症例詳細
Case detail
放置した虫歯を外科を行い抜歯を回避
- 患者様
- 20代女性
- 治療期間
- 9ヶ月
- 治療回数
- 5-10回
- 治療計画
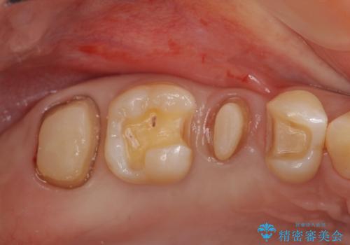
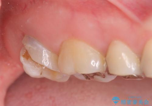
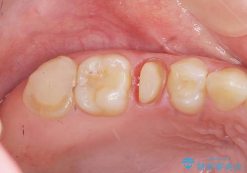
- 放置していた虫歯が欠け、いよいよ怖くなり治療を希望され来院されました。
虫歯は、その進行度によりさまざまな治療法が提案されますが、
エナメル質・象牙質に限局する虫歯 →インレー修復
歯の神経に達する虫歯 →根管治療 クラウン補綴
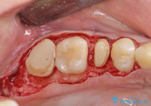
歯ぐきよりも深い虫歯 →歯周外科による歯周環境の整備
を適宜行うことで良好な結果を得ることができます。
- 費用(概算)
- 44万円 (セラミックインレー×2 ジルコニアクラウン×2)費用は治療当時の料金となります
治療について
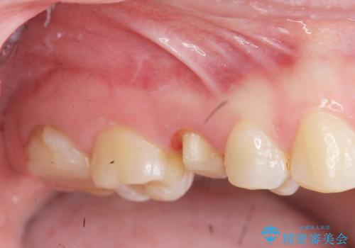
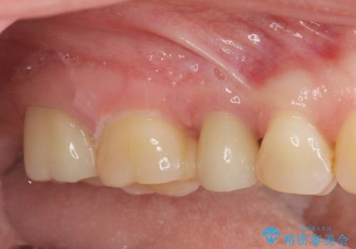
症状に応じて適切な処置を行ったことで、抜歯を回避し良好な結果を得ることができました。
セラミック治療の注意事項(リスク・副作用など)
- 天然歯を削ります
- 硬い素材は天然歯を傷つけてしまう場合があります
- かみ合わせや歯ぎしりが強すぎる方はセラミックが割れてしまう可能性があります
- 自費診療(保険適用外治療)となります
当サイトの内容、テキスト、画像等の無断転載、複製、複写、盗用を固く禁じます。













