症例詳細
Case detail
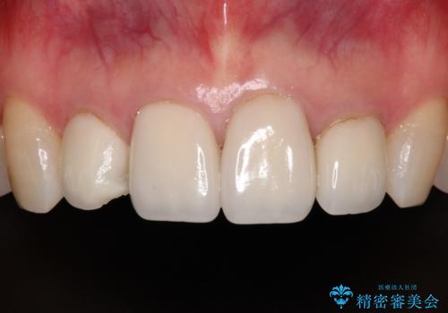
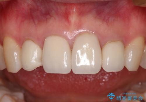
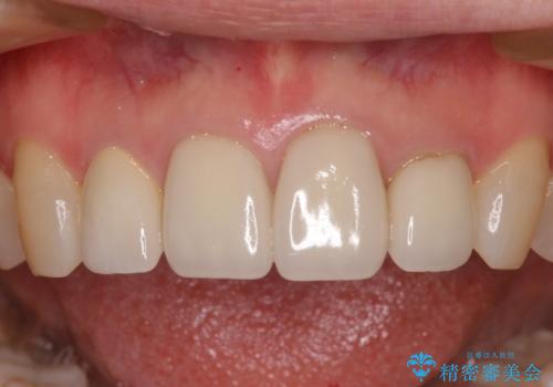
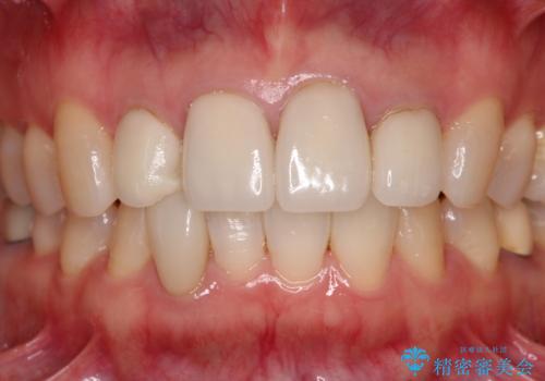
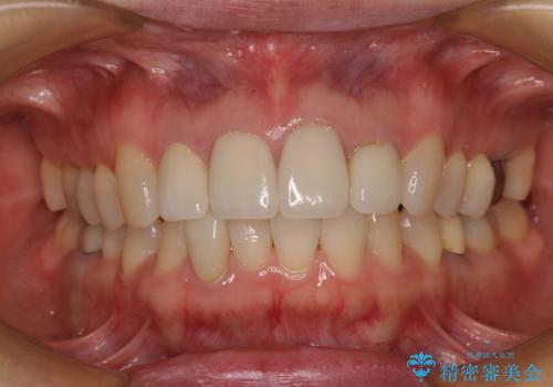
欠けてしまったセラミッククラウン 周囲のクラウンと同様の色彩で再製作
治療症例の内容
- 診療科目
- 治療カテゴリ
- 担当医
- 藤巻太一朗(ドクタープロフィール)
- 患者様
- 40代女性
- 治療期間
- 1ヶ月
- 治療回数
- 2-5回
- 治療計画
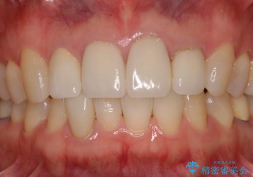
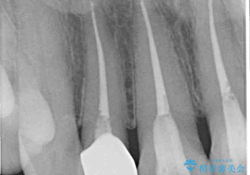
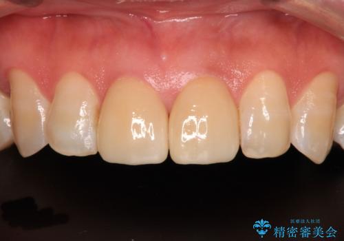
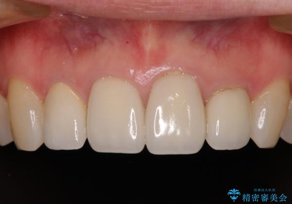
- 上顎4前歯に装着されているセラミッククラウンのうち、ひとつが欠けてしまったとのことで来院された患者様です。
土台となっている歯には問題がないため、周囲のセラミッククラウンと色調が合うように、オーダーメイドタイプのセラミッククラウンにて補綴治療を行うこととしました.
- 費用(概算)
- 治療費の目安: 15万円(税込)費用は治療当時の料金となります
治療について
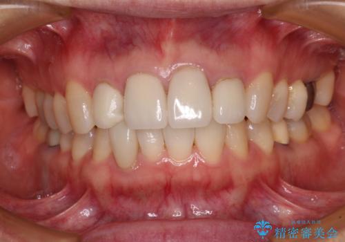
欠けてしまったセラミッククラウンはガラス系セラミッククラウンであったため、今回製作する歯は、強度の強いジルコニアセラミッククラウンとしました。
クラウンの種類は異なりますが、色調の適合したクラウンを装着することができました。
セラミック治療の注意事項(リスク・副作用など)
- 天然歯を削ります
- 硬い素材は天然歯を傷つけてしまう場合があります
- かみ合わせや歯ぎしりが強すぎる方はセラミックが割れてしまう可能性があります
- 自費診療(保険適用外治療)となります
当サイトの内容、テキスト、画像等の無断転載、複製、複写、盗用を固く禁じます。














