症例詳細
Case detail
歯ぐきにできものができた 前歯の色調改善
治療症例の内容
- 担当医
- 大元洋佑(ドクタープロフィール)
- 患者様
- 20代女性
- 治療期間
- 1ヶ月
- 治療回数
- 2-5回
- 治療計画
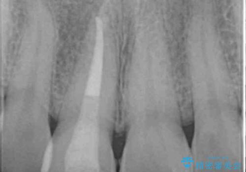
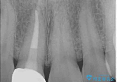
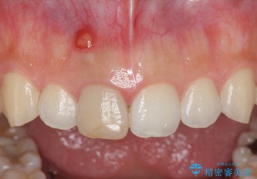
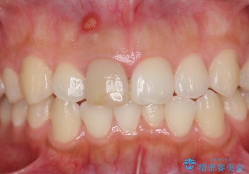
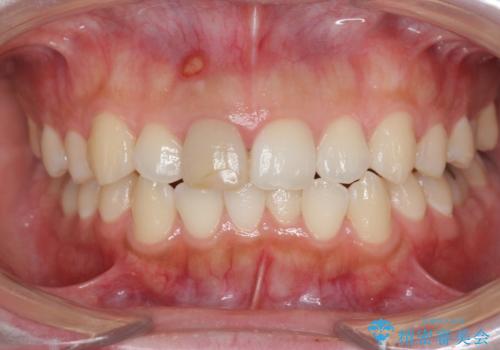
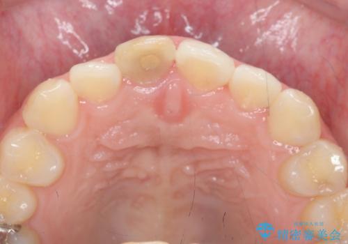
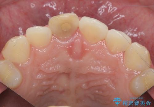
- 歯ぐきに、にきびのようなものができ治らない、と治療を希望され来院されました。
歯髄の検査、X線検査より神経の失活が確認されたので、根管治療・ファイバーコア築盛 ・ジルコニアクラウンの製作、と治療を進めます。
- 費用(概算)
- 14.3万円費用は治療当時の料金となります
治療について
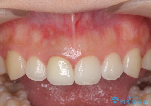
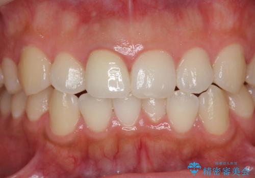
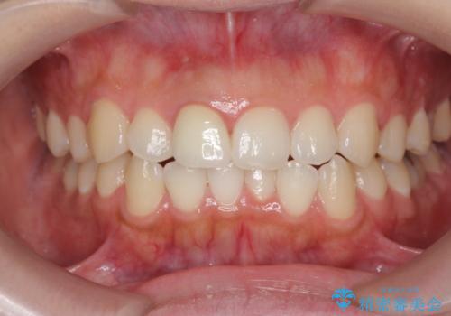
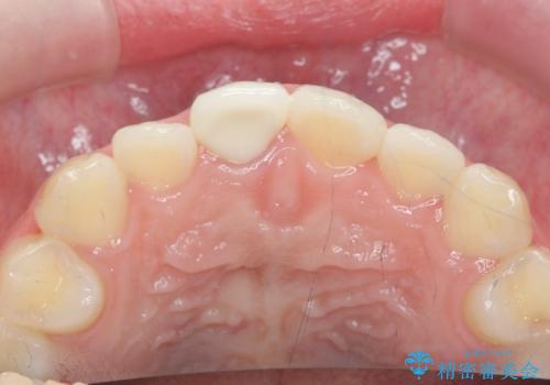
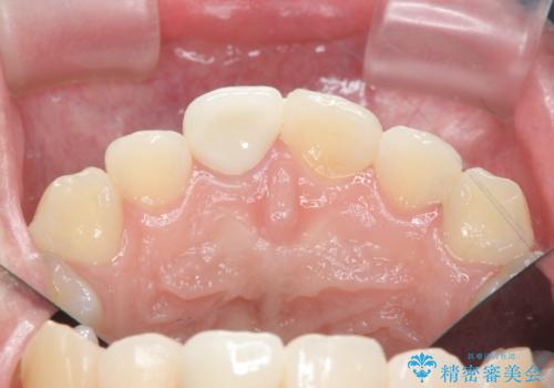
根管治療を行ったことで、歯ぐきのできものは治癒し再発をしなくなりました。
セラミック治療の注意事項(リスク・副作用など)
- 天然歯を削ります
- 硬い素材は天然歯を傷つけてしまう場合があります
- かみ合わせや歯ぎしりが強すぎる方はセラミックが割れてしまう可能性があります
- 自費診療(保険適用外治療)となります
当サイトの内容、テキスト、画像等の無断転載、複製、複写、盗用を固く禁じます。















