症例詳細
Case detail
他院で治療した部分の気泡 セラミックインレーでの修復
治療症例の内容
- 診療科目
- 治療カテゴリ
- 担当医
- 岡田康成(ドクタープロフィール)
- 患者様
- 10代女性
- 治療期間
- 1ヶ月
- 治療回数
- 2-5回
- 治療計画
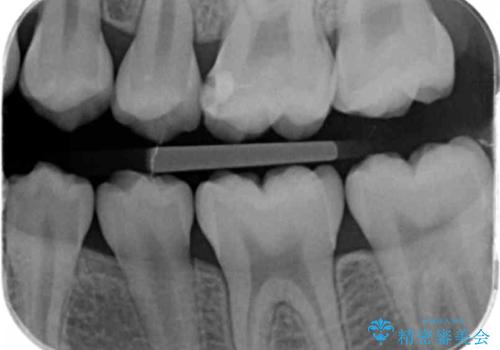
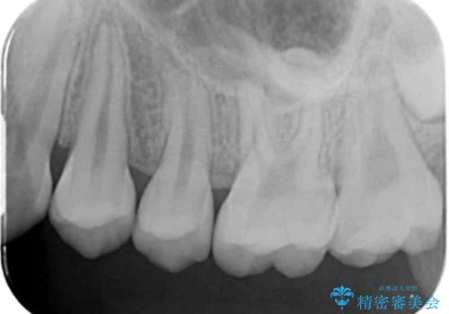
- 矯正治療前の虫歯治療です。
特に症状はありませんでしたが、レントゲン上で気泡が確認されたため再治療を行っていきます。
- 費用(概算)
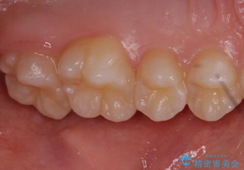
- 左上6 セラミックインレー 77,000円費用は治療当時の料金となります
治療について
気泡が入ってしまっている部位は歯ブラシでのお掃除が難しく、放置してしまうと虫歯が広がってしまうリスクもあるため精度の良い詰め物で修復処置を行います。
セラミック治療の注意事項(リスク・副作用など)
- 天然歯を削ります
- 硬い素材は天然歯を傷つけてしまう場合があります
- かみ合わせや歯ぎしりが強すぎる方はセラミックが割れてしまう可能性があります
- 自費診療(保険適用外治療)となります
当サイトの内容、テキスト、画像等の無断転載、複製、複写、盗用を固く禁じます。








