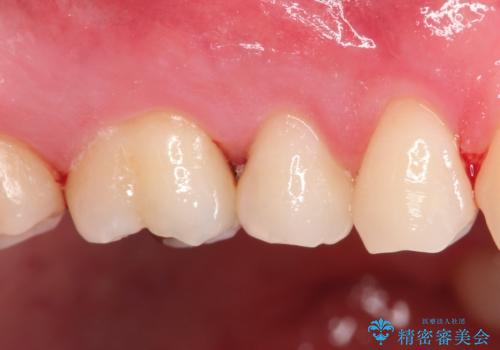
【セラミックインレー】定期検診にて虫歯を発見
治療症例の内容
- 診療科目
- 担当医
- 河口智英(ドクタープロフィール)
- 患者様
- 30代男性
- 治療期間
- 1ヶ月
- 治療回数
- 2-5回
- 治療計画
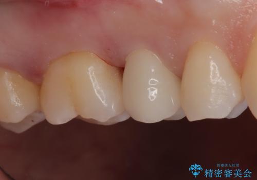
- 定期検診にて虫歯を発見したため、セラミッククラウン、セラミックインレーにて治療を行いました。
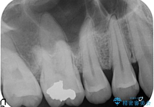
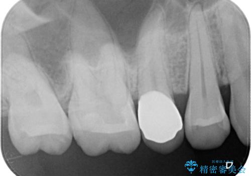
小臼歯の虫歯は歯髄に近かったため、部分的断髄法にて歯髄を部分的に保存した治療をおこなっています。
- 費用(概算)
- 22万円費用は治療当時の料金となります
治療について
部分的断髄法を行う際は
・自発痛の既往
・冷温刺激に対する長引く疼痛
・打診
にて診断をおこない、治療が可能かどうかを判断します。
セラミック治療の注意事項(リスク・副作用など)
- 天然歯を削ります
- 硬い素材は天然歯を傷つけてしまう場合があります
- かみ合わせや歯ぎしりが強すぎる方はセラミックが割れてしまう可能性があります
- 自費診療(保険適用外治療)となります
当サイトの内容、テキスト、画像等の無断転載、複製、複写、盗用を固く禁じます。












