症例詳細
Case detail
「 セラミック治療 」奥歯を白くしたい
治療症例の内容
- 診療科目
- 治療カテゴリ
- 担当医
- 大元洋佑(ドクタープロフィール)
- 患者様
- 30代男性
- 治療期間
- 1ヶ月
- 治療回数
- 2-5回
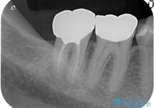
- 治療計画
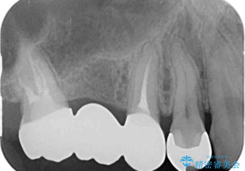
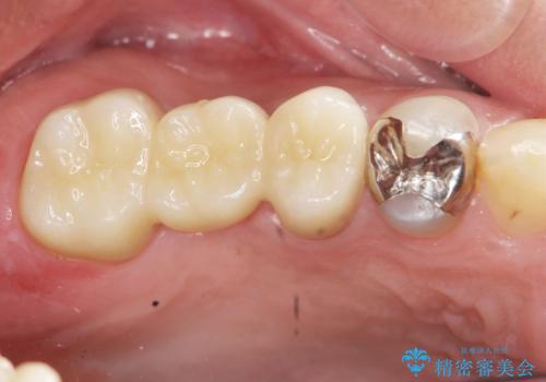
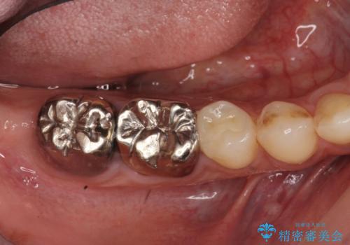
- 上顎臼歯部の欠損にブリッジ治療、目立つ下顎奥歯の銀歯をセラミックへの置き換えを希望され来院されました。
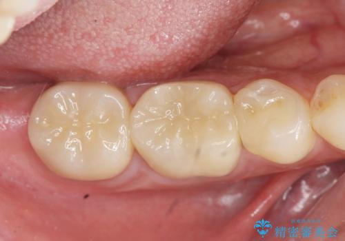
審美性と耐久性に優れるフルジルコニアクラウンでの治療を計画します。
- 費用(概算)
- 49.5万円 (フルジルコニアクラウン×5)費用は治療当時の料金となります
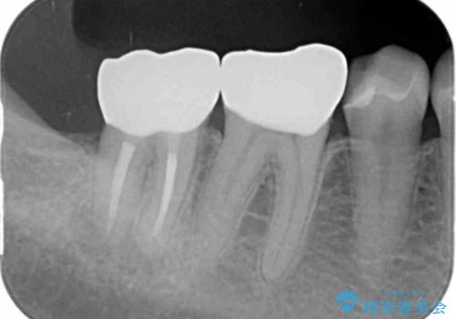
治療について
自然な仕上がりに、満足いただくことができました。
今後他の銀歯も外していく予定です。
セラミック治療の注意事項(リスク・副作用など)
- 天然歯を削ります
- 硬い素材は天然歯を傷つけてしまう場合があります
- かみ合わせや歯ぎしりが強すぎる方はセラミックが割れてしまう可能性があります
- 自費診療(保険適用外治療)となります
当サイトの内容、テキスト、画像等の無断転載、複製、複写、盗用を固く禁じます。










