症例詳細
Case detail
強い咬合力に対抗する歯周補綴
治療症例の内容
- 担当医
- 大元洋佑(ドクタープロフィール)
- 患者様
- 50代女性
- 治療期間
- 2年
- 治療回数
- 5-10回
- 治療計画
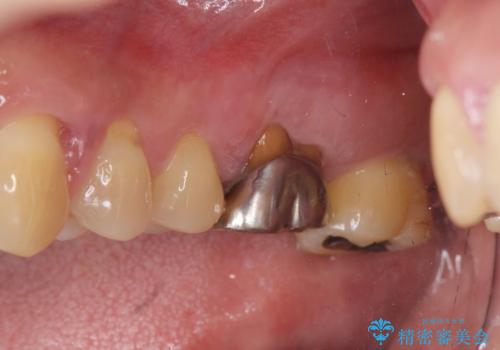
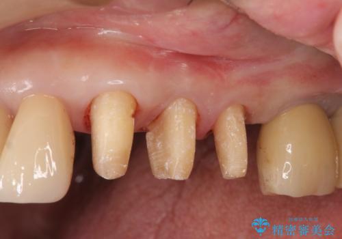
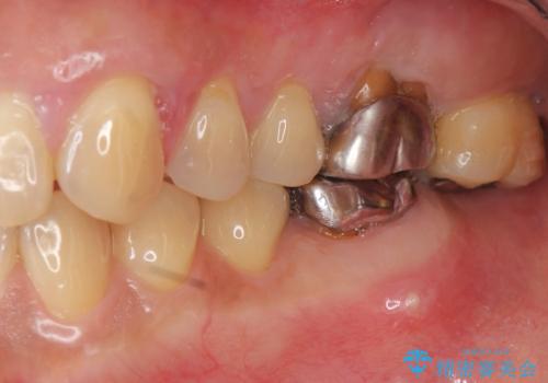
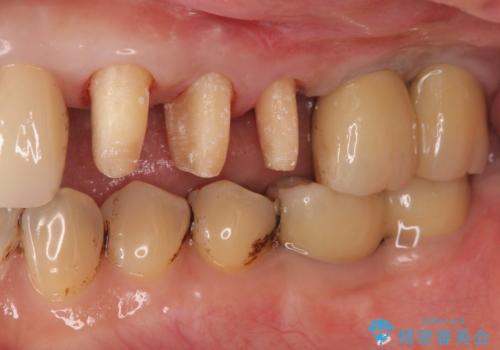
- 夜間のくいしばり、はぎしりが激しく全体的な歯周病が進行し、治療を希望され来院されました。
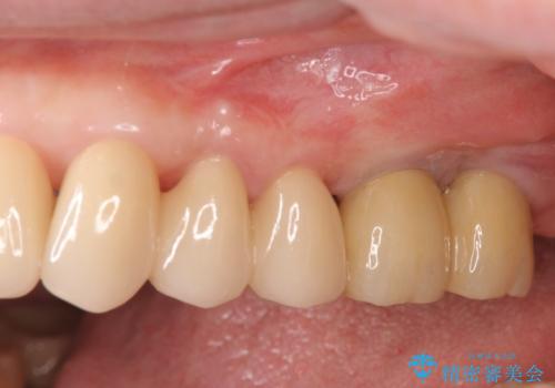
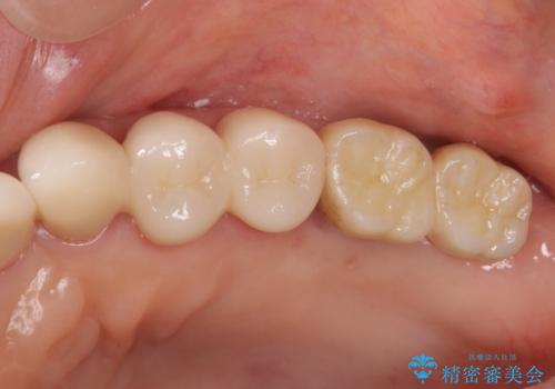
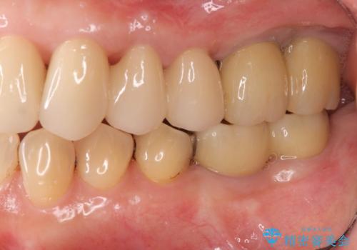
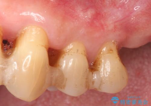
歯周ポケットの徹底的な除去を行なったのち、歯の揺れを抑え、過大な力がかからぬよう連結クラウン(歯周補綴)を行い強大な力に対抗します。
- 費用(概算)
- 55万円(仮歯×3・ファイバーコア×3・歯周外科)費用は治療当時の料金となります
治療について
夜間の歯ぎしりにはナイトガードを用いて大きな力がかからないような対処が必要です。
セラミック治療の注意事項(リスク・副作用など)
- 天然歯を削ります
- 硬い素材は天然歯を傷つけてしまう場合があります
- かみ合わせや歯ぎしりが強すぎる方はセラミックが割れてしまう可能性があります
- 自費診療(保険適用外治療)となります
当サイトの内容、テキスト、画像等の無断転載、複製、複写、盗用を固く禁じます。













