症例詳細
Case detail
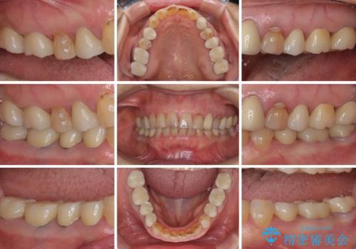
ブリッジかインプラントか 咬み合わせの強い方のインプラント治療
治療症例の内容
- 担当医
- 藤巻太一朗(ドクタープロフィール)
- 患者様
- 40代男性
- 治療期間
- 10ヶ月
- 治療回数
- 5-10回
- 治療計画
- 右奥から2番目の歯に痛みがあり、抜歯した方が良いと言われ、来院された患者様です。
他院では、抜歯後にブリッジによる治療を勧められたものの、インプラントの方が良いと思われて当院を受診されました。
右奥から2番目の歯は、当院で診査した結果も他院と同様に抜歯となりましたが、咬む力がとても強いので、2本欠損のブリッジはリスクが大きいと考えてインプラント治療を行うこととしました。
- 費用(概算)
- 治療費の目安: 70万円費用は治療当時の料金となります
治療を終えて
抜歯後の骨の治りが心配されましたが、順調に治癒し、適切な位置にインプラントを埋入することができました。
また、咬み合う上顎のクラウンを少し削ることで咬み合わせの高さを調整し、初診時のような、へこんだ咬合面とならないようにしました。
クラウン装着後は全く違和感なく、非常に快適に過ごせるようになったと、患者様には大変満足していただきました。
リスクについて
外科処置は術後に痛みを伴います。
セラミックは破折などにより修復や再製作が必要となることがあります。
インプラント治療の注意事項(リスク・副作用など)
- 外科手術のため、術後に痛みや腫れ、違和感を伴います
- メンテナンスを怠ったり喫煙により、お口の中に大きな悪影響を及ぼすインプラント周囲炎等にかかる可能性があります
- 糖尿病、肝硬変、心臓病等の場合、インプラント治療ができない可能性があります
- 高血圧、貧血・不整脈等の場合、インプラント治療後に治癒不全を招く可能性があります
- 自費診療(保険適用外治療)となります
当サイトの内容、テキスト、画像等の無断転載、複製、複写、盗用を固く禁じます。














