症例詳細
Case detail
銀歯の下に大きな虫歯の再発
治療症例の内容
- 診療科目
- 治療カテゴリ
- 担当医
- 大元洋佑(ドクタープロフィール)
- 患者様
- 20代男性
- 治療期間
- 1ヶ月
- 治療回数
- 2-5回
- 治療計画
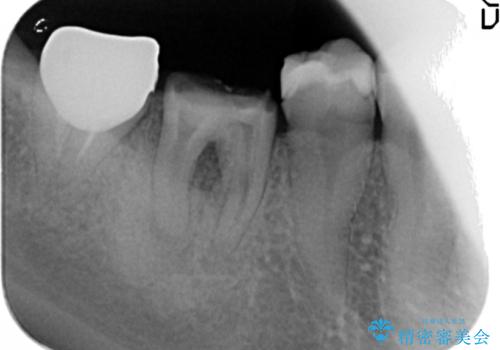
- 銀歯が脱離し、再装着を求めて来院されました。
脱離した歯を精査したところ、大きな虫歯の再発・穿孔箇所が複数認められ長期的な予後を見込むことが難しかったため抜去が妥当であると診断しました。
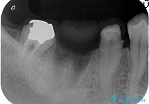
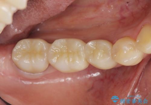
抜歯後は、奥の銀歯も一緒に白くできるブリッジ治療を希望されました。
(※今回のケースではインプラントも治療の選択肢として可能でした。)
- 費用(概算)
- 33万円(仮歯・ジルコニアクラウン×3)費用は治療当時の料金となります
治療について
ブリッジ治療で比較的早期に咬合機能を回復することができました。
セラミック治療の注意事項(リスク・副作用など)
- 天然歯を削ります
- 硬い素材は天然歯を傷つけてしまう場合があります
- かみ合わせや歯ぎしりが強すぎる方はセラミックが割れてしまう可能性があります
- 自費診療(保険適用外治療)となります
当サイトの内容、テキスト、画像等の無断転載、複製、複写、盗用を固く禁じます。









