症例詳細
Case detail
銀歯が取れた セラミックでのやり替え
治療症例の内容
- 診療科目
- 治療カテゴリ
- 担当医
- 岡田康成(ドクタープロフィール)
- 患者様
- 40代女性
- 治療期間
- 1年1ヶ月
- 治療回数
- 2-5回
- 治療計画
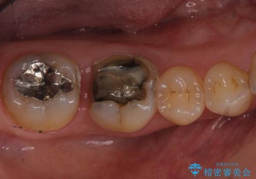
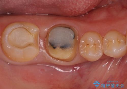
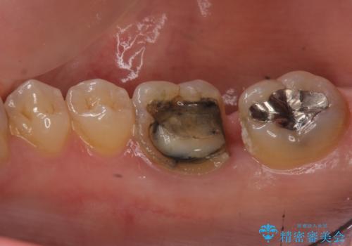
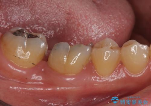
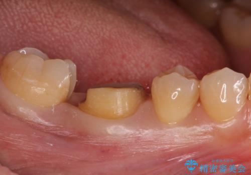
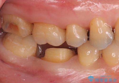
- 右下奥歯の詰め物が取れたとのことで来院されました。
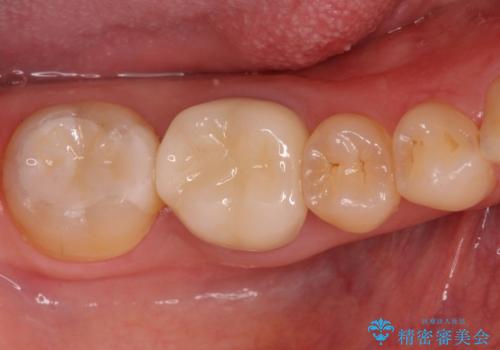
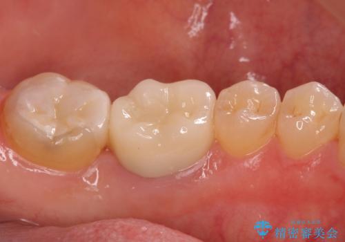
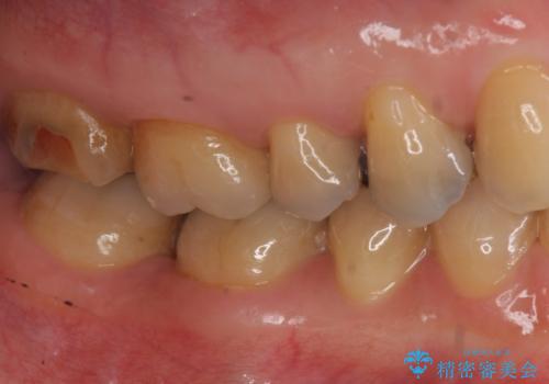
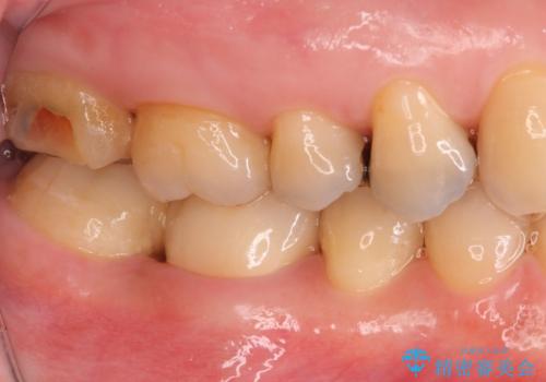
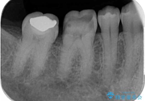
セラミックでの治療をご希望されましたが、残っている歯が少なかったためクラウンでの治療を行いました。
もう一つ奥の歯に関してもセラミックにやり替えたいとのことでしたので、こちらはインレーでの治療を行いました。
- 費用(概算)
- 右下6:仮歯+セラミッククラウン/11,000円+110,000円 右下7:セラミックインレー/77,000円費用は治療当時の料金となります
治療について
残る歯が薄かったり、十分な量を確保できない場合はクラウンで治療した方が今後の破折リスクを抑えることができます。
セラミック治療の注意事項(リスク・副作用など)
- 天然歯を削ります
- 硬い素材は天然歯を傷つけてしまう場合があります
- かみ合わせや歯ぎしりが強すぎる方はセラミックが割れてしまう可能性があります
- 自費診療(保険適用外治療)となります
当サイトの内容、テキスト、画像等の無断転載、複製、複写、盗用を固く禁じます。














