症例詳細
Case detail
大学病院から転院 非抜歯で口元を下げるワイヤー矯正
治療症例の内容
- 診療科目
- 治療カテゴリ
- 担当医
- 藤巻太一朗(ドクタープロフィール)
- 患者様
- 20代女性
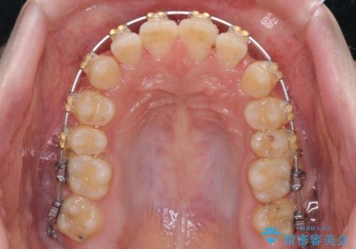
- 矯正装置
- 審美装置
- 治療期間
- 2年6ヶ月
- 治療回数
- 10-30回
- 治療計画
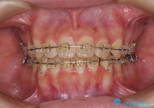
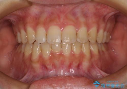
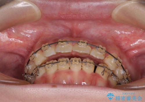
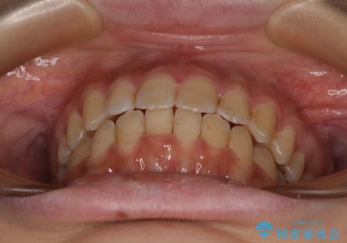
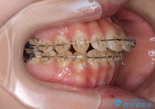
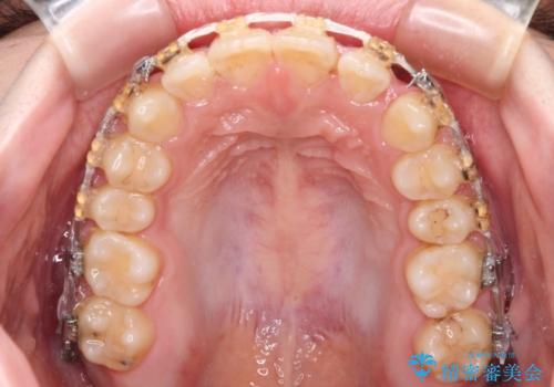
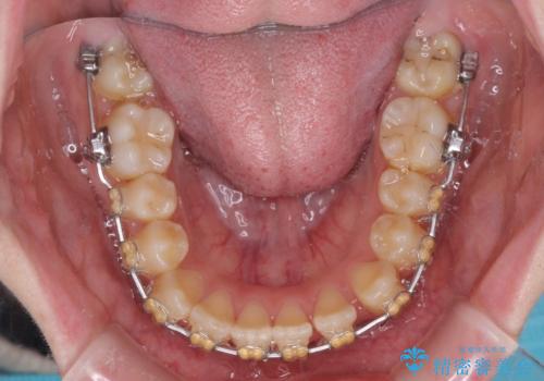
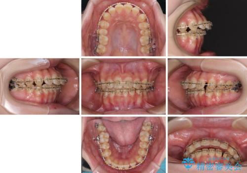
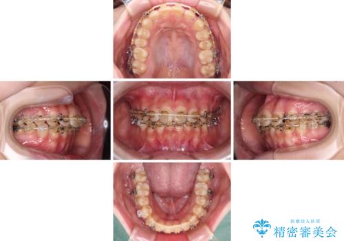
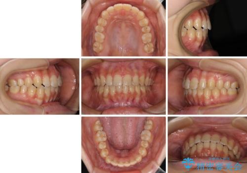
- 大学病院にて装置を装着したものの、治療が十分に受けることができないとのことで転院をされた患者様です。
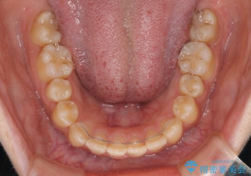
上顎歯列が前方にあり、口元が閉じにくくなっていたため、既に装着されている装置を使用して上顎歯列全体を後方に移動させていくこととしました。
舌の突出癖があり、それが原因で上下前歯に隙間ができていたため、改善のためのトレーニングを行うように指示をしました。
- 費用(概算)
- 治療費の目安: 85万円(税込)費用は治療当時の料金となります
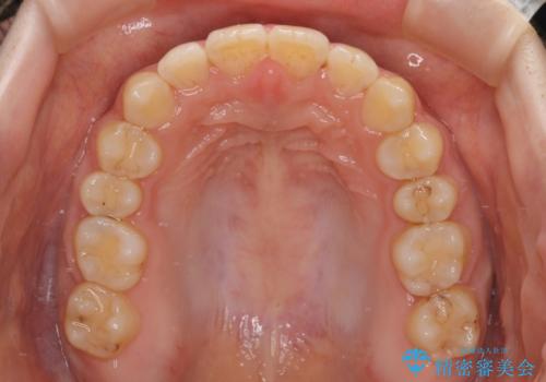
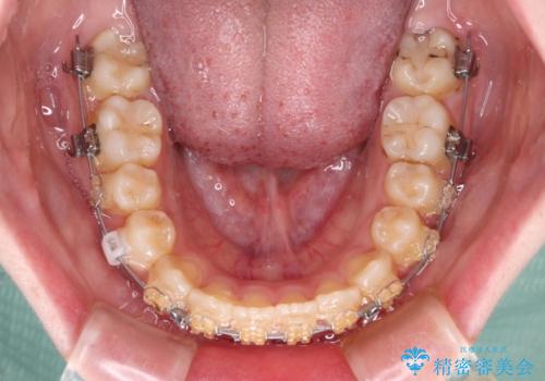
治療について
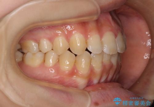
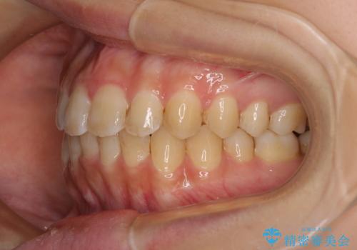
舌の突出癖の影響か、なかなかスペースが閉じきらず、治療期間は予定よりも長期間となりました。
舌突出癖改善のトレーニングの重要性を認識することとなりました。
ワイヤー矯正の注意事項(リスク・副作用など)
- 治療中は違和感や痛みが起こることがあります
- 症状により、抜歯が必要な場合があります
- 治療中は歯磨きがしにくくなるため、虫歯や歯周病になりやすくなります
- 矯正治療後の保定が不十分だと後戻り(元の位置に戻ろうとする動き)をします
- 自費診療(保険適用外)となります
当サイトの内容、テキスト、画像等の無断転載、複製、複写、盗用を固く禁じます。


























