症例詳細
Case detail
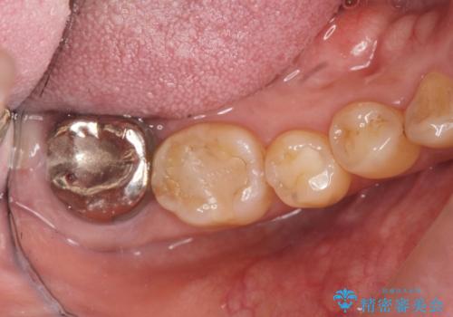
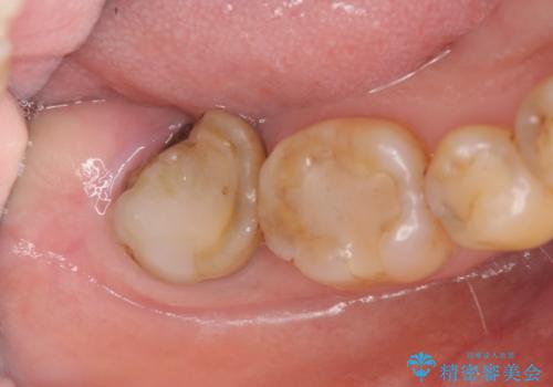
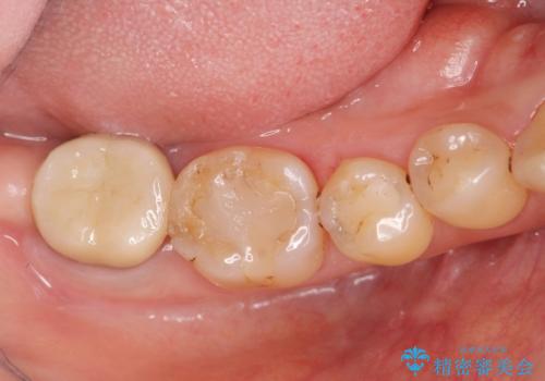
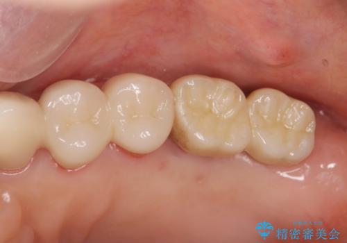
歯周病に対する全体治療
- 患者様
- 50代女性
- 治療期間
- 3年
- 治療回数
- 30回以上
- 治療計画
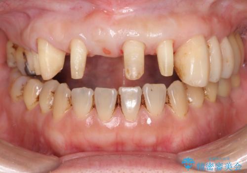
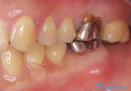
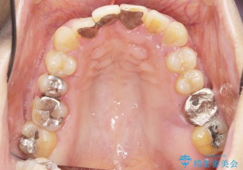
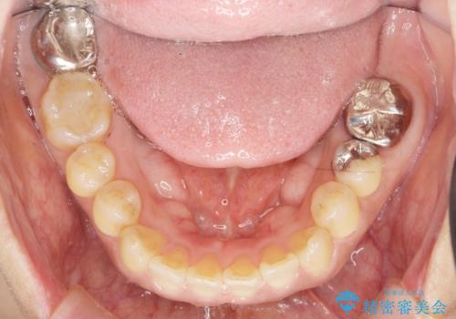
- 近医で「重度の歯周病です、入れ歯にする必要がある。」、と言われ入れ歯以外の方法がないか相談にみえられました。
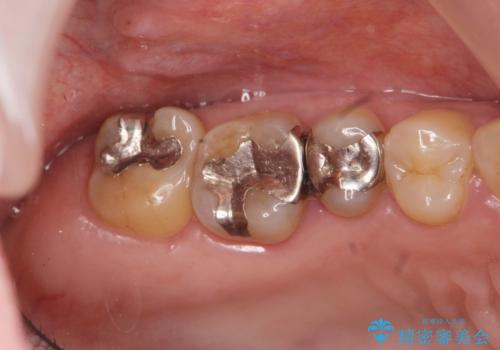
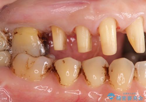
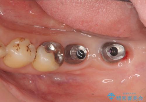
再生治療、歯周外科を行うことで歯周病治療を行い、残すことのできる歯の歯周環境を整える。
残すことのできない歯は抜去したのち骨造成を含めたインプラント治療を行い、しっかりとした咬合関係を確立していきます。
- 費用(概算)
- 約380万円費用は治療当時の料金となります
治療について
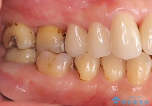
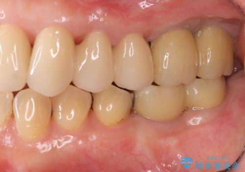
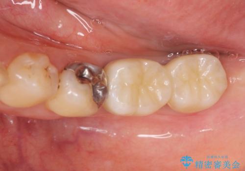
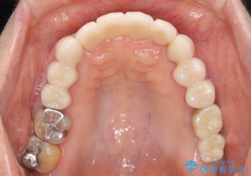
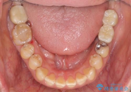
治療期間はかかりましたが、しっかりと歯周病治療・インプラント治療を行ったおかげで歯周病の状態は非常に良くなり、安定した咬合関係を確立することができました。
歯周病治療の注意事項(リスク・副作用など)
- 外科手術のため、術後に痛みや腫れ、違和感を伴います
- 歯周組織再生治療は患者様の状態によって術後の経過が異なります(見た目が改善しない場合もあります)
- 歯周組織再生治療は自費診療(保険適用外)となります
インプラント治療の注意事項(リスク・副作用など)
- 外科手術のため、術後に痛みや腫れ、違和感を伴います
- メンテナンスを怠ったり喫煙により、お口の中に大きな悪影響を及ぼすインプラント周囲炎等にかかる可能性があります
- 糖尿病、肝硬変、心臓病等の場合、インプラント治療ができない可能性があります
- 高血圧、貧血・不整脈等の場合、インプラント治療後に治癒不全を招く可能性があります
- 自費診療(保険適用外治療)となります
セラミック治療の注意事項(リスク・副作用など)
- 天然歯を削ります
- 硬い素材は天然歯を傷つけてしまう場合があります
- かみ合わせや歯ぎしりが強すぎる方はセラミックが割れてしまう可能性があります
- 自費診療(保険適用外治療)となります
当サイトの内容、テキスト、画像等の無断転載、複製、複写、盗用を固く禁じます。





























