症例詳細
Case detail
境目が目立つラミネートベニアを作り替え
治療症例の内容
- 診療科目
- 治療カテゴリ
- 担当医
- 藤巻太一朗(ドクタープロフィール)
- 患者様
- 30代女性
- 治療期間
- 1ヶ月
- 治療回数
- 2-5回
- 治療計画
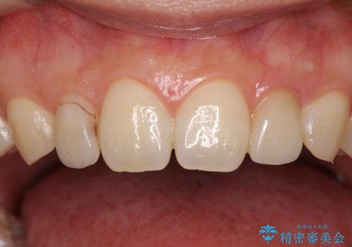
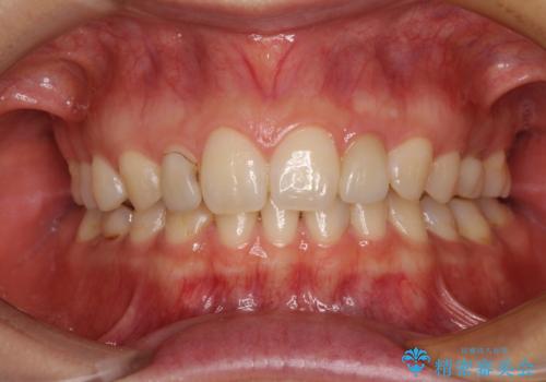
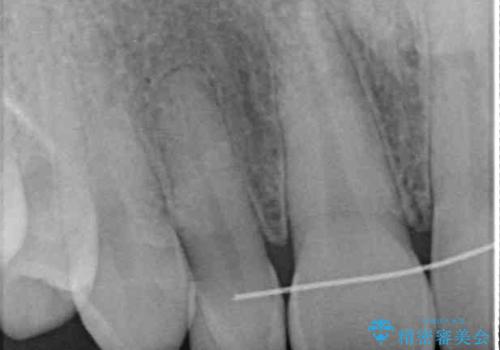
- ラミネートベニアと歯の境目の着色を気にして来院された患者様です。
矯正治療後に矮小歯であった歯をラミネートベニアにて形を変えたそうですが、矯正歯科治療直後であったためか、歯肉の位置が変わったことで境目が見えていました。
- 費用(概算)
- 治療費の目安: 8万円(税込)費用は治療当時の料金となります
治療について
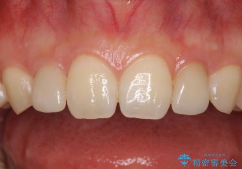
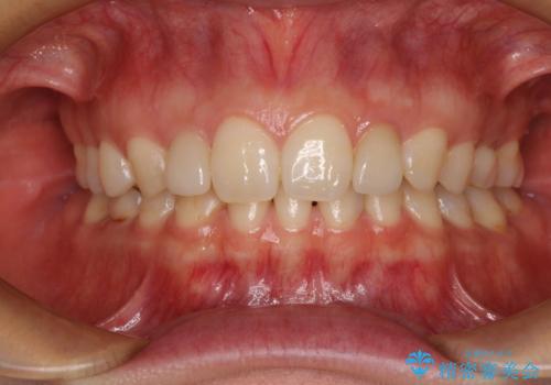
着色の原因として、湿気の多い環境で接着操作を行うと、境目に細かいギャップができてしまうことが考えられます。
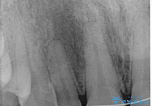
接着の際にはラバーダムを使用して、乾燥した環境を整えて処置を行いました。
セラミック治療の注意事項(リスク・副作用など)
- 天然歯を削ります
- 硬い素材は天然歯を傷つけてしまう場合があります
- かみ合わせや歯ぎしりが強すぎる方はセラミックが割れてしまう可能性があります
- 自費診療(保険適用外治療)となります
当サイトの内容、テキスト、画像等の無断転載、複製、複写、盗用を固く禁じます。













