症例詳細
Case detail
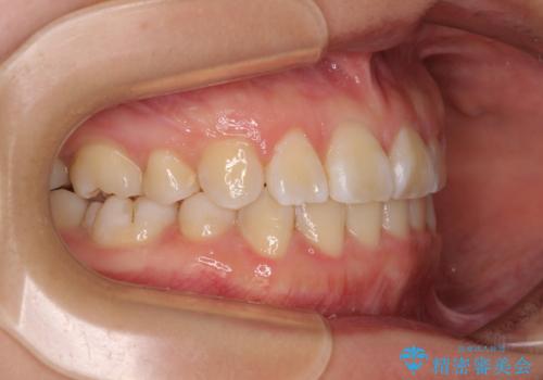
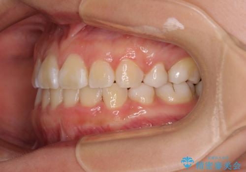
重度叢生と埋もれた奥歯 8本を抜歯したワイヤー矯正
治療症例の内容
- 診療科目
- 担当医
- 藤巻太一朗(ドクタープロフィール)
- 患者様
- 20代女性
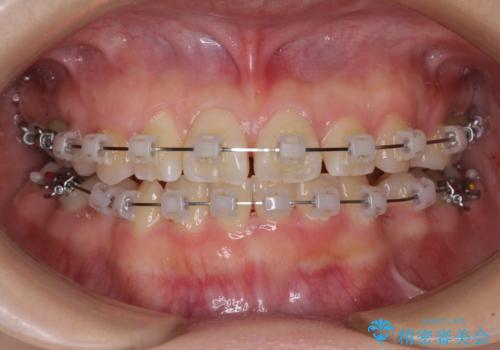
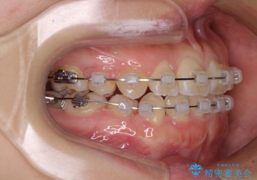
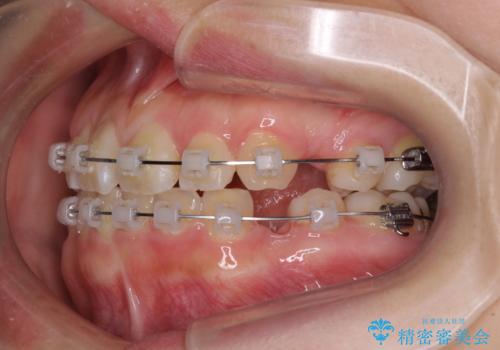
- 矯正装置
- クリアブラケット
- 治療期間
- 2年3ヶ月
- 治療回数
- 10-30回
- 治療計画
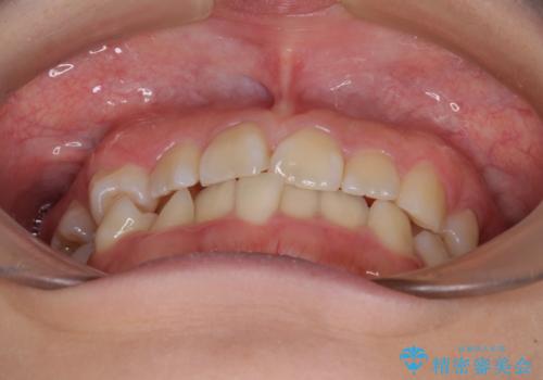
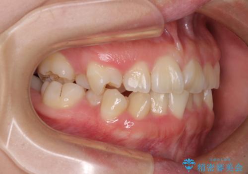
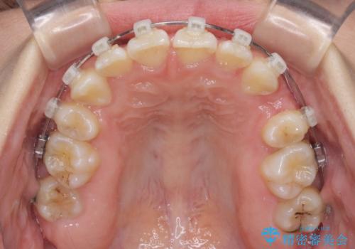
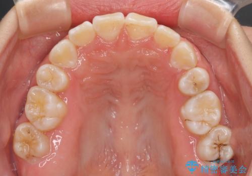
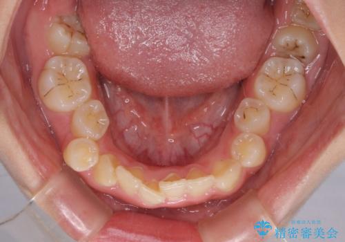
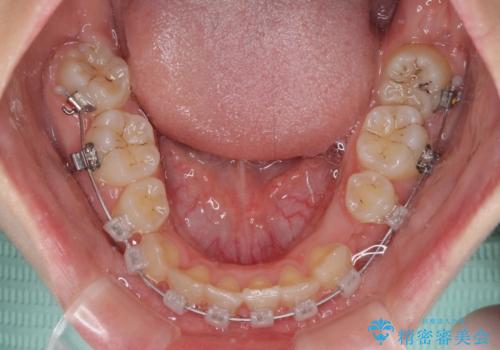
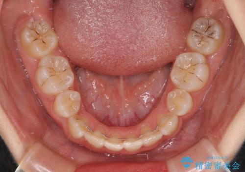
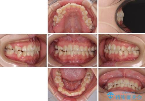
- 内側に生えている歯や埋もれた奥歯を気にして来院された患者様です。
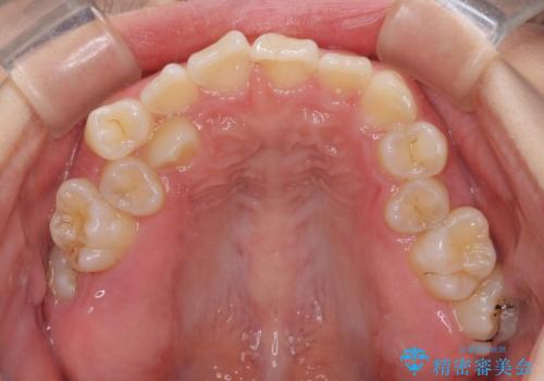
顎の骨が小さいため、歯列が収まりきらずに叢生や未萌出となっている状態でした。
埋もれた奥歯を萌出させ、さらにデコボコを解消するために、上下左右の第1小臼歯4本に加え、親知らず4本も抜歯し、ワイヤー装置にて矯正治療を行うこととしました。
- 費用(概算)
- 治療費の目安: 95万円(税込)費用は治療当時の料金となります
治療について
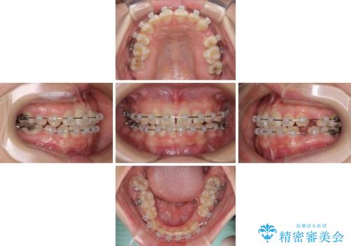
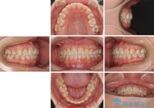
親知らずの抜歯により埋もれた奥歯周辺の歯肉が切除され、矯正装置が装着できるようになりました。
奥歯の移動、特に下顎大臼歯の移動は時間がかかることが多く、3年以上の治療期間を想定していましたが、想像以上に動きがよく、2年強で終えることができました。
ワイヤー矯正の注意事項(リスク・副作用など)
- 治療中は違和感や痛みが起こることがあります
- 症状により、抜歯が必要な場合があります
- 治療中は歯磨きがしにくくなるため、虫歯や歯周病になりやすくなります
- 矯正治療後の保定が不十分だと後戻り(元の位置に戻ろうとする動き)をします
- 自費診療(保険適用外)となります
当サイトの内容、テキスト、画像等の無断転載、複製、複写、盗用を固く禁じます。


























