症例詳細
Case detail
深い咬み合わせと前歯のデコボコ インビザラインによる矯正治療
治療症例の内容
- 担当医
- 藤巻太一朗(ドクタープロフィール)
- 患者様
- 30代女性
- 矯正装置
- インビザライン
- 治療期間
- 2年10ヶ月
- 治療回数
- 10-30回
- 治療計画
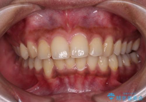
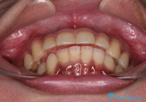
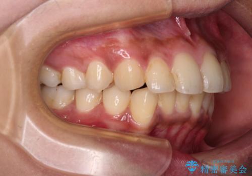
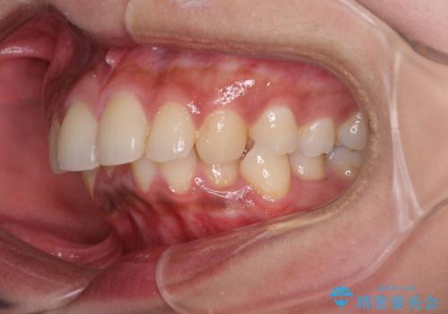
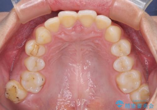
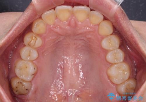
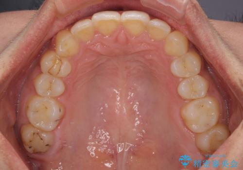
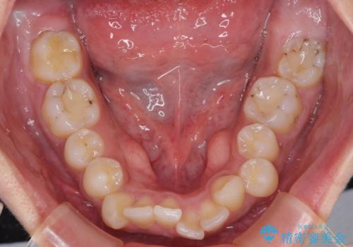
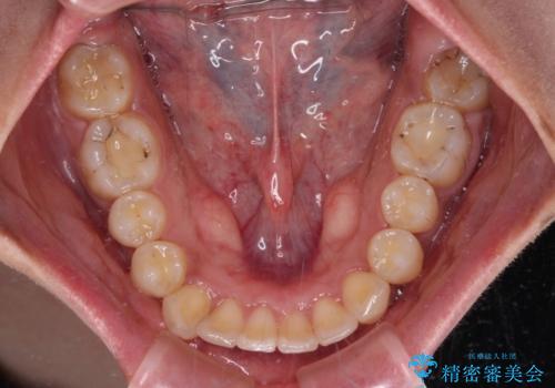
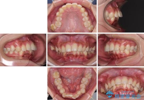
- 前歯のデコボコと、食いしばりやすい咬み合わせを気にして来院された患者様です。
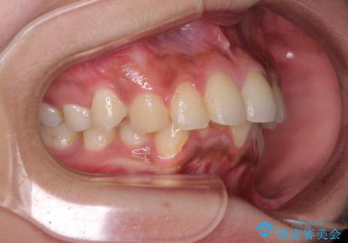
骨格的に下顎骨が左側に偏位しており、インビザラインでの矯正治療では奥歯の咬みにくさが残る仕上がりが懸念されましたが、新幹線での通院となるため、来院回数の少ないインビザラインでの治療を希望されました。
リスクをご説明した上で、インビザラインにより気になっている叢生と深い咬み合わせを改善していくこととしました。
- 費用(概算)
- 治療費の目安: 90万円(税込)費用は治療当時の料金となります
治療について
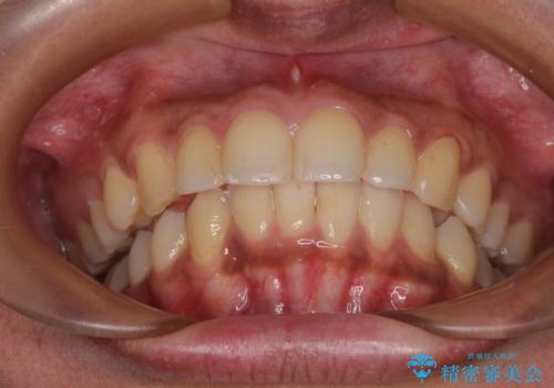
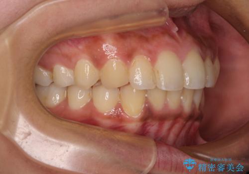
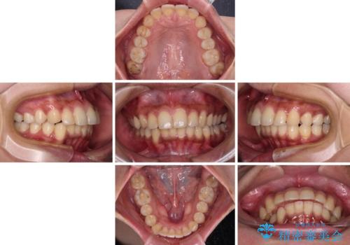
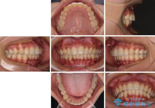
治療途中では、左右ともに奥歯が咬みにくい状態が続き、問題なく噛めるようになるまでに長期間を要しました。
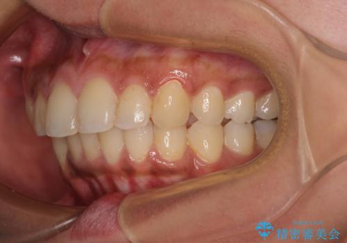
一方で、デコボコや下顎の前歯が隠れてしまうほどの深い咬み合わせはしっかりと改善されました。
マウスピース矯正の注意事項(リスク・副作用など)
- 口腔内・歯並びの状態によっては対応できない場合があります
- マウスピース型矯正装置の長時間装着(1日20時間以上)が必須です
- 治療計画通りに進めるためには、患者様の意志が重要になります
- 矯正治療後の保定が不十分だと後戻り(元の位置に戻ろうとする動き)をします
- 薬機法対象外の矯正歯科装置のため医薬品副作用被害救済制度の対象外となる場合があります
- 自費診療(保険適用外)となります
当サイトの内容、テキスト、画像等の無断転載、複製、複写、盗用を固く禁じます。



























